Suppr超能文献

钆塞酸增强 MRI 参数在慢性肝病患者中的读者间和读者内一致性。

Inter- and intra-reader agreement for gadoxetic acid-enhanced MRI parameter readings in patients with chronic liver diseases.

机构信息

Department of Biomedical Imaging and Imaging-Guided Therapy, Medical University of Vienna, Waehringer Guertel 18-20, 1090, Vienna, Austria.

Division of Gastroenterology and Hepatology, Department of Medicine III, Medical University of Vienna, Vienna, Austria.

出版信息

Eur Radiol. 2019 Dec;29(12):6600-6610. doi: 10.1007/s00330-019-06182-z. Epub 2019 Apr 18.

Abstract

OBJECTIVES

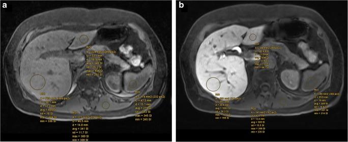
To examine inter- and intra-observer agreement for four simple hepatobiliary phase (HBP)-based scores on gadoxetic acid (GA)-enhanced MRI and their correlation with liver function in patients with mixed chronic liver disease (CLD).

METHODS

This single-center, retrospective study included 287 patients (62% male, 38% female, mean age 53.5 ± 13.7 years) with mixed CLD (20.9% hepatitis C, 19.2% alcoholic liver disease, 8% hepatitis B) who underwent GA-enhanced MRI of the liver for clinical care between 2010 and 2015. Relative liver enhancement (RLE), contrast uptake index (CUI), hepatic uptake index (HUI), and liver-to-spleen contrast index (LSI) were calculated by two radiologists independently using unenhanced and GA-enhanced HPB (obtained 20 min after GA administration) images; 50 patients selected at random were reviewed twice by one reader to assess intra-observer reliability. Agreement was assessed by intraclass correlation coefficient (ICC). The albumin-bilirubin (ALBI) score, the model of end-stage liver disease (MELD), and the Child-Turcotte-Pugh (CTP) score were calculated as standards of reference for hepatic function.

RESULTS

Intra-observer ICCs ranged from 0.814 (0.668-0.896) for CUI to 0.969 (0.945-0.983) for RLE. Inter-observer ICCs ranged from 0.777 (0.605-0.874) for HUI to 0.979 (0.963-0.988) for RLE. All HBP-based scores correlated significantly (all p < 0.001) with the ALBI, MELD, and CTP scores and were able to discriminate patients with a MELD score ≥ 15 versus ≤ 14, with area under the curve values ranging from 0.760 for RLE to 0.782 for HUI.

CONCLUSION

GA-enhanced, MRI-derived, HBP-based parameters showed excellent inter- and intra-observer agreement. All HBP-based parameters correlated with clinical and laboratory scores of hepatic dysfunction, with no significant differences between each other.

KEY POINTS

• Radiological parameters that quantify the hepatic uptake of gadoxetic acid are highly reproducible. • These parameters can be used interchangeably because they correlate with each other and with scores of hepatic dysfunction. • Assessment of these parameters may be helpful in monitoring disease progression.

摘要

目的

探讨钆塞酸增强磁共振成像肝胆期(HBP)四种简单评分的观察者内和观察者间一致性及其与混合慢性肝病(CLD)患者肝功能的相关性。

方法

本单中心回顾性研究纳入了 2010 年至 2015 年期间因临床需要行钆塞酸增强肝脏 MRI 检查的 287 例混合 CLD 患者(62%男性,38%女性,平均年龄 53.5±13.7 岁)。两名放射科医生分别使用未增强和增强 HBP(钆塞酸给药后 20 分钟获得)图像独立计算相对肝强化(RLE)、对比摄取指数(CUI)、肝摄取指数(HUI)和肝脾对比指数(LSI);随机选择 50 例患者由一名读者进行两次复查,以评估观察者内可靠性。采用组内相关系数(ICC)评估一致性。白蛋白-胆红素(ALBI)评分、终末期肝病模型(MELD)评分和 Child-Turcotte-Pugh(CTP)评分被作为肝功能的参考标准。

结果

观察者内 ICC 范围为 CUI 的 0.814(0.668-0.896)至 RLE 的 0.969(0.945-0.983)。观察者间 ICC 范围为 HUI 的 0.777(0.605-0.874)至 RLE 的 0.979(0.963-0.988)。所有 HBP 评分均与 ALBI、MELD 和 CTP 评分显著相关(均 p<0.001),且能够区分 MELD 评分≥15 与≤14 的患者,曲线下面积(AUC)值范围为 RLE 的 0.760 至 HUI 的 0.782。

结论

钆塞酸增强 MRI 肝胆期衍生的基于 HBP 的参数具有极好的观察者内和观察者间一致性。所有 HBP 评分均与肝功能的临床和实验室评分相关,彼此之间无显著差异。

关键点

  • 量化钆塞酸肝摄取的放射学参数具有高度可重复性。

  • 这些参数可相互替换使用,因为它们彼此之间以及与肝功能障碍评分相关。

  • 这些参数的评估可能有助于监测疾病进展。

https://cdn.ncbi.nlm.nih.gov/pmc/blobs/e113/6828941/d5607b2c2e18/330_2019_6182_Fig1_HTML.jpg

文献检索

告别复杂PubMed语法,用中文像聊天一样搜索,搜遍4000万医学文献。AI智能推荐,让科研检索更轻松。

立即免费搜索

文件翻译

保留排版,准确专业,支持PDF/Word/PPT等文件格式,支持 12+语言互译。

免费翻译文档

深度研究

AI帮你快速写综述,25分钟生成高质量综述,智能提取关键信息,辅助科研写作。

立即免费体验