Xue Peng, Wang NingJun, Mao Yun, Zhu Shijie
Graduate School of Beijing University of Chinese Medicine.
Oncology Department, WangJing Hospital, China Academy of Chinese Medical Sciences, Beijing, China.
Medicine (Baltimore). 2019 Apr;98(16):e15333. doi: 10.1097/MD.0000000000015333.
Small-cell lung cancer (SCLC) is a common pathological type of lung cancer, but appendiceal metastasis of SCLC was rare. At present, clinical studies on the maintenance therapy of SCLC have not reached a significant conclusion.
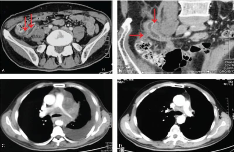
We reported on a 52-year-old man who diagnosed as extensive stage SCLC with abdominal pain for 2 months, aggravated for 2 days.
The patient was diagnosed with extensive-stage SCLC, relapsed with appendix metastasis after treatment by emergency abdominal surgery.
The patient received systemic treatments, including surgery, bevacizumab in combination with chemotherapy and bevacizumab alone was continued as maintenance therapy.
The patient had an overall survival would more than 23 months, and he gained another 8 months of progression-free survival after first-line radiochemotherapy.
Although SCLC appendix metastasis is rare, continuous anti-angiogenic therapy combined with bevacizumab maintenance therapy after surgical treatment can prolong survival.
小细胞肺癌(SCLC)是肺癌常见的病理类型,但SCLC阑尾转移罕见。目前,关于SCLC维持治疗的临床研究尚未得出显著结论。
我们报告了一名52岁男性,诊断为广泛期SCLC,腹痛2个月,加重2天。
患者被诊断为广泛期SCLC,经急诊腹部手术后复发并伴有阑尾转移。
患者接受了包括手术在内的全身治疗,贝伐单抗联合化疗,之后继续单独使用贝伐单抗作为维持治疗。
患者总生存期超过23个月,一线放化疗后无进展生存期又延长了8个月。
尽管SCLC阑尾转移罕见,但手术治疗后联合贝伐单抗持续抗血管生成维持治疗可延长生存期。