Suppr超能文献

一名9岁尼日利亚男性的多发性亚急性双侧脑梗死:一例儿童原发性中枢神经系统血管炎。

Multiple subacute bilateral cerebral infarcts in a 9-year-old Nigerian male: a case of childhood primary angiitis of the central nervous system.

作者信息

Ogoke Christian Chukwukere, Ike Ifeanyi Innocent, Osuji Augustine Emeka, Asinobi Kingsley, Okeke Chukwudi Ernest

机构信息

Children's Emergency Room (CHER), Ward 12 (children's in-patient ward) and the Paediatric Neurology Clinic, Federal Medical Centre, Owerri, Nigeria.

出版信息

Pan Afr Med J. 2018 Oct 10;31:99. doi: 10.11604/pamj.2018.31.99.13898. eCollection 2018.

Abstract

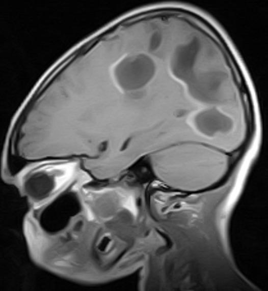
A Primary Angiitis of the Central Nervous System (PACNS) is ill-defined, complex and rare in children. Clinical presentation is variable, diagnosis is challenging and it is life-threatening but treatable. The index case is a 9-year old male who presented with progressively slurred speech, progressive weakness of the limbs, hemifacial weakness and vomiting. There were no clinical or laboratory features of systemic vasculitis. Neuroimaging showed multiple subacute infarcts in both cerebral hemispheres. He responded well to immunosuppressive therapy. The case report aims to underscore the need for high index of suspicion, early neuroimaging for progressive nonspecific decline in neurologic function and the treatable nature of the condition if diagnosis is made early.

摘要

儿童中枢神经系统原发性血管炎(PACNS)的定义不明确、情况复杂且罕见。临床表现多样,诊断具有挑战性,它会危及生命但可治疗。索引病例是一名9岁男性,表现为逐渐加重的言语不清、肢体进行性无力、面瘫和呕吐。没有系统性血管炎的临床或实验室特征。神经影像学显示双侧大脑半球有多个亚急性梗死灶。他对免疫抑制治疗反应良好。该病例报告旨在强调高度怀疑的必要性、对神经功能进行性非特异性下降进行早期神经影像学检查以及如果早期诊断该疾病具有可治疗性。

https://cdn.ncbi.nlm.nih.gov/pmc/blobs/35ce/6462305/e22db00180d1/PAMJ-31-99-g001.jpg

文献AI研究员

20分钟写一篇综述,助力文献阅读效率提升50倍。

立即体验

用中文搜PubMed

大模型驱动的PubMed中文搜索引擎

马上搜索

文档翻译

学术文献翻译模型,支持多种主流文档格式。

立即体验