Suppr超能文献

子宫息肉样腺肌瘤

Polypoid Adenomyoma of the Uterus.

作者信息

Sajjad Nida, Iqbal Hina, Khandwala Kumail, Afzal Shaista

机构信息

Radiology, Aga Khan University Hospital, Karachi, PAK.

出版信息

Cureus. 2019 Feb 11;11(2):e4044. doi: 10.7759/cureus.4044.

Abstract

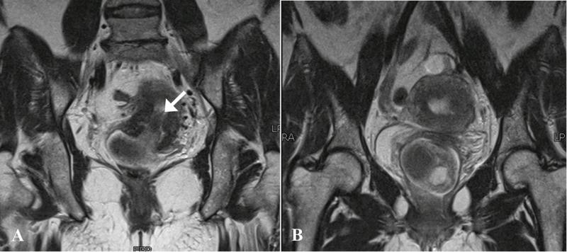
Polypoid adenomyoma is a rare uterine endometrial polypoid tumor of mixed epithelial and mesenchymal origin. Although the clinical and pathologic features of polypoid adenomyomas have been described extensively, imaging findings for these tumors have not been frequently reported in the literature. On imaging, their features may be confused with prolapsed leiomyomas or malignancy. Hemorrhagic cystic spaces in a prolapsed uterine tumor within the vagina should raise consideration of a diagnosis of polypoid adenomyoma. Such blood-containing cystic spaces would be unusual findings in leiomyomas and malignancy. Diagnosing polypoid adenomyoma is vital because it can potentially be managed by hysteroscopic resection, unlike an ordinary form of adenomyosis.

摘要

息肉样腺肌瘤是一种罕见的起源于上皮和间充质混合的子宫子宫内膜息肉样肿瘤。尽管息肉样腺肌瘤的临床和病理特征已被广泛描述,但这些肿瘤的影像学表现尚未在文献中频繁报道。在影像学上,它们的特征可能与脱垂的平滑肌瘤或恶性肿瘤相混淆。阴道内脱垂的子宫肿瘤中出现出血性囊性间隙应考虑息肉样腺肌瘤的诊断。这种含血的囊性间隙在平滑肌瘤和恶性肿瘤中是不常见的表现。诊断息肉样腺肌瘤至关重要,因为与普通形式的子宫腺肌病不同,它有可能通过宫腔镜切除术进行治疗。

https://cdn.ncbi.nlm.nih.gov/pmc/blobs/29c3/6464492/334620bb98e9/cureus-0011-00000004044-i01.jpg

文献AI研究员

20分钟写一篇综述,助力文献阅读效率提升50倍。

立即体验

用中文搜PubMed

大模型驱动的PubMed中文搜索引擎

马上搜索

文档翻译

学术文献翻译模型,支持多种主流文档格式。

立即体验