Suppr超能文献

一种用于多创伤性膝下截肢患者双侧股骨干骨折的创新牵引方法。

Innovative Method of Traction in a Bilateral Diaphyseal Femur Fracture in a Polytrauma Below-Knee Amputee.

作者信息

Mitrasinovic Stefan, Kiziridis Georgios, Wellekens Shauni, Roslee Charline, Anjum Syed Neshat

机构信息

Department of Orthopaedics, Southampton General Hospital, Tremona Road, Southampton, UK.

University College London Medical School, Gower Street, London, UK.

出版信息

Case Rep Orthop. 2019 Mar 24;2019:8691398. doi: 10.1155/2019/8691398. eCollection 2019.

Abstract

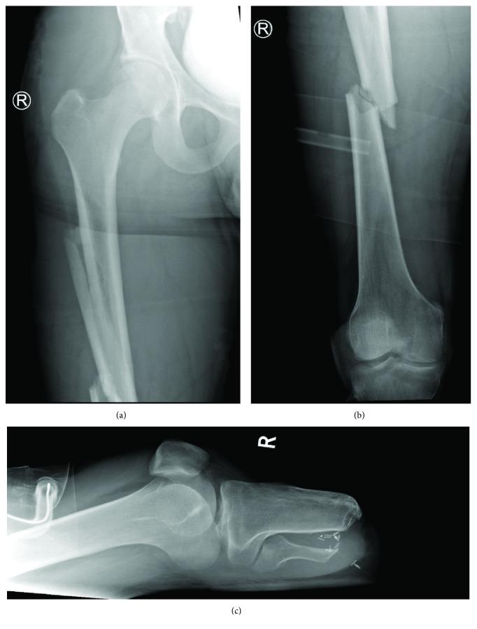
While diaphyseal femoral shaft fractures are common, it is uncommon to see this injury in leg amputees. Traditionally, these fractures are internally fixed using a fracture table with reduction obtained by traction and adequate rotation exerted on a slightly abducted extremity. Special considerations need to be given in the management of patients with leg amputations. We report the case of a 24-year-old gentleman with bilateral diaphyseal femoral shaft fractures and a previous right below-knee amputation, who was transferred to our centre following a road traffic collision. We highlight important planning that needs to be undertaken for appropriate positioning, ease of reduction, and fracture fixation. We have reviewed the literature to highlight the methods that have been previously described and our use of skeletal traction through the amputation stump that can be utilised by other surgeons in challenging situations like this.

摘要

虽然股骨干骨折很常见,但在腿部截肢患者中出现这种损伤并不常见。传统上,这些骨折通过骨折手术台进行内固定,通过牵引获得复位,并在轻度外展的肢体上施加适当的旋转。在腿部截肢患者的治疗中需要特别考虑。我们报告了一例24岁男性患者,双侧股骨干骨折,既往有右膝下截肢史,在道路交通事故后被转至我们中心。我们强调了为适当定位、便于复位和骨折固定而需要进行的重要规划。我们回顾了文献,以突出先前描述的方法,以及我们通过截肢残端进行骨牵引的方法,其他外科医生在类似这样具有挑战性的情况下也可以采用。

https://cdn.ncbi.nlm.nih.gov/pmc/blobs/d732/6451792/2834367180d4/CRIOR2019-8691398.001.jpg

相似文献

1
Innovative Method of Traction in a Bilateral Diaphyseal Femur Fracture in a Polytrauma Below-Knee Amputee.
Case Rep Orthop. 2019 Mar 24;2019:8691398. doi: 10.1155/2019/8691398. eCollection 2019.
7
Safe and Effective Reduction Technique for Intertrochanteric Fracture with Ipsilateral Below-Knee Amputated Limb.
Case Rep Orthop. 2017;2017:2672905. doi: 10.1155/2017/2672905. Epub 2017 May 14.
9
Amputated Lower Limb Fixation to the Fracture Table.
Orthopedics. 2015 Nov;38(11):679-82. doi: 10.3928/01477447-20151016-04.
10
Reduction Techniques for Diaphyseal Femur Fractures.
Instr Course Lect. 2018 Feb 15;67:67-77.

本文引用的文献

1
Reduction Techniques for Diaphyseal Femur Fractures.
J Am Acad Orthop Surg. 2017 Nov;25(11):e251-e260. doi: 10.5435/JAAOS-D-17-00021.
2
Amputated Lower Limb Fixation to the Fracture Table.
Orthopedics. 2015 Nov;38(11):679-82. doi: 10.3928/01477447-20151016-04.
5
Population-based epidemiology of femur shaft fractures.
J Trauma Acute Care Surg. 2013 Jun;74(6):1516-20. doi: 10.1097/TA.0b013e31828c3dc9.
6
Long-term functional outcome following intramedullary nailing of femoral shaft fractures.
Injury. 2012 Jul;43(7):1154-8. doi: 10.1016/j.injury.2012.03.011. Epub 2012 Apr 6.
7
Surgical and morphological factors that affect internal mechanical loads in soft tissues of the transtibial residuum.
Ann Biomed Eng. 2009 Dec;37(12):2583-605. doi: 10.1007/s10439-009-9801-3. Epub 2009 Sep 19.
9
Pin tract infection with contemporary external fixation: how much of a problem?
J Orthop Trauma. 2003 Aug;17(7):503-7. doi: 10.1097/00005131-200308000-00005.
10

文献AI研究员

20分钟写一篇综述,助力文献阅读效率提升50倍。

立即体验

用中文搜PubMed

大模型驱动的PubMed中文搜索引擎

马上搜索

文档翻译

学术文献翻译模型,支持多种主流文档格式。

立即体验