Suppr超能文献

鉴定三位中国 5α-还原酶 2 缺乏症患者的三种新突变。

Identification of three novel mutations in Chinese patients with 5α-reductase 2 deficiency.

机构信息

Department of Endocrinology, Shanghai Ninth People's Hospital, Shanghai Jiao Tong University School of Medicine, Shanghai 200011, China.

Department of Urology, Shanghai Ninth People's Hospital, Shanghai Jiao Tong University School of Medicine, Shanghai 200011, China.

出版信息

Asian J Androl. 2019 Nov-Dec;21(6):577-581. doi: 10.4103/aja.aja_113_18.

Abstract

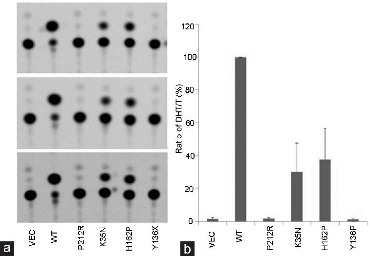
In this study, we investigated the genetics, clinical features, and therapeutic approach of 14 patients with 5α-reductase deficiency in China. Genotyping analysis was performed by direct sequencing of PCR products of the steroid 5α-reductase type 2 gene (SRD5A2). The 5α-reductase activities of three novel mutations were investigated by mutagenesis and an in vitro transfection assay. Most patients presented with a microphallus, variable degrees of hypospadias, and cryptorchidism. Eight of 14 patients (57.1%) were initially reared as females and changed their social gender from female to male after puberty. Nine mutations were identified in the 14 patients. p.G203S, p.Q6X, and p.R227Q were the most prevalent mutations. Three mutations (p.K35N, p.H162P, and p.Y136X) have not been reported previously. The nonsense mutation p.Y136X abolished enzymatic activity, whereas p.K35N and p.H162P retained partial enzymatic activity. Topical administration of dihydrotestosterone during infancy or early childhood combined with hypospadia repair surgery had good therapeutic results. In conclusion, we expand the mutation profile of SRD5A2 in the Chinese population. A rational clinical approach to this disorder requires early and accurate diagnosis, especially genetic diagnosis.

摘要

在这项研究中,我们调查了中国 14 例 5α-还原酶缺陷患者的遗传学、临床特征和治疗方法。通过直接测序类固醇 5α-还原酶 2 型基因(SRD5A2)的 PCR 产物进行基因分型分析。通过突变和体外转染实验研究了三种新突变的 5α-还原酶活性。大多数患者表现为小阴茎、不同程度的尿道下裂和隐睾。14 例患者中有 8 例(57.1%)最初被抚养为女性,青春期后从女性转变为男性。在 14 例患者中发现了 9 种突变。p.G203S、p.Q6X 和 p.R227Q 是最常见的突变。三种突变(p.K35N、p.H162P 和 p.Y136X)以前没有报道过。无义突变 p.Y136X 使酶失活,而 p.K35N 和 p.H162P 保留部分酶活性。婴儿期或幼儿期局部给予二氢睾酮联合尿道下裂修复术治疗效果良好。总之,我们扩展了中国人群中 SRD5A2 的突变谱。这种疾病的合理临床方法需要早期和准确的诊断,特别是遗传诊断。

https://cdn.ncbi.nlm.nih.gov/pmc/blobs/1e18/6859664/5502572005bd/AJA-21-577-g001.jpg

文献检索

告别复杂PubMed语法,用中文像聊天一样搜索,搜遍4000万医学文献。AI智能推荐,让科研检索更轻松。

立即免费搜索

文件翻译

保留排版,准确专业,支持PDF/Word/PPT等文件格式,支持 12+语言互译。

免费翻译文档

深度研究

AI帮你快速写综述,25分钟生成高质量综述,智能提取关键信息,辅助科研写作。

立即免费体验