Suppr超能文献

海马内注射胰岛素对东莨菪碱诱导的空间记忆损伤及细胞外信号调节激酶改变的影响。

The Effect of Intrahippocampal Insulin Injection on Scopolamine-induced Spatial Memory Impairment and Extracellular Signal-regulated Kinases Alteration.

作者信息

Jahanmahin Ahmad, Abbasnejad Zahra, Haghparast Abbas, Ahmadiani Abolhassan, Ghasemi Rasoul

机构信息

Neuroscience Research Center, Shahid Beheshti University of Medical Sciences, Tehran, Iran.

Department of Physiology, School of Medicine, Shahid Beheshti University of Medical Sciences, Tehran, Iran.

出版信息

Basic Clin Neurosci. 2019 Jan-Feb;10(1):23-36. doi: 10.32598/bcn.9.10.165. Epub 2019 Jan 1.

Abstract

INTRODUCTION

It is well documented that insulin has neuroprotective and neuromodulator effects and can protect against different models of memory loss. Furthermore, cholinergic activity plays a significant role in memory, and scopolamine-induced memory loss is widely used as an experimental model of dementia. The current study aimed at investigating the possible effects of insulin against scopolamine-induced memory impairment in Wistar rat and its underlying molecular mechanisms.

METHODS

Accordingly, animals were bilaterally cannulated in CA1, hippocampus. Intrahippocampal administration of insulin 6 MU and 12 MU in CA1 per day was performed during first 6 days after surgery. During next four days, the animal's spatial learning and memory were assessed in Morris water maze test (three days of learning and one day of retention test). The animals received scopolamine (1 mg/kg) Intraperitoneally (IP) 30 minutes before the onset of behavioral tests in each day. In the last day, the hippocampi were dissected and the levels of MAPK (mitogen-activated protein kinases) and caspase-3 activation were analyzed by Western blot technique.

RESULTS

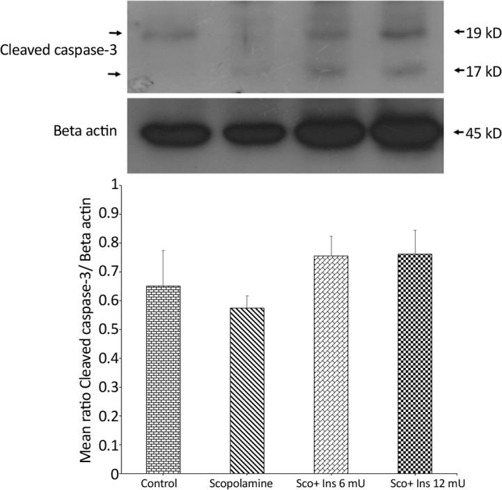
The behavioral results showed that scopolamine impaired spatial learning and memory without activating casapase-3, P38, and JNK, but chronic pretreatment by both doses of insulin was unable to restore this spatial memory impairment. In addition, scopolamine significantly reduced Extracellular signal-Regulated Kinases (ERKs) activity and insulin was unable to restore this reduction. Results revealed that scopolamine-mediated memory loss was not associated with hippocampal damage.

CONCLUSION

Insulin as a neuroprotective agent cannot restore memory when there is no hippocampal damage. In addition, the neuromodulator effect of insulin is not potent enough to overwhelm scopolamine-mediated disruptions of synaptic neurotransmission.

摘要

引言

有充分文献记载,胰岛素具有神经保护和神经调节作用,可预防不同类型的记忆丧失。此外,胆碱能活性在记忆中起重要作用,东莨菪碱诱导的记忆丧失被广泛用作痴呆的实验模型。本研究旨在探讨胰岛素对东莨菪碱诱导的Wistar大鼠记忆损伤的可能影响及其潜在分子机制。

方法

相应地,在海马CA1区对动物进行双侧插管。术后前6天,每天在CA1区海马内注射6 MU和12 MU胰岛素。在接下来的四天里,通过莫里斯水迷宫试验(三天学习和一天记忆测试)评估动物的空间学习和记忆能力。在每天行为测试开始前30分钟,动物腹腔注射东莨菪碱(1 mg/kg)。在最后一天,解剖海马,通过蛋白质免疫印迹技术分析丝裂原活化蛋白激酶(MAPK)和半胱天冬酶-3的激活水平。

结果

行为学结果显示,东莨菪碱损害空间学习和记忆能力,但未激活半胱天冬酶-3、P38和JNK,且两种剂量胰岛素的慢性预处理均无法恢复这种空间记忆损伤。此外,东莨菪碱显著降低细胞外信号调节激酶(ERKs)活性,胰岛素无法恢复这种降低。结果表明,东莨菪碱介导的记忆丧失与海马损伤无关。

结论

当没有海马损伤时,胰岛素作为一种神经保护剂无法恢复记忆。此外,胰岛素的神经调节作用不足以克服东莨菪碱介导的突触神经传递破坏。

https://cdn.ncbi.nlm.nih.gov/pmc/blobs/f350/6484185/91a16c437ae5/BCN-10-23-g001.jpg

文献AI研究员

20分钟写一篇综述,助力文献阅读效率提升50倍。

立即体验

用中文搜PubMed

大模型驱动的PubMed中文搜索引擎

马上搜索

文档翻译

学术文献翻译模型,支持多种主流文档格式。

立即体验