• 文献检索
  • 文档翻译
  • 深度研究
  • 学术资讯
  • Suppr Zotero 插件Zotero 插件
  • 邀请有礼
  • 套餐&价格
  • 历史记录
应用&插件
Suppr Zotero 插件Zotero 插件浏览器插件Mac 客户端Windows 客户端微信小程序
定价
高级版会员购买积分包购买API积分包
服务
文献检索文档翻译深度研究API 文档MCP 服务
关于我们
关于 Suppr公司介绍联系我们用户协议隐私条款
关注我们

Suppr 超能文献

核心技术专利:CN118964589B侵权必究
粤ICP备2023148730 号-1Suppr @ 2026

文献检索

告别复杂PubMed语法,用中文像聊天一样搜索,搜遍4000万医学文献。AI智能推荐,让科研检索更轻松。

立即免费搜索

文件翻译

保留排版,准确专业,支持PDF/Word/PPT等文件格式,支持 12+语言互译。

免费翻译文档

深度研究

AI帮你快速写综述,25分钟生成高质量综述,智能提取关键信息,辅助科研写作。

立即免费体验

靶向claudin-4可增强胃癌对顺铂的化疗敏感性。

Targeting claudin-4 enhances CDDP-chemosensitivity in gastric cancer.

作者信息

Nishiguchi Yukiko, Fujiwara-Tani Rina, Sasaki Takamitsu, Luo Yi, Ohmori Hitoshi, Kishi Shingo, Mori Shiori, Goto Kei, Yasui Wataru, Sho Masayuki, Kuniyasu Hiroki

机构信息

Department of Molecular Pathology, Nara Medical University, Kashihara, Nara 634-8521, Japan.

Department of Surgery, Nara Medical University, Kashihara, Nara 634-8522, Japan.

出版信息

Oncotarget. 2019 Mar 15;10(22):2189-2202. doi: 10.18632/oncotarget.26758.

DOI:10.18632/oncotarget.26758
PMID:31040910
原文链接:https://pmc.ncbi.nlm.nih.gov/articles/PMC6481338/
Abstract

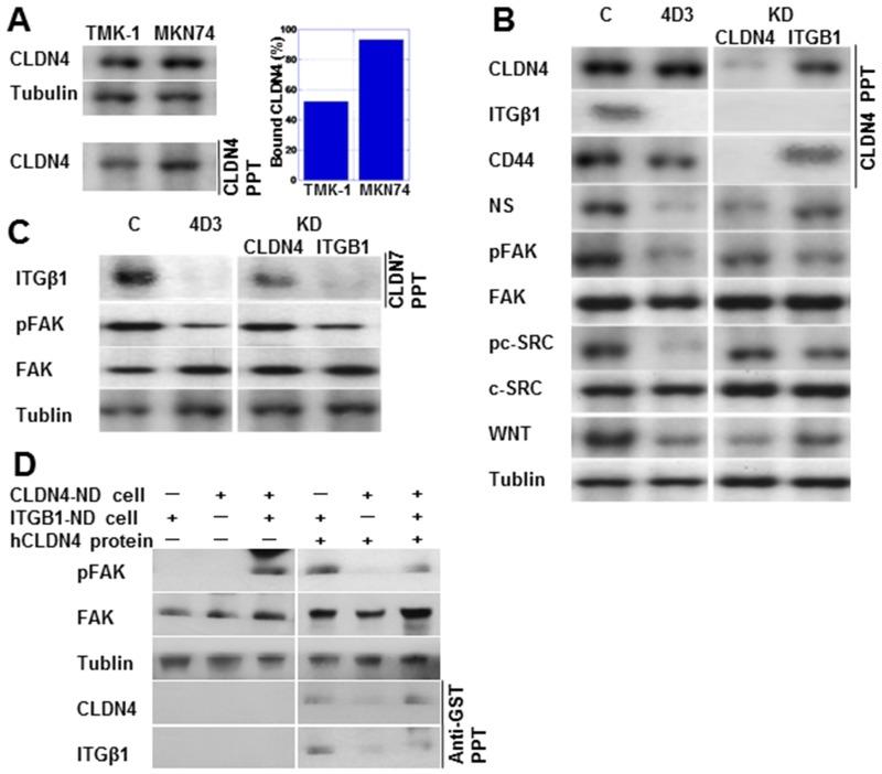
Claudins are major tight-junction proteins that mediate cellular polarity and differentiation. The present study investigated whether the 4D3 antibody to the human CLDN4 extracellular domain (that we previously established) is capable of modulating chemotherapeutic sensitivity in gastric cancer (GC). The results of the present study showed that CLDN4 was overexpressed in 137 of the 192 analyzed GC cases, and that CLDN4 expression was retained in tumors of a lower histological grade (more differentiated), and/or those that were caudal-type homeobox protein 2 (CDX2)-positive, but was reduced in more highly undifferentiated, and CDX2-negative GC cases. The study also compared the synergic effects of combining 4D3 with CDDP treatment and knocking down expression in MKN74 and TMK-1 human GC cells. Co-treatment with 4D3 increased anti-tumor effects of CDDP, whereas knockdown did not. In the TMK-1 cells, non-tight junction CLDN4 associated with integrin β1, increasing stem cell-associated proteins via FAK-c-SRC signals. The anti-tumoral effect of CDDP and 4D3 was examined in a nude mouse subcutaneous tumor model. In the two GC cell lines, concurrent treatment with 4D3 and CDDP synergistically inhibited cell proliferation and increased tumor necrosis and apoptosis to a greater degree than CDDP treatment alone. These findings suggest that 4D3 might increase chemotherapeutic sensitivity by evoking structural disintegration of tight-junction CLDN4 expressed in gastric cancer.

摘要

Claudin蛋白是介导细胞极性和分化的主要紧密连接蛋白。本研究调查了我们之前制备的针对人CLDN4胞外结构域的4D3抗体是否能够调节胃癌(GC)的化疗敏感性。本研究结果显示,在192例分析的GC病例中,有137例CLDN4过表达,且CLDN4表达在组织学分级较低(分化程度较高)和/或尾型同源框蛋白2(CDX2)阳性的肿瘤中得以保留,但在分化程度更高、CDX2阴性的GC病例中降低。该研究还比较了4D3与顺铂(CDDP)联合治疗以及敲低MKN74和TMK-1人GC细胞中CLDN4表达的协同效应。4D3与CDDP联合治疗增强了CDDP的抗肿瘤作用,而敲低CLDN4表达则没有这种效果。在TMK-1细胞中,非紧密连接的CLDN4与整合素β1相关联,通过黏着斑激酶(FAK)-c-SRC信号增加干细胞相关蛋白。在裸鼠皮下肿瘤模型中检测了CDDP和4D3的抗肿瘤作用。在两种GC细胞系中,4D3与CDDP联合治疗比单独使用CDDP治疗更能协同抑制细胞增殖,并增加肿瘤坏死和凋亡。这些发现表明,4D3可能通过引起胃癌中表达的紧密连接CLDN4的结构解体来提高化疗敏感性。

https://cdn.ncbi.nlm.nih.gov/pmc/blobs/33c6/6481338/f26a21cd21d6/oncotarget-10-2189-g004.jpg
https://cdn.ncbi.nlm.nih.gov/pmc/blobs/33c6/6481338/6ed472f202c1/oncotarget-10-2189-g001.jpg
https://cdn.ncbi.nlm.nih.gov/pmc/blobs/33c6/6481338/fc84c4a50e9a/oncotarget-10-2189-g002.jpg
https://cdn.ncbi.nlm.nih.gov/pmc/blobs/33c6/6481338/5daabecc5bfb/oncotarget-10-2189-g003.jpg
https://cdn.ncbi.nlm.nih.gov/pmc/blobs/33c6/6481338/f26a21cd21d6/oncotarget-10-2189-g004.jpg
https://cdn.ncbi.nlm.nih.gov/pmc/blobs/33c6/6481338/6ed472f202c1/oncotarget-10-2189-g001.jpg
https://cdn.ncbi.nlm.nih.gov/pmc/blobs/33c6/6481338/fc84c4a50e9a/oncotarget-10-2189-g002.jpg
https://cdn.ncbi.nlm.nih.gov/pmc/blobs/33c6/6481338/5daabecc5bfb/oncotarget-10-2189-g003.jpg
https://cdn.ncbi.nlm.nih.gov/pmc/blobs/33c6/6481338/f26a21cd21d6/oncotarget-10-2189-g004.jpg

相似文献

1
Targeting claudin-4 enhances CDDP-chemosensitivity in gastric cancer.靶向claudin-4可增强胃癌对顺铂的化疗敏感性。
Oncotarget. 2019 Mar 15;10(22):2189-2202. doi: 10.18632/oncotarget.26758.
2
Targeting claudin-4 enhances chemosensitivity in breast cancer.靶向紧密连接蛋白 4 增强乳腺癌的化疗敏感性。
Cancer Sci. 2020 May;111(5):1840-1850. doi: 10.1111/cas.14361. Epub 2020 Mar 18.
3
Anti-claudin-4 extracellular domain antibody enhances the antitumoral effects of chemotherapeutic and antibody drugs in colorectal cancer.抗Claudin-4细胞外结构域抗体增强化疗药物和抗体药物在结直肠癌中的抗肿瘤作用。
Oncotarget. 2018 Dec 21;9(100):37367-37378. doi: 10.18632/oncotarget.26427.
4
Pro-chemotherapeutic effects of antibody against extracellular domain of claudin-4 in bladder cancer.抗Claudin-4细胞外结构域抗体在膀胱癌中的促化疗作用
Cancer Lett. 2015 Dec 1;369(1):212-21. doi: 10.1016/j.canlet.2015.08.019. Epub 2015 Sep 2.
5
CLDN4 silencing promotes proliferation and reduces chemotherapy sensitivity of gastric cancer cells through activation of the PI3K/Akt signalling pathway.CLDN4 沉默通过激活 PI3K/Akt 信号通路促进胃癌细胞增殖并降低化疗敏感性。
Exp Physiol. 2020 Jun;105(6):979-988. doi: 10.1113/EP088112. Epub 2020 Feb 11.
6
Claudin-3 and claudin-4 regulate sensitivity to cisplatin by controlling expression of the copper and cisplatin influx transporter CTR1.Claudin-3 和 claudin-4 通过控制铜和顺铂内流转运蛋白 CTR1 的表达来调节对顺铂的敏感性。
Mol Pharmacol. 2013 Jan;83(1):85-94. doi: 10.1124/mol.112.079798. Epub 2012 Oct 10.
7
Targeting claudin-4 enhances chemosensitivity of pancreatic ductal carcinomas.靶向紧密连接蛋白 4 增强胰腺导管腺癌的化疗敏感性。
Cancer Med. 2019 Nov;8(15):6700-6708. doi: 10.1002/cam4.2547. Epub 2019 Sep 9.
8
Cdx2 transcription factor regulates claudin-3 and claudin-4 expression during intestinal differentiation of gastric carcinoma.Cdx2转录因子在胃癌肠化生过程中调节claudin-3和claudin-4的表达。
Pathol Int. 2008 Mar;58(3):156-63. doi: 10.1111/j.1440-1827.2007.02204.x.
9
Claudin-4-targeted therapy using Clostridium perfringens enterotoxin for prostate cancer.使用产气荚膜梭菌肠毒素靶向 Claudin-4 治疗前列腺癌。
Prostate. 2012 Mar;72(4):351-60. doi: 10.1002/pros.21436. Epub 2011 Jun 8.
10
Hypomethylation of Gene Promoter Is Associated with Malignant Phenotype in Urinary Bladder Cancer.基因启动子低甲基化与膀胱癌恶性表型相关。
Int J Mol Sci. 2022 Jun 10;23(12):6516. doi: 10.3390/ijms23126516.

引用本文的文献

1
Tight junctional protein family, Claudins in cancer and cancer metastasis.紧密连接蛋白家族,claudins与癌症及癌症转移
Front Oncol. 2025 Jul 4;15:1596460. doi: 10.3389/fonc.2025.1596460. eCollection 2025.
2
Tight Junctions and Cancer: Targeting Claudin-1 and Claudin-4 in Thyroid Pathologies.紧密连接与癌症:甲状腺疾病中靶向Claudin-1和Claudin-4
Pharmaceuticals (Basel). 2024 Sep 30;17(10):1304. doi: 10.3390/ph17101304.
3
Claudins: from gatekeepers of epithelial integrity to potential targets in hepato-pancreato-biliary cancers.

本文引用的文献

1
Anti-claudin-4 extracellular domain antibody enhances the antitumoral effects of chemotherapeutic and antibody drugs in colorectal cancer.抗Claudin-4细胞外结构域抗体增强化疗药物和抗体药物在结直肠癌中的抗肿瘤作用。
Oncotarget. 2018 Dec 21;9(100):37367-37378. doi: 10.18632/oncotarget.26427.
2
TLR2 activation induced by H. pylori LPS promotes the differential expression of claudin-4, -6, -7 and -9 via either STAT3 and ERK1/2 in AGS cells.幽门螺杆菌脂多糖诱导的Toll样受体2(TLR2)激活通过信号转导和转录激活因子3(STAT3)及细胞外信号调节激酶1/2(ERK1/2)促进AGS细胞中紧密连接蛋白4、6、7和9的差异表达。
Immunobiology. 2018 Jan;223(1):38-48. doi: 10.1016/j.imbio.2017.10.016. Epub 2017 Oct 6.
3
紧密连接蛋白:从上皮完整性的守护者到肝胰胆管癌的潜在靶点
Front Oncol. 2024 Sep 26;14:1454882. doi: 10.3389/fonc.2024.1454882. eCollection 2024.
4
Evidence to Date on the Therapeutic Potential of Zolbetuximab in Advanced Gastroesophageal Adenocarcinoma.迄今为止关于唑来膦酸在晚期胃食管腺癌中的治疗潜力的证据。
Curr Oncol. 2024 Feb 1;31(2):769-777. doi: 10.3390/curroncol31020057.
5
Antibody-mediated targeting of Claudins in cancer.癌症中Claudins的抗体介导靶向作用。
Front Oncol. 2024 Feb 2;14:1320766. doi: 10.3389/fonc.2024.1320766. eCollection 2024.
6
Celastrol inhibits gastric cancer cell proliferation, migration, and invasion via the FOXA1/CLDN4 axis.雷公藤红素通过FOXA1/CLDN4轴抑制胃癌细胞的增殖、迁移和侵袭。
Toxicol Res (Camb). 2023 Apr 20;12(3):392-399. doi: 10.1093/toxres/tfad024. eCollection 2023 Jun.
7
Claudin-4: A New Molecular Target for Epithelial Cancer Therapy.Claudin-4:上皮癌治疗的新分子靶点。
Int J Mol Sci. 2023 Mar 13;24(6):5494. doi: 10.3390/ijms24065494.
8
Computational Tactics for Precision Cancer Network Biology.精准癌症网络生物学的计算策略。
Int J Mol Sci. 2022 Nov 19;23(22):14398. doi: 10.3390/ijms232214398.
9
EGF-Dependent Activation of ELK1 Contributes to the Induction of CLDND1 Expression Involved in Tight Junction Formation.表皮生长因子依赖的ELK1激活促进紧密连接形成中涉及的CLDND1表达的诱导。
Biomedicines. 2022 Jul 26;10(8):1792. doi: 10.3390/biomedicines10081792.
10
Hypomethylation of Gene Promoter Is Associated with Malignant Phenotype in Urinary Bladder Cancer.基因启动子低甲基化与膀胱癌恶性表型相关。
Int J Mol Sci. 2022 Jun 10;23(12):6516. doi: 10.3390/ijms23126516.
Humanisation of a claudin-1-specific monoclonal antibody for clinical prevention and cure of HCV infection without escape.
针对 HCV 感染的临床预防和治疗而无逃逸现象的 Claudin-1 特异性单克隆抗体的人源化。
Gut. 2018 Apr;67(4):736-745. doi: 10.1136/gutjnl-2016-312577. Epub 2017 Mar 30.
4
Efficacy and safety evaluation of claudin-4-targeted antitumor therapy using a human and mouse cross-reactive monoclonal antibody.使用人源和鼠源交叉反应性单克隆抗体进行Claudin-4靶向抗肿瘤治疗的疗效和安全性评估
Pharmacol Res Perspect. 2016 Sep 27;4(5):e00266. doi: 10.1002/prp2.266. eCollection 2016 Oct.
5
Japanese gastric cancer treatment guidelines 2014 (ver. 4).《日本胃癌治疗指南2014(第4版)》
Gastric Cancer. 2017 Jan;20(1):1-19. doi: 10.1007/s10120-016-0622-4. Epub 2016 Jun 24.
6
Interferon-gamma increased epithelial barrier function via upregulating claudin-7 expression in human submandibular gland duct epithelium.干扰素-γ通过上调人下颌下腺导管上皮中claudin-7的表达来增强上皮屏障功能。
J Mol Histol. 2016 Jun;47(3):353-63. doi: 10.1007/s10735-016-9667-2. Epub 2016 Mar 8.
7
Pro-chemotherapeutic effects of antibody against extracellular domain of claudin-4 in bladder cancer.抗Claudin-4细胞外结构域抗体在膀胱癌中的促化疗作用
Cancer Lett. 2015 Dec 1;369(1):212-21. doi: 10.1016/j.canlet.2015.08.019. Epub 2015 Sep 2.
8
A non-tight junction function of claudin-7-Interaction with integrin signaling in suppressing lung cancer cell proliferation and detachment.claudin-7的非紧密连接功能——与整合素信号相互作用以抑制肺癌细胞增殖和脱离
Mol Cancer. 2015 Jun 17;14:120. doi: 10.1186/s12943-015-0387-0.
9
Proteomic analysis of proteins surrounding occludin and claudin-4 reveals their proximity to signaling and trafficking networks.对闭合蛋白和紧密连接蛋白4周围蛋白质的蛋白质组学分析揭示了它们与信号传导和运输网络的接近性。
PLoS One. 2015 Mar 19;10(3):e0117074. doi: 10.1371/journal.pone.0117074. eCollection 2015.
10
Proinflammatory cytokine-induced tight junction remodeling through dynamic self-assembly of claudins.促炎细胞因子通过紧密连接蛋白的动态自组装诱导紧密连接重塑。
Mol Biol Cell. 2014 Sep 15;25(18):2710-9. doi: 10.1091/mbc.E14-02-0773. Epub 2014 Jul 16.