Suppr超能文献

儿科创伤与范式转变:儿科介入放射学中可操纵微导管的必要适应性调整

Pediatric Traumas and Paradigm Shifts: The Necessary Adaption of the Steerable Microcatheter in Pediatric Interventional Radiology.

作者信息

Harmon Taylor S, Kee-Sampson Joanna, Hester Timothy S, Bashir Saeed, Matteo Jerry

机构信息

Radiology, University of Florida College of Medicine, Jacksonville, USA.

Radiology, University of Florida Health Shands Hospital, Gainesville, USA.

出版信息

Cureus. 2019 Feb 23;11(2):e4125. doi: 10.7759/cureus.4125.

Abstract

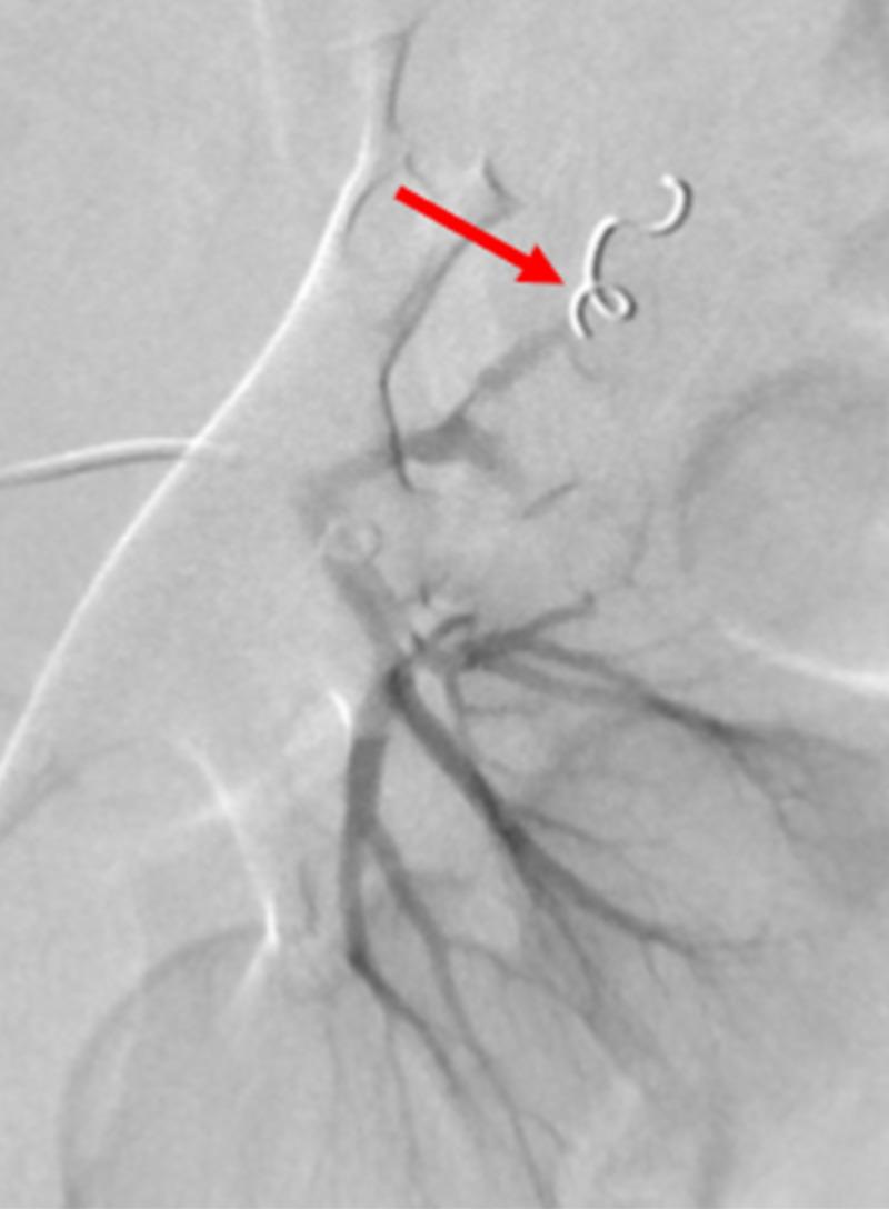
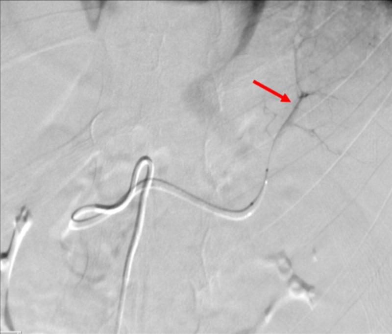
The use of traditionally available intra-arterial devices have historically been designed with the adult patient population in mind. Currently, there are not manufactured devices specifically tailored for use during pediatric interventional procedures, pressuring interventional operators to adapt commonplace and readily available devices for interventional management. Experienced interventional operators understand that pediatric and adult interventions can entail vastly different management, affecting patient care and outcomes. To address the pitfalls in pediatric interventional management, an accredited fellowship specifically for pediatric interventional radiology is available. However, devices must equally evolve with the training available in order to adequately address interventional management of the pediatric patient population. Interventional device innovation can be considered the initial step towards bridging the technical and procedural gaps necessary for refining pediatric intervention. The introduction of steerable microcatheters in interventional radiology has innovated procedural protocols, but has never been documented in pediatric patients until this time.

摘要

传统可用的动脉内装置在设计时历来考虑的是成年患者群体。目前,尚无专门为儿科介入手术设计制造的装置,这迫使介入手术操作人员采用常见且容易获得的装置进行介入治疗。经验丰富的介入手术操作人员明白,儿科和成人介入手术在管理上可能有很大差异,会影响患者护理和治疗结果。为解决儿科介入治疗管理中的缺陷,现有专门针对儿科介入放射学的认可进修项目。然而,装置必须与现有的培训同步发展,以便充分应对儿科患者群体的介入治疗管理。介入装置创新可被视为弥合完善儿科介入治疗所需的技术和程序差距的第一步。可操控微导管在介入放射学中的引入革新了手术方案,但在此之前从未有过在儿科患者中的相关记录。

https://cdn.ncbi.nlm.nih.gov/pmc/blobs/4335/6483116/e9fae63684de/cureus-0011-00000004125-i01.jpg

文献AI研究员

20分钟写一篇综述,助力文献阅读效率提升50倍。

立即体验

用中文搜PubMed

大模型驱动的PubMed中文搜索引擎

马上搜索

文档翻译

学术文献翻译模型,支持多种主流文档格式。

立即体验