• 文献检索
  • 文档翻译
  • 深度研究
  • 学术资讯
  • Suppr Zotero 插件Zotero 插件
  • 邀请有礼
  • 套餐&价格
  • 历史记录
应用&插件
Suppr Zotero 插件Zotero 插件浏览器插件Mac 客户端Windows 客户端微信小程序
定价
高级版会员购买积分包购买API积分包
服务
文献检索文档翻译深度研究API 文档MCP 服务
关于我们
关于 Suppr公司介绍联系我们用户协议隐私条款
关注我们

Suppr 超能文献

核心技术专利:CN118964589B侵权必究
粤ICP备2023148730 号-1Suppr @ 2026

文献检索

告别复杂PubMed语法,用中文像聊天一样搜索,搜遍4000万医学文献。AI智能推荐,让科研检索更轻松。

立即免费搜索

文件翻译

保留排版,准确专业,支持PDF/Word/PPT等文件格式,支持 12+语言互译。

免费翻译文档

深度研究

AI帮你快速写综述,25分钟生成高质量综述,智能提取关键信息,辅助科研写作。

立即免费体验

可控微导管的一种新型非血管应用。

A Novel Nonvascular Application of the Steerable Microcatheter.

作者信息

Eadie Erik, Harmon Taylor S, Soule Erik, Hulsberg Paul C, Shabandi Michael, Matteo Jerry

机构信息

Interventional Radiology, University of Florida College of Medicine, Jacksonville, USA.

Interventional Radiology, The University of Texas Medical Branch, Galveston, USA.

出版信息

Cureus. 2018 Oct 19;10(10):e3469. doi: 10.7759/cureus.3469.

DOI:10.7759/cureus.3469
PMID:30585285
原文链接:https://pmc.ncbi.nlm.nih.gov/articles/PMC6300387/
Abstract

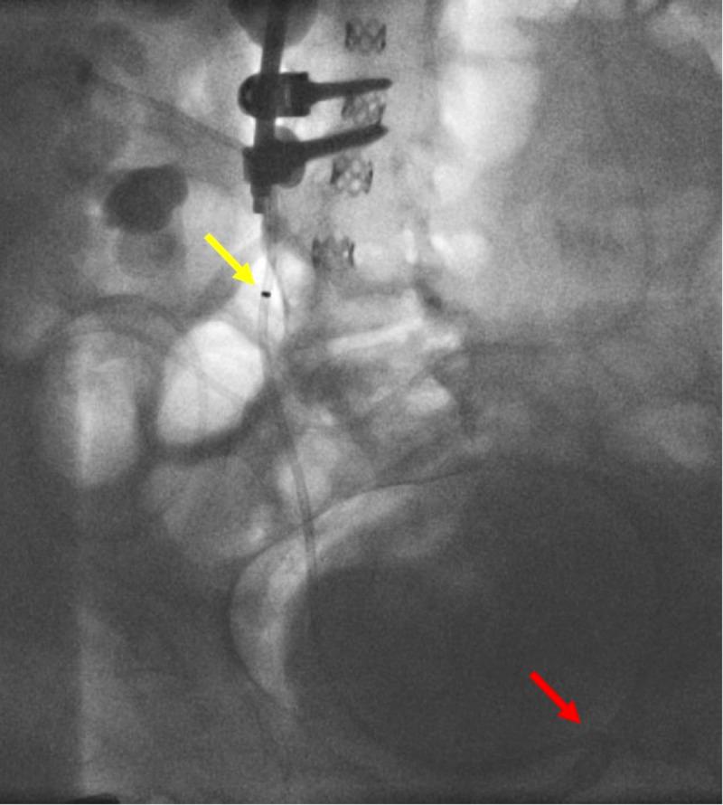
The percutaneous nephrostomy (PCN) is a relatively common interventional procedure used to treat a multitude of nephro-urological conditions. Traditionally, interventional radiologists use ultrasound guidance, needles, catheters, and guidewires to access the collecting system percutaneously. The placement of a nephro-ureterostomy stent may be precluded by challenging renal calyx anatomy or an underlying disease process that obstructs placement. In cases of complex obstruction, accessing the renal collecting system may require deviation from conventional methods. We present a case that after many failed attempts with a wide variety of guidewires and catheters, a steerable microcatheter (SMC) was used to safely and effectively access the renal collecting system. This novel technique utilizes the SMC to efficiently achieve complicated PCN stent placement, relieving the renal drainage system obstruction and potentially minimizing or avoiding complications, such as urosepsis and/or renal failure.

摘要

经皮肾造瘘术(PCN)是一种相对常见的介入手术,用于治疗多种肾泌尿系统疾病。传统上,介入放射科医生使用超声引导、穿刺针、导管和导丝经皮进入集合系统。肾输尿管造口支架的放置可能会因具有挑战性的肾盏解剖结构或妨碍放置的潜在疾病过程而受到阻碍。在复杂梗阻的情况下,进入肾集合系统可能需要偏离传统方法。我们报告一例病例,在使用各种导丝和导管多次尝试失败后,使用了可操纵微导管(SMC)安全有效地进入肾集合系统。这项新技术利用SMC有效地完成复杂的PCN支架置入,缓解肾引流系统梗阻,并可能将诸如尿脓毒症和/或肾衰竭等并发症降至最低或避免并发症的发生。

https://cdn.ncbi.nlm.nih.gov/pmc/blobs/451c/6300387/c0fe367d15d3/cureus-0010-00000003469-i10.jpg
https://cdn.ncbi.nlm.nih.gov/pmc/blobs/451c/6300387/cd1262793ff9/cureus-0010-00000003469-i01.jpg
https://cdn.ncbi.nlm.nih.gov/pmc/blobs/451c/6300387/8efe0354bb6e/cureus-0010-00000003469-i02.jpg
https://cdn.ncbi.nlm.nih.gov/pmc/blobs/451c/6300387/2f059d20e050/cureus-0010-00000003469-i03.jpg
https://cdn.ncbi.nlm.nih.gov/pmc/blobs/451c/6300387/cba48b506b66/cureus-0010-00000003469-i04.jpg
https://cdn.ncbi.nlm.nih.gov/pmc/blobs/451c/6300387/662e95162883/cureus-0010-00000003469-i05.jpg
https://cdn.ncbi.nlm.nih.gov/pmc/blobs/451c/6300387/b8b72ddd4150/cureus-0010-00000003469-i06.jpg
https://cdn.ncbi.nlm.nih.gov/pmc/blobs/451c/6300387/949784299dc1/cureus-0010-00000003469-i07.jpg
https://cdn.ncbi.nlm.nih.gov/pmc/blobs/451c/6300387/e6bf4bf04b81/cureus-0010-00000003469-i08.jpg
https://cdn.ncbi.nlm.nih.gov/pmc/blobs/451c/6300387/89002842f9bc/cureus-0010-00000003469-i09.jpg
https://cdn.ncbi.nlm.nih.gov/pmc/blobs/451c/6300387/c0fe367d15d3/cureus-0010-00000003469-i10.jpg
https://cdn.ncbi.nlm.nih.gov/pmc/blobs/451c/6300387/cd1262793ff9/cureus-0010-00000003469-i01.jpg
https://cdn.ncbi.nlm.nih.gov/pmc/blobs/451c/6300387/8efe0354bb6e/cureus-0010-00000003469-i02.jpg
https://cdn.ncbi.nlm.nih.gov/pmc/blobs/451c/6300387/2f059d20e050/cureus-0010-00000003469-i03.jpg
https://cdn.ncbi.nlm.nih.gov/pmc/blobs/451c/6300387/cba48b506b66/cureus-0010-00000003469-i04.jpg
https://cdn.ncbi.nlm.nih.gov/pmc/blobs/451c/6300387/662e95162883/cureus-0010-00000003469-i05.jpg
https://cdn.ncbi.nlm.nih.gov/pmc/blobs/451c/6300387/b8b72ddd4150/cureus-0010-00000003469-i06.jpg
https://cdn.ncbi.nlm.nih.gov/pmc/blobs/451c/6300387/949784299dc1/cureus-0010-00000003469-i07.jpg
https://cdn.ncbi.nlm.nih.gov/pmc/blobs/451c/6300387/e6bf4bf04b81/cureus-0010-00000003469-i08.jpg
https://cdn.ncbi.nlm.nih.gov/pmc/blobs/451c/6300387/89002842f9bc/cureus-0010-00000003469-i09.jpg
https://cdn.ncbi.nlm.nih.gov/pmc/blobs/451c/6300387/c0fe367d15d3/cureus-0010-00000003469-i10.jpg

相似文献

1
A Novel Nonvascular Application of the Steerable Microcatheter.可控微导管的一种新型非血管应用。
Cureus. 2018 Oct 19;10(10):e3469. doi: 10.7759/cureus.3469.
2
Wire-reinforced ureteral stents to rescue from nephrostomy tube in extrinsic ureteral obstruction.钢丝增强输尿管支架用于解除外在性输尿管梗阻时的肾造瘘管问题。
Can J Urol. 2015 Jun;22(3):7806-10.
3
Percutaneous nephrostomy and antegrade ureteral stenting: technique-indications-complications.经皮肾造瘘术和顺行输尿管支架置入术:技术 - 适应证 - 并发症
Eur Radiol. 2006 Sep;16(9):2016-30. doi: 10.1007/s00330-005-0136-7. Epub 2006 Mar 18.
4
Percutaneous nephrostomy: native and transplanted kidneys.经皮肾造瘘术:自体肾和移植肾
Tech Vasc Interv Radiol. 2009 Sep;12(3):172-92. doi: 10.1053/j.tvir.2009.09.002.
5
Percutaneous nephrostomy of nondilated renal collecting systems with fluoroscopic guidance: technique and results.透视引导下非扩张性肾集合系统的经皮肾造瘘术:技术与结果
Radiology. 2004 Oct;233(1):226-33. doi: 10.1148/radiol.2331031342. Epub 2004 Aug 27.
6
Ureteric stents vs percutaneous nephrostomy for initial urinary drainage in children with obstructive anuria and acute renal failure due to ureteric calculi: a prospective, randomised study.输尿管支架与经皮肾造瘘术用于输尿管结石所致梗阻性无尿和急性肾衰竭患儿的初始尿液引流:一项前瞻性随机研究
BJU Int. 2015 Mar;115(3):473-9. doi: 10.1111/bju.12768. Epub 2014 Oct 20.
7
Percutaneous nephrostomy versus indwelling ureteral stent in the management of gynecological malignancies.经皮肾造口术与留置输尿管支架在妇科恶性肿瘤治疗中的比较。
Int J Gynecol Cancer. 2012 May;22(4):697-702. doi: 10.1097/IGC.0b013e318243b475.
8
Do's and don't's of percutaneous nephrostomy.经皮肾造瘘术的注意事项
Acad Radiol. 1999 Jun;6(6):370-7. doi: 10.1016/s1076-6332(99)80233-5.
9
Evidence-based drainage of infected hydronephrosis secondary to ureteric calculi.基于证据的输尿管结石继发感染性肾积水引流。
J Endourol. 2010 Feb;24(2):185-9. doi: 10.1089/end.2009.0361.
10
Placement of transileal conduit retrograde nephroureteral stents in patients with ureteral obstruction after cystectomy: technique and outcome.膀胱切除术后输尿管梗阻患者经髂骨通道逆行置入输尿管支架:技术与结果
AJR Am J Roentgenol. 2008 Nov;191(5):1536-9. doi: 10.2214/AJR.08.1003.

引用本文的文献

1
SwiftNINJA steerable microcatheter: a new kid on the block for selective catheterization of vascular and valvular congenital lesions.SwiftNINJA可操纵微导管:用于血管和瓣膜先天性病变选择性导管插入术的新成员。
Front Cardiovasc Med. 2023 Dec 4;10:1322787. doi: 10.3389/fcvm.2023.1322787. eCollection 2023.
2
Successful treatment of chylous ascites by superselective embolization of the inflowing lymphatic vessels using a steerable microcatheter: a case study.使用可操纵微导管对流入淋巴管进行超选择性栓塞成功治疗乳糜性腹水:病例报告
Radiol Case Rep. 2022 Jun 29;17(9):3205-3208. doi: 10.1016/j.radcr.2022.06.011. eCollection 2022 Sep.
3

本文引用的文献

1
Welcome to the New Era: A Completely Wireless Interventional Procedure.欢迎来到新时代:一种完全无线的介入手术。
Cureus. 2018 Sep 19;10(9):e3337. doi: 10.7759/cureus.3337.
2
Tubeless percutaneous nephrolithotomy: outcomes with expanded indications.无管经皮肾镜取石术:扩展适应证的结果。
Int Braz J Urol. 2014 Mar-Apr;40(2):204-11. doi: 10.1590/S1677-5538.IBJU.2014.02.10.
3
Percutaneous nephrostomy: technical aspects and indications.经皮肾造瘘术:技术要点与适应证
Pediatric Traumas and Paradigm Shifts: The Necessary Adaption of the Steerable Microcatheter in Pediatric Interventional Radiology.
儿科创伤与范式转变:儿科介入放射学中可操纵微导管的必要适应性调整
Cureus. 2019 Feb 23;11(2):e4125. doi: 10.7759/cureus.4125.
4
Time is Brain: The Future for Acute Ischemic Stroke Management is the Utilization of Steerable Microcatheters for Reperfusion.时间就是大脑:急性缺血性卒中管理的未来在于使用可操纵微导管进行再灌注治疗。
Cureus. 2019 Jan 7;11(1):e3842. doi: 10.7759/cureus.3842.
5
Against the Odds: A Novel Technique to Perform Cholangiography from a Percutaneous Approach through the Cystic Duct.战胜困难:一种经皮经胆囊管途径进行胆管造影的新技术。
Cureus. 2018 Nov 12;10(11):e3577. doi: 10.7759/cureus.3577.
Semin Intervent Radiol. 2011 Dec;28(4):424-37. doi: 10.1055/s-0031-1296085.
4
Percutaneous trocar (needle) nephrostomy in hydronephrosis.经皮穿刺套管针(针)肾造瘘术治疗肾积水。
J Am Med Assoc. 1955 Mar 12;157(11):891-4. doi: 10.1001/jama.1955.02950280015005.
5
Percutaneous nephrostomy with extensions of the technique: step by step.经皮肾造瘘术及其技术扩展:分步讲解
Radiographics. 2002 May-Jun;22(3):503-25. doi: 10.1148/radiographics.22.3.g02ma19503.
6
Current indications for open stone surgery in the treatment of renal and ureteral calculi.目前开放性结石手术在治疗肾和输尿管结石方面的适应症。
J Urol. 1998 Feb;159(2):374-8; discussion 378-9. doi: 10.1016/s0022-5347(01)63922-3.
7
Tubeless percutaneous renal surgery.无管经皮肾手术
J Urol. 1997 May;157(5):1578-82.
8
Percutaneous pyelolithotomy. A new extraction technique.经皮肾盂取石术。一种新的取石技术。
Scand J Urol Nephrol. 1976;10(3):257-9. doi: 10.1080/21681805.1976.11882084.