• 文献检索
  • 文档翻译
  • 深度研究
  • 学术资讯
  • Suppr Zotero 插件Zotero 插件
  • 邀请有礼
  • 套餐&价格
  • 历史记录
应用&插件
Suppr Zotero 插件Zotero 插件浏览器插件Mac 客户端Windows 客户端微信小程序
定价
高级版会员购买积分包购买API积分包
服务
文献检索文档翻译深度研究API 文档MCP 服务
关于我们
关于 Suppr公司介绍联系我们用户协议隐私条款
关注我们

Suppr 超能文献

核心技术专利:CN118964589B侵权必究
粤ICP备2023148730 号-1Suppr @ 2026

文献检索

告别复杂PubMed语法,用中文像聊天一样搜索,搜遍4000万医学文献。AI智能推荐,让科研检索更轻松。

立即免费搜索

文件翻译

保留排版,准确专业,支持PDF/Word/PPT等文件格式,支持 12+语言互译。

免费翻译文档

深度研究

AI帮你快速写综述,25分钟生成高质量综述,智能提取关键信息,辅助科研写作。

立即免费体验

镫骨肌及其肌腱的显微断层扫描形态测量学

Microtomographic morphometry of the stapedius muscle and its tendon.

作者信息

Wojciechowski Tomasz, Skadorwa Tymon, Nève de Mévergnies Jean-Gualbert, Niemczyk Kazimierz

机构信息

Department of Otolaryngology, The Medical University of Warsaw, 1a Banacha St., 02097, Warsaw, Poland.

Department of Descriptive and Clinical Anatomy, The Medical University of Warsaw, 5 Chalubinskiego St., 02004, Warsaw, Poland.

出版信息

Anat Sci Int. 2020 Jan;95(1):31-37. doi: 10.1007/s12565-019-00490-6. Epub 2019 May 20.

DOI:10.1007/s12565-019-00490-6
PMID:31111392
原文链接:https://pmc.ncbi.nlm.nih.gov/articles/PMC6942563/
Abstract

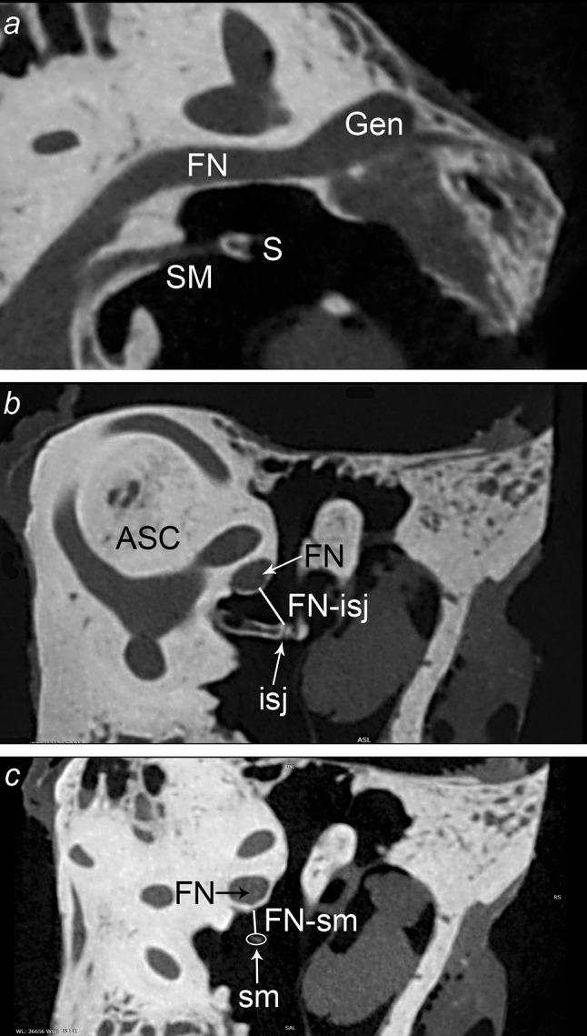
The aim of this study was to evaluate the morphology of the stapedius muscle and its tendon with the use of microCT and to describe their anatomic relationship with facial nerve and incudostapedial joint. The study was performed on 16 fresh cadaveric temporal bones scanned in microtomography (microCT). Stapedius muscle and its tendon were identified in each set of images. The length of the medial and lateral border of the stapedius tendon (STL-med, STL-lat), width at the insertion to stapes (STW-s), at the point it emerges from the pyramidal eminence (STW-p) and in the half way from the pyramidal eminence to stapes (STW-m), and the length and the width of the belly of stapedius muscle (BSML and BSMW) were measured in modified axial plane. The shortest distance between the facial canal and incudostapedial joint (FN-isj), and between the facial canal and stapedius tendon (FN-st) were measured in the Pöschl plane. The average values of all distances measured were: STL-lat 1.29 ± 0.50 mm, STL-med 1.27 ± 0.44 mm, BSML 2.98 ± 0.51 mm, STW-s 0.47 ± 0.10 mm, STW-p 0.46 ± 0.12 mm, STW-m 0.35 ± 0.12 mm, BSMW 1.26 ± 0.29 mm, FN-isj 1.72 ± 0.33 mm, FN-st 1.35 ± 0.30 mm. The stapedius muscle complex consists of the tendon and the belly, and the border between them in microCT scans is not always evident. The distance between the facial nerve and the incudostapedial joint is greater than the distance between the facial nerve and the stapedius muscle tendon.

摘要

本研究的目的是利用显微CT评估镫骨肌及其肌腱的形态,并描述它们与面神经及砧镫关节的解剖关系。本研究对16个新鲜尸体颞骨进行了显微断层扫描(显微CT)。在每组图像中识别出镫骨肌及其肌腱。在改良的轴位平面上测量镫骨肌腱内侧和外侧边界的长度(STL-med、STL-lat)、在镫骨插入处的宽度(STW-s)、从锥隆起处穿出点的宽度(STW-p)以及在从锥隆起至镫骨中途点的宽度(STW-m),以及镫骨肌肌腹的长度和宽度(BSML和BSMW)。在Pöschl平面上测量面神经管与砧镫关节之间(FN-isj)以及面神经管与镫骨肌腱之间(FN-st)的最短距离。所有测量距离的平均值为:STL-lat 1.29±0.50毫米,STL-med 1.27±0.44毫米,BSML 2.98±0.51毫米,STW-s 0.47±0.10毫米,STW-p 0.46±0.12毫米,STW-m 0.35±0.12毫米,BSMW 1.26±0.29毫米,FN-isj 1.72±0.33毫米,FN-st 1.35±0.30毫米。镫骨肌复合体由肌腱和肌腹组成,在显微CT扫描中它们之间的边界并不总是清晰可见。面神经与砧镫关节之间的距离大于面神经与镫骨肌腱之间的距离。

https://cdn.ncbi.nlm.nih.gov/pmc/blobs/29db/6942563/092a828839be/12565_2019_490_Fig6_HTML.jpg
https://cdn.ncbi.nlm.nih.gov/pmc/blobs/29db/6942563/c454c635ca19/12565_2019_490_Fig1_HTML.jpg
https://cdn.ncbi.nlm.nih.gov/pmc/blobs/29db/6942563/f7f8dc699847/12565_2019_490_Fig2_HTML.jpg
https://cdn.ncbi.nlm.nih.gov/pmc/blobs/29db/6942563/173bd68b8772/12565_2019_490_Fig3_HTML.jpg
https://cdn.ncbi.nlm.nih.gov/pmc/blobs/29db/6942563/6d3be908aeab/12565_2019_490_Fig4_HTML.jpg
https://cdn.ncbi.nlm.nih.gov/pmc/blobs/29db/6942563/507cbb697f00/12565_2019_490_Fig5_HTML.jpg
https://cdn.ncbi.nlm.nih.gov/pmc/blobs/29db/6942563/092a828839be/12565_2019_490_Fig6_HTML.jpg
https://cdn.ncbi.nlm.nih.gov/pmc/blobs/29db/6942563/c454c635ca19/12565_2019_490_Fig1_HTML.jpg
https://cdn.ncbi.nlm.nih.gov/pmc/blobs/29db/6942563/f7f8dc699847/12565_2019_490_Fig2_HTML.jpg
https://cdn.ncbi.nlm.nih.gov/pmc/blobs/29db/6942563/173bd68b8772/12565_2019_490_Fig3_HTML.jpg
https://cdn.ncbi.nlm.nih.gov/pmc/blobs/29db/6942563/6d3be908aeab/12565_2019_490_Fig4_HTML.jpg
https://cdn.ncbi.nlm.nih.gov/pmc/blobs/29db/6942563/507cbb697f00/12565_2019_490_Fig5_HTML.jpg
https://cdn.ncbi.nlm.nih.gov/pmc/blobs/29db/6942563/092a828839be/12565_2019_490_Fig6_HTML.jpg

相似文献

1
Microtomographic morphometry of the stapedius muscle and its tendon.镫骨肌及其肌腱的显微断层扫描形态测量学
Anat Sci Int. 2020 Jan;95(1):31-37. doi: 10.1007/s12565-019-00490-6. Epub 2019 May 20.
2
The Endoscopic Relationship of the Stapedius Muscle to the Facial Nerve: Implications for Retrotympanic Surgery.镫骨肌与面神经的内镜下关系:对鼓室后手术的启示
Otol Neurotol. 2020 Jan;41(1):e64-e69. doi: 10.1097/MAO.0000000000002454.
3
Microsurgical anatomy of the stapedius muscle in adult cadavers.成人尸体镫骨肌的显微外科解剖
Anat Sci Int. 2020 Sep;95(4):540-547. doi: 10.1007/s12565-020-00551-1. Epub 2020 May 31.
4
Development of the stapedius muscle and pyramidal eminence in humans.镫骨肌和锥体隆起在人类中的发育。
J Anat. 2009 Sep;215(3):292-9. doi: 10.1111/j.1469-7580.2009.01105.x. Epub 2009 Jun 15.
5
Sinus tympani revisited for planning retrofacial approach-radiologic study in pneumatized temporal bones and its surgical implications.再次探讨鼓室窦在气化颞骨中的应用规划-影像学研究及其手术意义。
Eur Arch Otorhinolaryngol. 2023 Mar;280(3):1089-1099. doi: 10.1007/s00405-022-07576-4. Epub 2022 Aug 5.
6
Congenital ossification of the stapedius tendon: diagnosis with CT.先天性镫骨肌腱骨化:CT诊断
Radiology. 1995 Jun;195(3):711-4. doi: 10.1148/radiology.195.3.7753999.
7
The incudostapedial articulation: new concepts.砧镫关节:新概念。
Otol Neurotol. 2009 Oct;30(7):990-7. doi: 10.1097/MAO.0b013e3181b0fff7.
8
Accessing the Stapedius Muscle Via Novel Surgical Retrofacial Approach: A Cadaveric Feasibility Study.经 novel surgical retrofacial approach 入路触及镫骨肌:尸体可行性研究。
Otol Neurotol. 2022 Feb 1;43(2):e174-e180. doi: 10.1097/MAO.0000000000003413.
9
Microsurgical Anatomy of Stapedius Muscle: Anatomy Revisited, Redefined with Potential Impact in Surgeries.镫骨肌的显微外科解剖学:重新审视解剖学,重新定义并探讨其在手术中的潜在影响
Indian J Otolaryngol Head Neck Surg. 2019 Mar;71(1):14-18. doi: 10.1007/s12070-018-1510-5. Epub 2018 Oct 9.
10
Development of the stapedius muscle and unilateral agenesia of the tendon of the stapedius muscle in a human fetus.人类胎儿镫骨肌的发育和镫骨肌肌腱单侧发育不全。
Anat Rec (Hoboken). 2010 Jan;293(1):25-31. doi: 10.1002/ar.21020.

引用本文的文献

1
Absent stapedius muscle and its tendon concomitant with otosclerosis: a case report on embryology, imaging, and treatment.镫骨肌及其肌腱缺如伴耳硬化症:一例关于胚胎学、影像学及治疗的病例报告
Anat Sci Int. 2025 Feb 19. doi: 10.1007/s12565-025-00827-4.
2
Computed tomography Scan Size Analysis of stapedius and tensor tympani muscles in middle ear myoclonic tinnitus.中耳肌阵挛性耳鸣镫骨肌和鼓膜张肌的计算机断层扫描尺寸分析
Laryngoscope Investig Otolaryngol. 2024 May 9;9(3):e1243. doi: 10.1002/lio2.1243. eCollection 2024 Jun.
3
Absent Stapedial Tendon: Imaging Features of an Underrecognized Entity : Clinical Neuroradiology.

本文引用的文献

1
Micro-CT study of the human cochlear aqueduct.人类蜗水管的显微CT研究
Surg Radiol Anat. 2018 Jun;40(6):713-720. doi: 10.1007/s00276-018-2020-6. Epub 2018 Apr 21.
2
Shortened stapedius tendon: a rare cause of conductive hearing loss.镫骨肌腱缩短:传导性听力损失的罕见原因。
J Laryngol Otol. 2014 Jan;128(1):98-100. doi: 10.1017/S002221511300337X. Epub 2014 Jan 22.
3
High-resolution computed tomographic features of the stapedius muscle and facial nerve in chronic otitis media.慢性中耳炎患者镫骨肌和面神经的高分辨率 CT 特征。
镫骨肌腱缺如:一种认识不足实体的影像学特征:临床神经放射学。
Clin Neuroradiol. 2023 Sep;33(3):645-651. doi: 10.1007/s00062-022-01251-1. Epub 2023 Jan 2.
4
Analysis of tympanic sinus shape for purposes of intraoperative hearing monitoring: a microCT study.用于术中听力监测的鼓窦形态分析:一项显微CT研究
Surg Radiol Anat. 2022 Feb;44(2):323-331. doi: 10.1007/s00276-021-02859-7. Epub 2021 Nov 24.
5
A few points regarding recent studies on stapedius muscle anatomy.关于镫骨肌解剖学近期研究的几点情况。
Surg Radiol Anat. 2019 Sep;41(9):1099-1100. doi: 10.1007/s00276-019-02266-z. Epub 2019 May 28.
Otol Neurotol. 2013 Aug;34(6):1115-20. doi: 10.1097/MAO.0b013e318281e22e.
4
The ossicle of Paaw.帕沃氏小骨
Otol Neurotol. 2011 Sep;32(7):1185-8. doi: 10.1097/MAO.0b013e31822a28df.
5
Modifications of standard cochlear implantation techniques for children under 18 months of age.18个月以下儿童标准人工耳蜗植入技术的改良
Cochlear Implants Int. 2006 Dec;7(4):207-13. doi: 10.1179/cim.2006.7.4.207.
6
Comparison of 45 degrees oblique reformats with axial reformats in CT evaluation of the vestibular aqueduct.在CT评估前庭导水管中45度斜位重组图像与轴位重组图像的比较
AJNR Am J Neuroradiol. 2008 Jan;29(1):30-4. doi: 10.3174/ajnr.A0735. Epub 2007 Oct 18.
7
Fenestration of the oval window.卵圆窗开窗术
Ann Otol Rhinol Laryngol. 1958 Dec;67(4):932-51. doi: 10.1177/000348945806700403.
8
Radiological anatomy of the intratemporal course of facial nerve.面神经颞骨内段的放射解剖学
Clin Anat. 2000;13(2):83-7. doi: 10.1002/(SICI)1098-2353(2000)13:2<83::AID-CA2>3.0.CO;2-Y.
9
Preservation of the stapedius tendon in laser stapes surgery.镫骨激光手术中镫骨肌腱的保留
Laryngoscope. 1998 Oct;108(10):1453-8. doi: 10.1097/00005537-199810000-00007.
10
Stapedotomy with and without stapedius tendon preservation versus stapedectomy: long-term results.保留与不保留镫骨肌腱的镫骨手术与镫骨切除术:长期结果
Am J Otol. 1988 Mar;9(2):136-41.