Suppr超能文献

排卵诱导生育治疗后年轻女性患者肝细胞腺瘤的恶性转化:一例报告

Malignant transformation of hepatocellular adenoma in a young female patient after ovulation induction fertility treatment: A case report.

作者信息

Glinka Juan, Clariá Rodrigo Sanchez, Fratanoni Eugenia, Spina Juan, Mullen Eduardo, Ardiles Victoria, Mazza Oscar, Pekolj Juan, de Santibañes Martín, de Santibañes Eduardo

机构信息

Department of General Surgery, Hepato-bilio-pancreatic Unit, Hospital Italiano de Buenos Aires, Buenos Aires C1181ACH, Argentina.

Department of Radiology, Hospital Italiano de Buenos Aires, Buenos Aires C1181ACH, Argentina.

出版信息

World J Gastrointest Surg. 2019 Apr 27;11(4):229-236. doi: 10.4240/wjgs.v11.i4.229.

Abstract

BACKGROUND

Hepatocellular adenoma (HCA) is a rare benign liver tumor usually affecting young women with a history of prolonged use of hormonal contraception. Although the majority is asymptomatic, a low proportion may have significant complications such as bleeding or malignancy. Despite responding to the hormonal stimulus, the desire for pregnancy in patients with small HCA is not contraindicated. However, through this work we demonstrate that intensive hormonal therapies such as those used in the treatment of infertility can trigger serious complications.

CASE SUMMARY

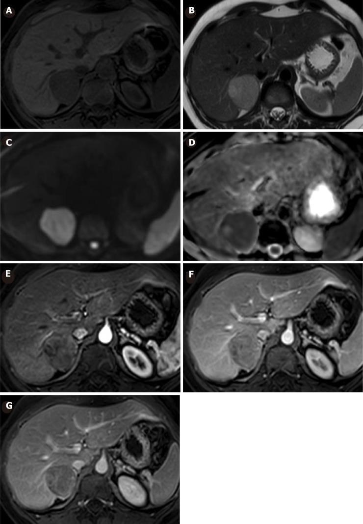
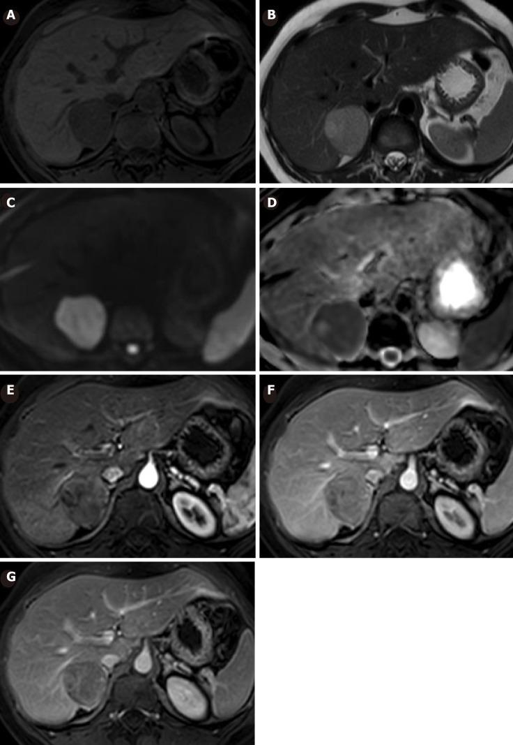
A 33-year-old female with a 10-year history of oral contraceptive use was diagnosed with a hepatic tumor as an incidental finding in an abdominal ultrasound. The patient showed no symptoms and physical examination was unremarkable. Laboratory functional tests were within normal limits and tests for serum tumor markers were negative. An abdominal magnetic resonance imaging (MRI) was performed, showing a 30 mm × 29 mm focal lesion in segment VI of the liver compatible with HCA or Focal Nodular Hyperplasia with atypical behavior. After a total of six years of follow-up, the patient underwent ovulation induction treatment for infertility. On a following MRI, a suspected malignancy was warned and hence, surgery was decided. The surgical specimen revealed malignant transformation of HCA towards trabecular hepatocarcinoma with dedifferentiated areas. There was non-evidence of tumor recurrence after three years of clinical and imaging follow-up.

CONCLUSION

HCAs can be malignant regardless its size and low-risk appearance on MRI when an ovultation induction therapy is indicated.

摘要

背景

肝细胞腺瘤(HCA)是一种罕见的肝脏良性肿瘤,通常影响有长期使用激素避孕药史的年轻女性。虽然大多数患者无症状,但少数患者可能出现严重并发症,如出血或恶变。尽管HCA对激素刺激有反应,但小HCA患者的妊娠意愿并非禁忌。然而,通过本研究我们证明,用于治疗不孕症的强化激素疗法可能引发严重并发症。

病例摘要

一名有10年口服避孕药史的33岁女性,在腹部超声检查中偶然发现肝脏肿瘤。患者无症状,体格检查无异常。实验室功能检查在正常范围内,血清肿瘤标志物检测为阴性。进行了腹部磁共振成像(MRI)检查,显示肝脏VI段有一个30mm×29mm的局灶性病变,符合HCA或具有非典型表现的局灶性结节性增生。经过总共6年的随访,患者因不孕症接受了促排卵治疗。在随后的MRI检查中,发现疑似恶变,因此决定进行手术。手术标本显示HCA向小梁状肝细胞癌伴去分化区域恶变。经过3年的临床和影像学随访,未发现肿瘤复发迹象。

结论

当需要进行促排卵治疗时,无论HCA大小及MRI表现为低风险,其都可能发生恶变。

https://cdn.ncbi.nlm.nih.gov/pmc/blobs/40ad/6513787/9334eed35c7c/WJGS-11-229-g001.jpg

相似文献

3
A rare case of hepatocellular carcinoma arising from gadoxetate-retaining hepatic adenoma.
Radiol Case Rep. 2019 Nov 27;15(2):141-143. doi: 10.1016/j.radcr.2019.10.030. eCollection 2020 Feb.
4
Hepatic adenoma and focal nodular hyperplasia.
Surg Gynecol Obstet. 1991 Nov;173(5):426-31.
6
[Focal nodular hyperplasia and hepatocellular adenoma].
Radiologe. 2015 Jan;55(1):18-26. doi: 10.1007/s00117-014-2704-9.
7
Hepatocyte Nuclear Factor 1α-Mutated Hepatocellular Adenomas: An Atypical Presentation.
Case Rep Gastroenterol. 2017 Oct 30;11(3):637-642. doi: 10.1159/000480376. eCollection 2017 Sep-Dec.

本文引用的文献

1
Hepatocellular adenoma management: advances but still a long way to go.
Hepat Oncol. 2015 Apr;2(2):171-180. doi: 10.2217/hep.14.41. Epub 2015 May 15.
2
Malignant transformation of hepatocellular adenoma.
Hepat Oncol. 2014 Oct;1(4):421-431. doi: 10.2217/hep.14.14. Epub 2014 Dec 11.
3
Current Approaches in the Management of Hepatic Adenomas.
J Gastrointest Surg. 2019 Jan;23(1):199-209. doi: 10.1007/s11605-018-3917-4. Epub 2018 Aug 14.
4
Hepatocellular adenoma: when and how to treat? Update of current evidence.
Therap Adv Gastroenterol. 2016 Nov;9(6):898-912. doi: 10.1177/1756283X16663882. Epub 2016 Sep 28.
5
Hepatocellular adenoma: An update.
World J Hepatol. 2015 Nov 8;7(25):2603-9. doi: 10.4254/wjh.v7.i25.2603.
6
Management of Hepatocellular Adenoma: Recent Advances.
Clin Gastroenterol Hepatol. 2015 Jul;13(7):1221-30. doi: 10.1016/j.cgh.2014.05.023. Epub 2014 Jun 5.
7
Molecular pathogenesis of hepatic adenomas and its implications for surgical management.
J Gastrointest Surg. 2013 Oct;17(10):1869-82. doi: 10.1007/s11605-013-2274-6. Epub 2013 Jul 9.
8
The management of pregnancy in women with hepatocellular adenoma: a plea for an individualized approach.
Int J Hepatol. 2012;2012:725735. doi: 10.1155/2012/725735. Epub 2012 Dec 24.
9
Systematic review of haemorrhage and rupture of hepatocellular adenomas.
Br J Surg. 2012 Jul;99(7):911-6. doi: 10.1002/bjs.8762. Epub 2012 May 22.

文献AI研究员

20分钟写一篇综述,助力文献阅读效率提升50倍。

立即体验

用中文搜PubMed

大模型驱动的PubMed中文搜索引擎

马上搜索

文档翻译

学术文献翻译模型,支持多种主流文档格式。

立即体验