Suppr超能文献

严重椎基底动脉延长扩张症致梗阻性脑积水一例报告

Severe vertebrobasilar dolichoectasia as a cause of obstructive hydrocephalus: A case report.

作者信息

Lee Jong-Myong, Park Jung Soo, Koh Eun-Jeong

机构信息

Department of Neurosurgery, Research Institute of Clinical Medicine and Biomedical Research Institute, Chonbuk National University Hospital, Jeonju, Republic of Korea.

出版信息

Medicine (Baltimore). 2019 May;98(21):e15752. doi: 10.1097/MD.0000000000015752.

Abstract

RATIONALE

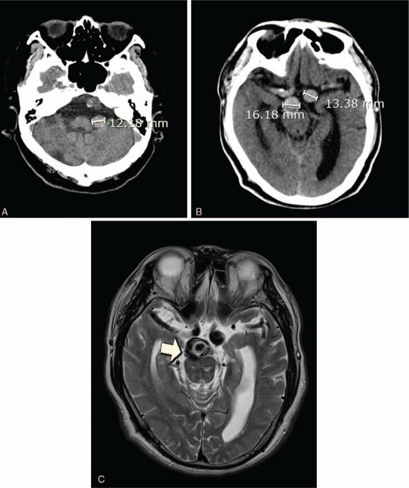
Dolichoectasia of the vertebrobasilar artery is a vascular anomaly characterized by marked elongating, widening, and tortuosity of the arteries. Although this anomaly is usually asymptomatic, it may present with ischemic symptoms or mass effect involving brainstem or cranial nerves.

PATIENT CONCERNS

A 52-year-old male was admitted with headache and visual field defect.

DIAGNOSES

Computed tomography and magnetic resonance imaging showed noncommunicating hydrocephalus due to vertebrobasilar dolichoectasia.

INTERVENTIONS

The patient underwent right-side ventriculoperitoneal shunt.

OUTCOMES

The patient's symptoms improved gradually, although visual symptoms persisted.

LESSONS

Neurosurgeons need to keep in mind vertebrobasilar dolichoectasia as a rare cause of obstructive hydrocephalus for accurate diagnosis and swift treatment.

摘要

理论依据

椎基底动脉延长扩张是一种血管异常,其特征为动脉显著延长、增宽和迂曲。虽然这种异常通常无症状,但可能会出现缺血症状或涉及脑干或颅神经的占位效应。

患者情况

一名52岁男性因头痛和视野缺损入院。

诊断

计算机断层扫描和磁共振成像显示因椎基底动脉延长扩张导致的非交通性脑积水。

干预措施

患者接受了右侧脑室腹腔分流术。

结果

患者症状逐渐改善,尽管视觉症状仍然存在。

经验教训

神经外科医生需要牢记椎基底动脉延长扩张是梗阻性脑积水的罕见原因,以便进行准确诊断和迅速治疗。

https://cdn.ncbi.nlm.nih.gov/pmc/blobs/654c/6571214/07882187fc14/medi-98-e15752-g001.jpg

文献AI研究员

20分钟写一篇综述,助力文献阅读效率提升50倍。

立即体验

用中文搜PubMed

大模型驱动的PubMed中文搜索引擎

马上搜索

文档翻译

学术文献翻译模型,支持多种主流文档格式。

立即体验