Suppr超能文献

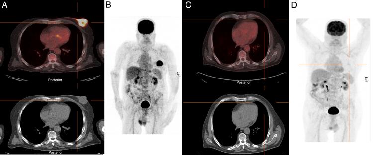
Primary breast lymphoma in a male patient.

作者信息

López-Rodríguez Estefanía, Bujan-Lloret Cristina, Álvarez-Pérez Rosa María, Jiménez-Hoyuela-García José Manuel

机构信息

Virgen del Rocío University Hospital, Seville, Spain.

Virgen del Rocío University Hospital, Seville, Spain.

出版信息

Hematol Transfus Cell Ther. 2019 Oct-Dec;41(4):369-370. doi: 10.1016/j.htct.2019.02.004. Epub 2019 May 12.

Abstract
摘要
https://cdn.ncbi.nlm.nih.gov/pmc/blobs/8c06/6978484/9f935c0eb044/gr1.jpg

文献AI研究员

20分钟写一篇综述,助力文献阅读效率提升50倍。

立即体验

用中文搜PubMed

大模型驱动的PubMed中文搜索引擎

马上搜索

文档翻译

学术文献翻译模型,支持多种主流文档格式。

立即体验