Suppr超能文献

Gastric ulceration causing thoracic spondylodiscitis: a first case of a rare complication post oesophagectomy.

作者信息

Townsend M, Karthigan R, Kaderbhai H, Bailey C, Panchalingam D, Keane A, Nehra D, Burney K

机构信息

Epsom and St Helier's NHS Trust, Carshalton, UK.

出版信息

BJR Case Rep. 2018 Sep 1;5(1):20170074. doi: 10.1259/bjrcr.20170074. eCollection 2019 Feb.

Abstract

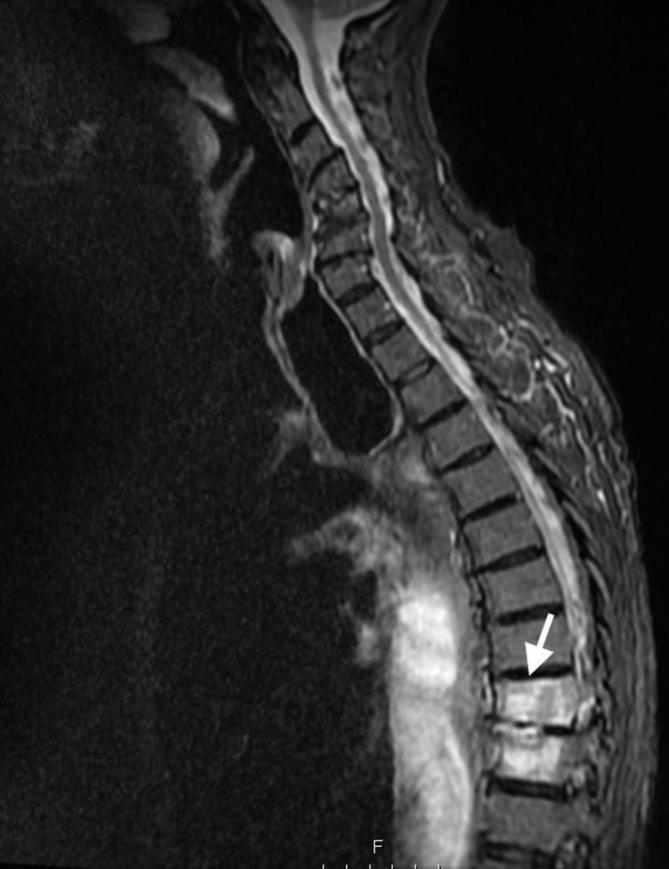
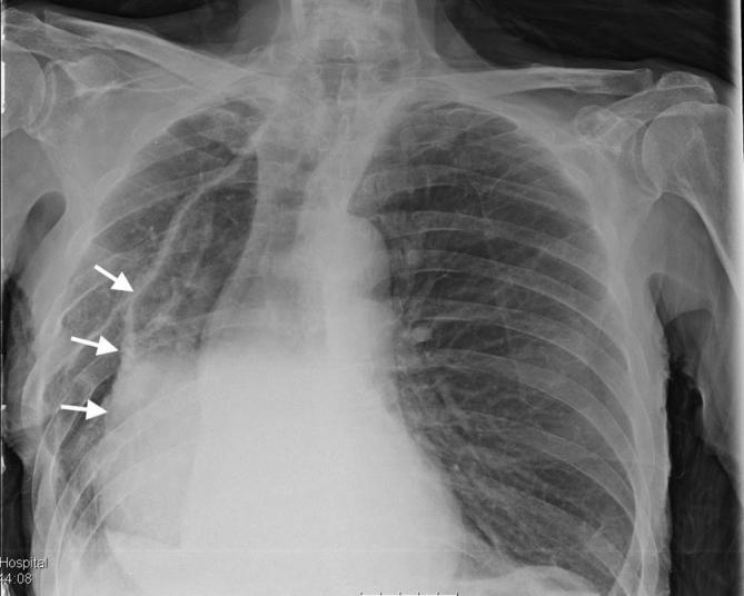
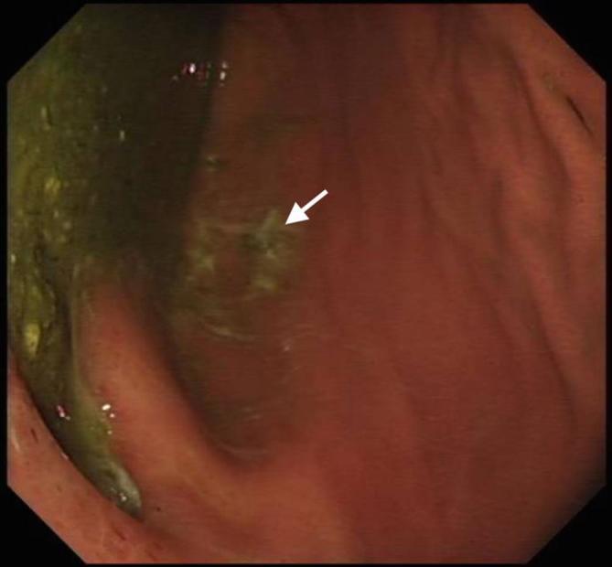
We report the case of an 84-year-old male, who presented with septicaemia, abdominal and back pain. The patient had a background of oesophageal carcinoma and had undergone previous oesophagectomy and gastric pull-up operation 10 years ago. A computerised topography scan demonstrated a probable gastro-vertebral communication with a destructive process at the T8/T9 vertebral level. Further evaluation with MRI clearly showed the tract between the two structures and confirmed the diagnosis of spondylodiscitis at the adjacent spinal level. The patient was resuscitated, treated with intravenous antibiotics and kept nil by mouth. A subsequent gastroscopy demonstrated an eroding gastric ulcer at the enteric opening of the tract between the tubal stomach and the spinal column. The diagnosis was discussed with the patient, his family and the surgical multidisciplinary team. Given the extent of disease and his multiple medical co-morbidities, the decision was made for conservative management and symptom control. This is the first case of a gastro-vertebral communication causing spondylodiscitis to be described in the literature.

摘要
https://cdn.ncbi.nlm.nih.gov/pmc/blobs/e35e/6519485/ef75eb9cacae/bjrcr.20170074.g001.jpg

文献AI研究员

20分钟写一篇综述,助力文献阅读效率提升50倍。

立即体验

用中文搜PubMed

大模型驱动的PubMed中文搜索引擎

马上搜索

文档翻译

学术文献翻译模型,支持多种主流文档格式。

立即体验