• 文献检索
  • 文档翻译
  • 深度研究
  • 学术资讯
  • Suppr Zotero 插件Zotero 插件
  • 邀请有礼
  • 套餐&价格
  • 历史记录
应用&插件
Suppr Zotero 插件Zotero 插件浏览器插件Mac 客户端Windows 客户端微信小程序
定价
高级版会员购买积分包购买API积分包
服务
文献检索文档翻译深度研究API 文档MCP 服务
关于我们
关于 Suppr公司介绍联系我们用户协议隐私条款
关注我们

Suppr 超能文献

核心技术专利:CN118964589B侵权必究
粤ICP备2023148730 号-1Suppr @ 2026

文献检索

告别复杂PubMed语法,用中文像聊天一样搜索,搜遍4000万医学文献。AI智能推荐,让科研检索更轻松。

立即免费搜索

文件翻译

保留排版,准确专业,支持PDF/Word/PPT等文件格式,支持 12+语言互译。

免费翻译文档

深度研究

AI帮你快速写综述,25分钟生成高质量综述,智能提取关键信息,辅助科研写作。

立即免费体验

自我手法操作颈椎导致椎间盘后突和椎管狭窄。

Self Manipulated Cervical Spine Leads to Posterior Disc Herniation and Spinal Stenosis.

作者信息

McGilvery Wyatt, Eastin Marc, Sen Anish, Witkos Maciej

机构信息

Department of Emergency Medicine, Loma Linda University Medical Center, Loma Lind 92354, CA, USA.

Department of Neurosurgery, Loma Linda University Medical Center, Loma Lind 92354, CA, USA.

出版信息

Brain Sci. 2019 May 29;9(6):125. doi: 10.3390/brainsci9060125.

DOI:10.3390/brainsci9060125
PMID:31146501
原文链接:https://pmc.ncbi.nlm.nih.gov/articles/PMC6627654/
Abstract

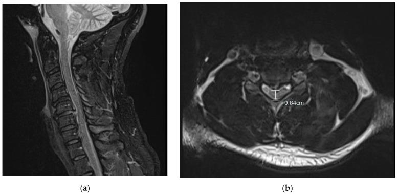
The authors report a case in which a 38-year-old male who presented himself to the emergency department with a chief complaint of cervical neck pain and paresthesia radiating from the right pectoral region down his distal right arm following self-manipulation of the patient's own cervical vertebrae. Initial emergency department imaging via cervical x-ray and magnetic resonance imaging (MRI) without contrast revealed no cervical fractures; however, there was evidence of an acute cervical disc herniation (C3-C7) with severe herniation and spinal stenosis located at C5-C6. Immediate discectomy at C5-C6 and anterior arthrodesis was conducted in order to decompress the cervical spinal cord. Acute traumatic cervical disc herniation is rare in comparison to disc herniation due to the chronic degradation of the posterior annulus fibrosus and nucleus pulposus. Traumatic cervical hernias usually arise due to a very large external force causing hyperflexion or hyperextension of the cervical vertebrae. However, there have been reports of cervical injury arising from cervical spinal manipulation therapy (SMT) where a licensed professional applies a rotary force component. This can be concerning, considering that 12 million Americans receive SMT annually (Powell, F.C.; Hanigan, W.C.; Olivero, W.C. A risk/benefit analysis of spinal manipulation therapy for relief of lumbar or cervical pain. , , 73-79.). This case study involved an individual who was able to apply enough rotary force to his own cervical vertebrae, causing severe neurological damage requiring surgical intervention. Individuals with neck pain should be advised of the complications of SMT, and provided with alternative treatment methods, especially if one is willing to self manipulate.

摘要

作者报告了一例病例,一名38岁男性因自行推拿颈椎后出现颈部疼痛和从右胸区域向下放射至右上肢远端的感觉异常为主诉前来急诊科就诊。急诊科最初通过颈椎X线和无造影剂的磁共振成像(MRI)检查未发现颈椎骨折;然而,有证据显示存在急性颈椎间盘突出(C3 - C7),其中C5 - C6处有严重突出及椎管狭窄。随即对C5 - C6进行了椎间盘切除术及前路椎间融合术,以减压颈脊髓。与因纤维环后部和髓核慢性退变导致的椎间盘突出相比,急性创伤性颈椎间盘突出较为罕见。创伤性颈椎间盘突出通常是由于非常大的外力导致颈椎过度前屈或后伸引起的。然而,有报告称颈椎脊柱推拿疗法(SMT)(有执照的专业人员施加旋转力成分)可导致颈部损伤。鉴于每年有1200万美国人接受SMT(鲍威尔,F.C.;哈尼根,W.C.;奥利韦罗,W.C. 脊柱推拿疗法缓解腰或颈疼痛的风险/效益分析。 , ,73 - 79.),这可能令人担忧。本病例研究涉及一名能够对自己的颈椎施加足够旋转力,导致严重神经损伤并需要手术干预的个体。对于颈部疼痛的个体,应告知其SMT的并发症,并提供替代治疗方法,尤其是对于那些愿意自行推拿的人。

https://cdn.ncbi.nlm.nih.gov/pmc/blobs/5c2b/6627654/265a749fb6b6/brainsci-09-00125-g003.jpg
https://cdn.ncbi.nlm.nih.gov/pmc/blobs/5c2b/6627654/6b32ee0bcbae/brainsci-09-00125-g001.jpg
https://cdn.ncbi.nlm.nih.gov/pmc/blobs/5c2b/6627654/4cb03bf9dc4a/brainsci-09-00125-g002.jpg
https://cdn.ncbi.nlm.nih.gov/pmc/blobs/5c2b/6627654/265a749fb6b6/brainsci-09-00125-g003.jpg
https://cdn.ncbi.nlm.nih.gov/pmc/blobs/5c2b/6627654/6b32ee0bcbae/brainsci-09-00125-g001.jpg
https://cdn.ncbi.nlm.nih.gov/pmc/blobs/5c2b/6627654/4cb03bf9dc4a/brainsci-09-00125-g002.jpg
https://cdn.ncbi.nlm.nih.gov/pmc/blobs/5c2b/6627654/265a749fb6b6/brainsci-09-00125-g003.jpg

相似文献

1
Self Manipulated Cervical Spine Leads to Posterior Disc Herniation and Spinal Stenosis.自我手法操作颈椎导致椎间盘后突和椎管狭窄。
Brain Sci. 2019 May 29;9(6):125. doi: 10.3390/brainsci9060125.
2
Cervical Intradural Disc Herniation Causing Progressive Quadriparesis After Spinal Manipulation Therapy: A Case Report and Literature Review.脊柱推拿治疗后颈椎硬膜内椎间盘突出导致进行性四肢瘫:病例报告及文献综述
Medicine (Baltimore). 2016 Feb;95(6):e2797. doi: 10.1097/MD.0000000000002797.
3
Anterior transcorporeal approach of percutaneous endoscopic cervical discectomy for disc herniation at the C4-C5 levels: a technical note.经皮内镜下颈椎间盘切除术治疗C4-C5节段椎间盘突出症的经体前入路:技术说明
Spine J. 2016 May;16(5):659-66. doi: 10.1016/j.spinee.2016.01.187. Epub 2016 Feb 2.
4
Cervical disc herniation as a trigger for temporary cervical cord ischemia.颈椎间盘突出作为暂时性颈髓缺血的诱因。
J Spine Surg. 2016 Jun;2(2):135-8. doi: 10.21037/jss.2016.06.04.
5
Nontraumatic acute complete paraplegia resulting from cervical disc herniation: a case report.颈椎间盘突出症导致的非创伤性急性完全性截瘫:一例报告
Spine (Phila Pa 1976). 2003 Mar 15;28(6):E125-8. doi: 10.1097/01.BRS.0000050404.11654.9F.
6
Foraminal stenosis with radiculopathy from a cervical disc herniation in a 33-year-old man treated with flexion distraction decompression manipulation.一名33岁男性因颈椎间盘突出症导致椎间孔狭窄并伴有神经根病,接受了屈曲牵引减压手法治疗。
J Manipulative Physiol Ther. 2008 Jun;31(5):376-80. doi: 10.1016/j.jmpt.2008.04.002.
7
Using intraoperative electrophysiologic monitoring as a diagnostic tool for determining levels to decompress in the cervical spine: a case report.使用术中电生理监测作为确定颈椎减压节段的诊断工具:一例报告。
J Spinal Disord Tech. 2007 Jul;20(5):403-7. doi: 10.1097/BSD.0b013e31803755d5.
8
A rare case of concomitant cervical disc herniation and intradural meningioma treated with one-stage posterior surgery.一例罕见的同时合并颈椎间盘突出症和硬脊膜内脑膜瘤并采用一期后路手术治疗的病例。
Eur Spine J. 2018 Jul;27(Suppl 3):426-430. doi: 10.1007/s00586-017-5414-y. Epub 2017 Dec 14.
9
Cervical disc herniation presenting with neck pain and contralateral symptoms: a case report.以颈部疼痛和对侧症状为表现的颈椎间盘突出症:一例报告
J Med Case Rep. 2012 Jun 28;6:166. doi: 10.1186/1752-1947-6-166.
10
Complete cervical intervertebral disc extrusion with spinal cord injury in the absence of facet dislocation: a case report.无小关节脱位的完全性颈椎间盘突出伴脊髓损伤:1例病例报告
Spine (Phila Pa 1976). 2004 May 1;29(9):E181-4. doi: 10.1097/00007632-200405010-00021.

引用本文的文献

1
Cervicogenic Dizziness After Self-Manipulation of the Cervical Spine.颈椎自我手法治疗后发生的颈源性头晕
Cureus. 2023 Apr 3;15(4):e37051. doi: 10.7759/cureus.37051. eCollection 2023 Apr.
2
Investigating the mechanical effect of the sagittal angle of the cervical facet joint on the cervical intervertebral disc.探讨颈椎小关节矢状角对颈椎间盘的力学影响。
Digit Health. 2022 Oct 26;8:20552076221134456. doi: 10.1177/20552076221134456. eCollection 2022 Jan-Dec.
3
Surgery for Spine Disease and Intractable Pain.脊柱疾病与顽固性疼痛的外科治疗

本文引用的文献

1
Cervical Intradural Disc Herniation Causing Progressive Quadriparesis After Spinal Manipulation Therapy: A Case Report and Literature Review.脊柱推拿治疗后颈椎硬膜内椎间盘突出导致进行性四肢瘫:病例报告及文献综述
Medicine (Baltimore). 2016 Feb;95(6):e2797. doi: 10.1097/MD.0000000000002797.
Brain Sci. 2020 Jan 24;10(2):62. doi: 10.3390/brainsci10020062.