Suppr超能文献

原发性脾包虫病:一例报告。

Primary splenic hydatidosis: a case report.

作者信息

Wang Qiang, Pang Ming-Quan, Kang Ying-Li, Wang Zhi-Xin, Cairang Dongzhi, Wang Hu, Wang Hai-Jiu, Fan Hai-Ning

机构信息

Department of Hepatobiliary and Pancreatic Surgery, Affiliated Hospital of Qinghai University, Xining, Qinghai, P.R. China.

Image Center, Affiliated Hospital of Qinghai University, Xining, Qinghai, P.R. China.

出版信息

J Int Med Res. 2020 Feb;48(2):300060519845500. doi: 10.1177/0300060519845500. Epub 2019 Jun 6.

Abstract

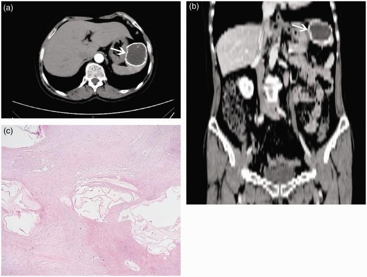
We herein report a case of primary splenic hydatidosis to provide data regarding the diagnosis, treatment, and epidemiological statistics of this disease. The patient was from a pastoral area and was diagnosed with primary splenic hydatidosis with chronic atrophic gastritis. The patient had no history of surgical treatment of hydatidosis. The diagnosis was mainly based on possible exposure to endemic areas, imaging findings, serological test results, and operative and pathological examination findings. Laparoscopic splenectomy was performed, and regular albendazole therapy was given after the operation. The patient was admitted to the hospital for gastrointestinal bleeding 3 months postoperatively, and she was successfully treated and discharged. No recurrence of hydatid foci has been observed since the follow-up.

摘要

我们在此报告一例原发性脾包虫病病例,以提供有关该疾病的诊断、治疗及流行病学统计数据。患者来自牧区,被诊断为原发性脾包虫病合并慢性萎缩性胃炎。患者无包虫病手术治疗史。诊断主要基于可能接触流行地区、影像学检查结果、血清学检测结果以及手术和病理检查结果。实施了腹腔镜脾切除术,术后给予常规阿苯达唑治疗。患者术后3个月因消化道出血入院,经成功治疗后出院。随访至今未观察到包虫病灶复发。

https://cdn.ncbi.nlm.nih.gov/pmc/blobs/6b02/7581981/8d766f052fc7/10.1177_0300060519845500-fig1.jpg

文献检索

告别复杂PubMed语法,用中文像聊天一样搜索,搜遍4000万医学文献。AI智能推荐,让科研检索更轻松。

立即免费搜索

文件翻译

保留排版,准确专业,支持PDF/Word/PPT等文件格式,支持 12+语言互译。

免费翻译文档

深度研究

AI帮你快速写综述,25分钟生成高质量综述,智能提取关键信息,辅助科研写作。

立即免费体验