Department of Thoracic Oncology, West China Hospital, Sichuan University, Chengdu, 610041, People's Republic of China.
State Key Laboratory of Biotherapy and Cancer Center, West China Hospital, Sichuan University, Chengdu 610041, People's Republic of China.
Int J Nanomedicine. 2019 May 10;14:3455-3468. doi: 10.2147/IJN.S196374. eCollection 2019.
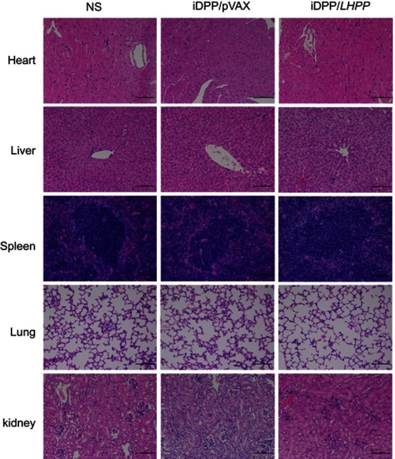
Phospholysine phosphohistidine inorganic pyrophosphate phosphatase (LHPP) is a novel tumor suppressor. However, whether LHPP is effective to melanoma has not been investigated. Gene therapy provides a new strategy for the treatment of melanoma. Currently, it suffers from the lack of safe and effective gene delivery systems. A CRGDKGPDC peptide (iRGD) modified hybrid monomethoxy poly(ethylene glycol)-poly(D,L-lactide) nanoparticle (iDPP) was prepared and complexed with a plasmid, forming an iDPP/ nanocomplex. The iDPP/ nanocomplex was characterized by particle size distribution, zeta potential, morphology, cytotoxicity, and transfection efficiency. The antitumor efficacy of the nanocomplex against melanoma was studied both in vitro and in vivo. Further, the potential epigenetic changes in melanoma induced by iDPP/ nanocomplex were evaluated. The iDPP/ nanocomplex showed high transfection efficiency and low toxicity. Moreover, the nanocomplex displayed a neutral charge that can meet the requirement of intravenous injection for targeted gene therapy. In vitro and in vivo experiments indicated that the iDPP/ nanocomplex significantly inhibited the melanoma growth without causing notable adverse effects. We also found that played an important role in epigenetics. It regulated the expression of genes related to the proliferation and apoptosis chiefly at the level of transcription. This work demonstrates that the iDPP nanoparticle-delivered gene has a potential application in melanoma therapy through regulation of the genes associated with epigenetics.
磷酸丝氨酸磷酸组氨酸无机焦磷酸酶 (LHPP) 是一种新型的肿瘤抑制因子。然而,LHPP 是否对黑色素瘤有效尚未得到研究。基因治疗为治疗黑色素瘤提供了一种新的策略。目前,它受到缺乏安全有效的基因传递系统的困扰。一种 CRGDKGPDC 肽(iRGD)修饰的杂合单甲氧基聚乙二醇-聚(D,L-乳酸)纳米粒子(iDPP)被制备并与质粒复合,形成 iDPP/纳米复合物。通过粒径分布、zeta 电位、形态、细胞毒性和转染效率对 iDPP/纳米复合物进行了表征。研究了该纳米复合物对黑色素瘤的体内外抗肿瘤疗效。此外,还评估了 iDPP/纳米复合物对黑色素瘤的潜在表观遗传变化。iDPP/纳米复合物表现出高转染效率和低毒性。此外,该纳米复合物带中性电荷,可满足靶向基因治疗静脉注射的要求。体外和体内实验表明,iDPP/纳米复合物能显著抑制黑色素瘤生长,而无明显不良反应。我们还发现,在表观遗传学中起着重要作用。它主要在转录水平上调节与增殖和凋亡相关的基因的表达。这项工作表明,通过调节与表观遗传学相关的基因,iDPP 纳米颗粒递送的 基因在黑色素瘤治疗中有潜在的应用。