Suppr超能文献

在其他方面健康的婴儿中成功管理复杂的肺部疾病。

Successful management of complex lung disease in an otherwise healthy infant.

作者信息

Liu Hui, Dong Fang, Liu Jinrong, Liu Jianhua, Pang Yu, Zhao Shunying, Lu Jie, Li Huimin

机构信息

Department of Respiratory Medicine, Beijing Children's Hospital, Capital Medical University, National Center for Children's Health, Beijing, People's Republic of China.

Department of Laboratory Medicine, Beijing Children's Hospital, Capital Medical University, National Center for Children's Health, Beijing, People's Republic of China.

出版信息

Infect Drug Resist. 2019 May 15;12:1277-1283. doi: 10.2147/IDR.S198461. eCollection 2019.

Abstract

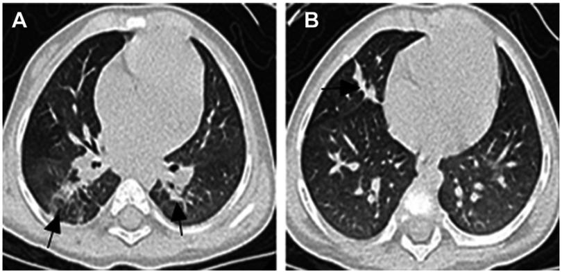
complex (MABC) is an uncommon but increasingly important cause of invasive pulmonary disease, a condition associated with diagnostic and management challenges. MABC has mainly been reported in children with certain medical conditions, such as preexisting structural lung disorders and immunocompromised status. In this article, we describe a rare case of MABC pulmonary disease in an otherwise healthy infant. A 4-month-old female presented with cough and fever for 4 days. Computed tomography showed multiple masses and small nodules across both lungs. Isolated mycobacteria from her bronchoalveolar lavage fluid and gastric aspirate were identified as MABC by using matrix-assisted laser desorption ionization time-of-flight mass spectrometry and subsp. was ultimately identified by DNA sequence analysis. Prolonged treatment with a combination of azithromycin, cefoxitin, and moxifloxacin achieved a successful treatment outcome.

摘要

复合非结核分枝杆菌(MABC)是侵袭性肺部疾病的一种罕见但日益重要的病因,这种疾病与诊断和管理挑战相关。MABC主要在患有某些疾病的儿童中报道,如既往存在的结构性肺部疾病和免疫功能低下状态。在本文中,我们描述了一例原本健康的婴儿患MABC肺部疾病的罕见病例。一名4个月大的女性出现咳嗽和发热4天。计算机断层扫描显示双肺有多个肿块和小结节。通过基质辅助激光解吸电离飞行时间质谱法,从她的支气管肺泡灌洗液和胃吸出物中分离出的分枝杆菌被鉴定为MABC,最终通过DNA序列分析鉴定出亚种。阿奇霉素、头孢西丁和莫西沙星联合长期治疗取得了成功的治疗效果。

https://cdn.ncbi.nlm.nih.gov/pmc/blobs/3689/6529672/b001f1157995/IDR-12-1277-g0001.jpg

文献AI研究员

20分钟写一篇综述,助力文献阅读效率提升50倍。

立即体验

用中文搜PubMed

大模型驱动的PubMed中文搜索引擎

马上搜索

文档翻译

学术文献翻译模型,支持多种主流文档格式。

立即体验