Suppr超能文献

野生型小鼠大脑中艾杜糖醛酸-2-硫酸酯酶蛋白质组的鉴定。

Identification of the iduronate-2-sulfatase proteome in wild-type mouse brain.

作者信息

Cardona Carolina, Benincore Eliana, Pimentel Natalia, Reyes Luis H, Patarroyo Camilo, Rodríguez-López Alexander, Martin-Rufian M, Barrera Luis Alejandro, Alméciga-Díaz Carlos J

机构信息

Institute for the Study of Inborn Errors of Metabolism, School of Sciences, Pontificia Universidad Javeriana, Bogotá, Colombia.

Process and Product Design Group (GDPP), Department of Chemical Engineering, Universidad de los Andes, Bogotá, Colombia.

出版信息

Heliyon. 2019 May 10;5(5):e01667. doi: 10.1016/j.heliyon.2019.e01667. eCollection 2019 May.

Abstract

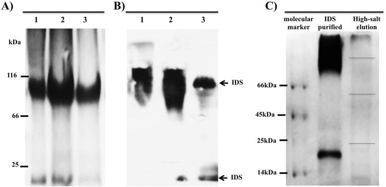
Iduronate-2-sulfatase (IDS) is a lysosomal enzyme involved in the metabolism of the glycosaminoglycans heparan (HS) and dermatan (DS) sulfate. Mutations on IDS gene produce mucopolysaccharidosis II (MPS II), characterized by the lysosomal accumulation of HS and DS, leading to severe damage of the central nervous system (CNS) and other tissues. In this study, we used a neurochemistry and proteomic approaches to identify the brain distribution of IDS and its interacting proteins on wild-type mouse brain. IDS immunoreactivity showed a robust staining throughout the entire brain, suggesting an intracellular reactivity in nerve cells and astrocytes By using affinity purification and mass spectrometry we identified 187 putative IDS partners-proteins, mainly hydrolases, cytoskeletal proteins, transporters, transferases, oxidoreductases, nucleic acid binding proteins, membrane traffic proteins, chaperons and enzyme modulators, among others. The interactions with some of these proteins were predicted by using bioinformatics tools and confirmed by co-immunoprecipitation analysis and Blue Native PAGE. In addition, we identified cytosolic IDS-complexes containing proteins from predicted highly connected nodes (hubs), with molecular functions including catalytic activity, redox balance, binding, transport, receptor activity and structural molecule activity. The proteins identified in this study would provide new insights about IDS physiological role into the CNS and its potential role in the brain-specific protein networks.

摘要

艾杜糖醛酸-2-硫酸酯酶(IDS)是一种溶酶体酶,参与糖胺聚糖硫酸乙酰肝素(HS)和硫酸皮肤素(DS)的代谢。IDS基因突变会导致黏多糖贮积症II型(MPS II),其特征是HS和DS在溶酶体中蓄积,导致中枢神经系统(CNS)和其他组织严重受损。在本研究中,我们采用神经化学和蛋白质组学方法来确定野生型小鼠大脑中IDS及其相互作用蛋白的分布。IDS免疫反应性在整个大脑中均显示出强烈染色,表明在神经细胞和星形胶质细胞中有细胞内反应性。通过亲和纯化和质谱分析,我们鉴定出187种假定的IDS伴侣蛋白,主要包括水解酶、细胞骨架蛋白、转运蛋白、转移酶、氧化还原酶、核酸结合蛋白、膜运输蛋白、分子伴侣和酶调节剂等。利用生物信息学工具预测了其中一些蛋白的相互作用,并通过免疫共沉淀分析和蓝色非变性聚丙烯酰胺凝胶电泳进行了证实。此外,我们鉴定出了含有来自预测的高度连接节点(枢纽)蛋白的胞质IDS复合物,其分子功能包括催化活性、氧化还原平衡、结合、运输、受体活性和结构分子活性。本研究中鉴定出的蛋白将为IDS在中枢神经系统中的生理作用及其在大脑特异性蛋白网络中的潜在作用提供新的见解。

https://cdn.ncbi.nlm.nih.gov/pmc/blobs/b0a4/6517578/6a2655505ede/gr1.jpg

文献AI研究员

20分钟写一篇综述,助力文献阅读效率提升50倍。

立即体验

用中文搜PubMed

大模型驱动的PubMed中文搜索引擎

马上搜索

文档翻译

学术文献翻译模型,支持多种主流文档格式。

立即体验