Yamamichi Gaku, Nakata Wataru, Tsujimura Go, Tsujimoto Yuichi, Nin Mikio, Tsujihata Masao
Department of Urology, Osaka Rosai Hospital, Osaka, Japan.
Urol Case Rep. 2019 May 2;25:100902. doi: 10.1016/j.eucr.2019.100902. eCollection 2019 Jul.
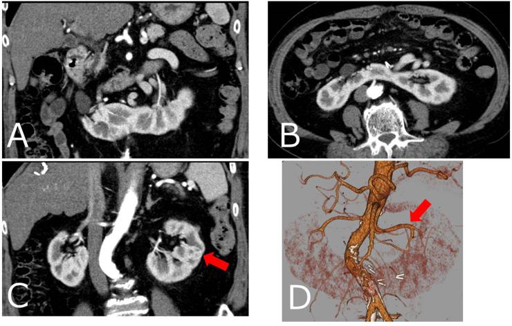
Horseshoe kidney is one of the most common congenital renal fusion anomalies and the incidence of renal cell carcinoma in horseshoe kidney is predicted to be approximately 5.2/100000 individuals. Because horseshoe kidney merges malformations and vascular changes, open surgery is the standard for treatment. There are no reports of robot-assisted partial nephrectomy (RAPN) for renal cell carcinoma in horseshoe kidney. We describe for the first time the safety and the utility of RAPN in a horseshoe kidney with renal cell carcinoma.
马蹄肾是最常见的先天性肾融合异常之一,据预测马蹄肾中肾细胞癌的发病率约为每10万人中有5.2例。由于马蹄肾合并有畸形和血管改变,开放手术是治疗的标准方法。目前尚无关于马蹄肾肾细胞癌机器人辅助部分肾切除术(RAPN)的报道。我们首次描述了RAPN在马蹄肾合并肾细胞癌中的安全性和实用性。