Suppr超能文献

纤维性肠系膜结核的多模态成像

Multimodal imaging of fibrosing mesenteric tuberculosis.

作者信息

Rajendran Harikrishna, Razek Ahmed Abdel Khalek Abdel, Abubacker Shefeek

机构信息

Radiology Division, New Ahmadi Hospital, Kuwait Oil Company (KOC), Kuwait.

Department of Diagnostic Radiology, Mansoura Faculty of Medicine, Mansoura 13551, Egypt.

出版信息

Radiol Case Rep. 2019 May 23;14(8):920-925. doi: 10.1016/j.radcr.2019.03.026. eCollection 2019 Aug.

Abstract

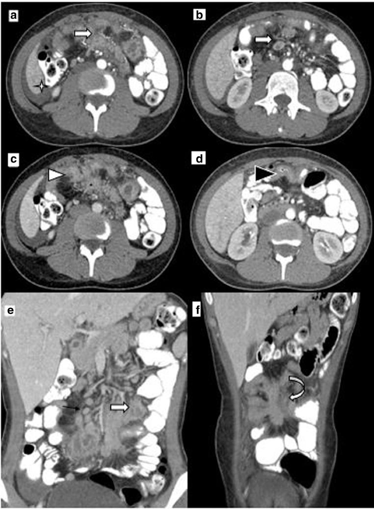
This article presents fibrosing mesenteric tuberculosis in a 19-year-old Arab boy who presented with weight loss, fever, abdominal pain, and distension. Abdominal contrast enhanced computed tomography (CECT) was performed which showed large infiltrative ill-defined mesenteric-based enhancing soft tissue phlegmonous mass with surrounding desmoplastic reaction causing retraction-kinking of small bowel loops associated with central necrotic mesenteric lymph nodes, multifocal small bowel wall thickening, and ascites. Abdominal tuberculosis is a diagnostic challenge particularly if pulmonary tuberculosis is absent as in this case. CT appears to be the modality of choice if clinical and epidemiological suspicion is high in order to ensure early treatment for a favorable outcome.

摘要

本文介绍了一名19岁阿拉伯男孩的纤维性肠系膜结核,该男孩出现体重减轻、发热、腹痛和腹胀症状。进行了腹部增强计算机断层扫描(CECT),结果显示有一个大的浸润性、边界不清、以肠系膜为基底的强化软组织蜂窝状肿块,周围有促纤维增生反应,导致小肠袢回缩扭结,伴有中央坏死的肠系膜淋巴结、多灶性小肠壁增厚和腹水。腹部结核是一个诊断难题,特别是在像本例这样没有肺结核的情况下。如果临床和流行病学怀疑度高,CT似乎是首选的检查方式,以确保早期治疗获得良好结果。

https://cdn.ncbi.nlm.nih.gov/pmc/blobs/001b/6536619/7cff2e713d24/gr1.jpg

文献AI研究员

20分钟写一篇综述,助力文献阅读效率提升50倍。

立即体验

用中文搜PubMed

大模型驱动的PubMed中文搜索引擎

马上搜索

文档翻译

学术文献翻译模型,支持多种主流文档格式。

立即体验