Schicchi Nicolò, Tiberi Michela, Fogante Marco, Andolfi Marco, Giovagnoni Andrea, Refai Majed
Radiology Department, Azienda Ospedaliero-Universitaria Ospedali Riuniti, Via Conca 71, Ancona 60126, Italy.
Thoracic Surgery Department, Azienda Ospedaliero-Universitaria Ospedali Riuniti, Via Conca 71, Ancona 60126, Italy.
Radiol Case Rep. 2019 May 30;14(8):956-961. doi: 10.1016/j.radcr.2019.05.020. eCollection 2019 Aug.
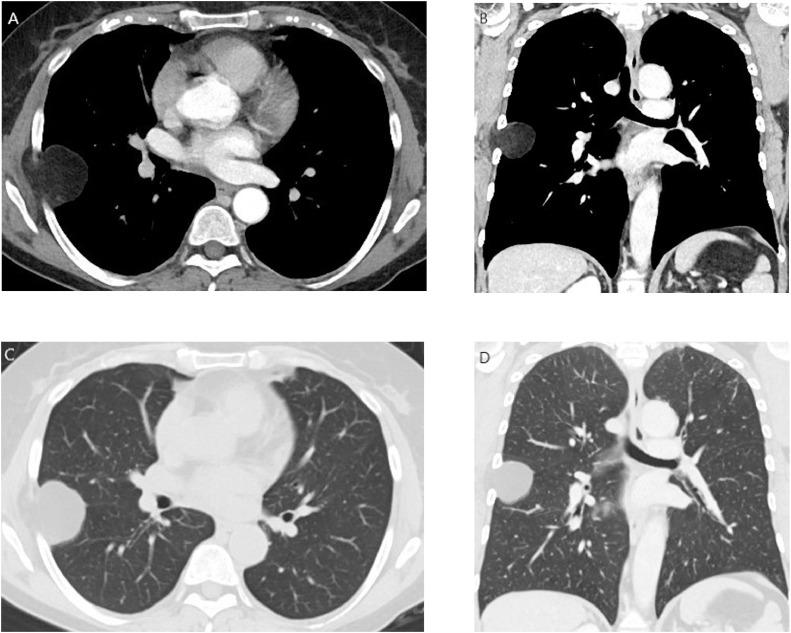
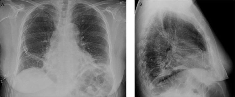
Lipoma is the most frequent benign soft-tissue tumor. It originates from fat cells. According to position, it is distinguished in superficial, typically subcutaneous lipoma, or deep, such as intramuscular lipoma. This latter form is infrequently and may resemble well-differentiated liposarcoma. For this reason, early radiological detection and characterization are necessary to obtain a wide complete resection and histopathologic evaluation to differentiate benign from malign lesions. We report an extremely rare case of an intrathoracic intramuscular lipoma of the chest wall detect and characterize with chest X-ray and computed tomography examinations, resected with thoracoscopic intervention and confirmed with histopathologic analysis.
脂肪瘤是最常见的良性软组织肿瘤。它起源于脂肪细胞。根据位置,可分为浅表性脂肪瘤,通常为皮下脂肪瘤,或深部脂肪瘤,如肌内脂肪瘤。后一种类型较为少见,可能类似于高分化脂肪肉瘤。因此,早期进行放射学检测和特征分析对于实现广泛的完整切除以及进行组织病理学评估以区分良性和恶性病变是必要的。我们报告了一例极其罕见的胸壁胸内肌内脂肪瘤病例,通过胸部X线和计算机断层扫描检查进行检测和特征分析,经胸腔镜干预切除,并经组织病理学分析确诊。