Suppr超能文献

对侧髂内动脉有意闭塞后行血管内动脉瘤修复术并发急性睾丸缺血

Acute Testicular Ischaemia Following Endovascular Aneurysm Repair on the Opposite Side to Intentional Internal Iliac Artery Occlusion.

作者信息

Kontopodis Nikolaos, Kafetzakis Alexandros, Kozana Androniki, Tzirakis Konstantinos, Peteinarakis Ioannis, Ioannou Christos V

机构信息

Vascular Surgery Unit, Department of Cardiac, Thoracic and Vascular Surgery, University of Crete Medical School, Heraklion, Crete, Greece.

Department of Medical Imaging, University of Crete Medical School, Heraklion, Crete, Greece.

出版信息

EJVES Short Rep. 2019 May 23;43:28-32. doi: 10.1016/j.ejvssr.2019.04.005. eCollection 2019.

Abstract

INTRODUCTION

Testicular ischaemia is a potential complication after endovascular aneurysm repair (EVAR), which has only rarely been reported in the literature. This is the report of a patient who presented with acute testicular ischaemia in the immediate post-EVAR period.

REPORT

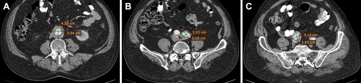
A 65 year old patient underwent EVAR for an aortic and bilateral iliac aneurysms. During the procedure, the right internal iliac artery was intentionally occluded to facilitate treatment of the common iliac aneurysm; however, the left internal iliac artery was preserved. The procedure was uneventful. On the second post-operative day the patient gradually developed symptoms of acute left testicular ischaemia. Clinical and ultrasonographic findings constituted the bases of diagnosis and the patient received conservative treatment with gradual improvement. To the authors' knowledge, this is the ninth case of testicular ischaemia after endovascular aneurysm repair reported in the literature.

CONCLUSION

Testicular ischaemia, although rare, is a possible complication post-EVAR. Acute and chronic testicular damage found in association with an abdominal aortic aneurysm or its treatment has not been well studied in the literature and therefore may be under reported.

摘要

引言

睾丸缺血是血管内动脉瘤修复术(EVAR)后的一种潜在并发症,在文献中仅有极少报道。本文报告了1例在EVAR术后即刻出现急性睾丸缺血的患者。

病例报告

一名65岁患者因腹主动脉及双侧髂动脉瘤接受了EVAR手术。术中,为便于治疗髂总动脉瘤,右侧髂内动脉被有意闭塞;然而,左侧髂内动脉得以保留。手术过程顺利。术后第二天,患者逐渐出现急性左侧睾丸缺血症状。临床及超声检查结果构成诊断依据,患者接受保守治疗后症状逐渐改善。据作者所知,这是文献报道的第9例血管内动脉瘤修复术后睾丸缺血病例。

结论

睾丸缺血虽罕见,但为EVAR术后可能出现的并发症。与腹主动脉瘤及其治疗相关的急慢性睾丸损伤在文献中尚未得到充分研究,因此可能存在报道不足的情况。

https://cdn.ncbi.nlm.nih.gov/pmc/blobs/f10d/6543130/d29409244aff/gr1.jpg

相似文献

1
Acute Testicular Ischaemia Following Endovascular Aneurysm Repair on the Opposite Side to Intentional Internal Iliac Artery Occlusion.
EJVES Short Rep. 2019 May 23;43:28-32. doi: 10.1016/j.ejvssr.2019.04.005. eCollection 2019.
3
Acute Global Testicular Infarction Post-EVAR from Cholesterol Embolisation can be Mistaken for Torsion.
EJVES Short Rep. 2017 Apr 4;35:11-15. doi: 10.1016/j.ejvssr.2017.03.002. eCollection 2017.
4
Reentry device aided endovascular aneurysm repair in patients with abdominal aortic aneurysm and unilateral iliac artery occlusion.
Ann Vasc Surg. 2014 Oct;28(7):1800.e1-7. doi: 10.1016/j.avsg.2014.05.008. Epub 2014 Jun 6.
5
Fenestrated and Branched Thoraco-abdominal Endografting after Previous Open Abdominal Aortic Repair.
Eur J Vasc Endovasc Surg. 2020 Dec;60(6):843-852. doi: 10.1016/j.ejvs.2020.07.071. Epub 2020 Aug 24.
6
Predisposing Factors for Migration of the Iliac Limb and Reintervention after Endovascular Abdominal Aortic Aneurysm Repair.
Ann Vasc Surg. 2019 Aug;59:91-101. doi: 10.1016/j.avsg.2019.01.007. Epub 2019 Apr 19.
8
Acute global testicular infarction: A rare and important complication after endovascular abdominal aortic aneurysm repair.
J Vasc Surg Cases Innov Tech. 2024 May 8;10(4):101522. doi: 10.1016/j.jvscit.2024.101522. eCollection 2024 Aug.
9
Endovascular repair of abdominal aortic aneurysm: an evidence-based analysis.
Ont Health Technol Assess Ser. 2002;2(1):1-46. Epub 2002 Mar 1.
10
Hybrid Endovascular Aortic Aneurysm Repair: Preservation of Pelvic Perfusion with External to Internal Iliac Artery Bypass.
Ann Vasc Surg. 2017 Jul;42:162-168. doi: 10.1016/j.avsg.2016.10.052. Epub 2017 Mar 8.

引用本文的文献

1
Acute global testicular infarction: A rare and important complication after endovascular abdominal aortic aneurysm repair.
J Vasc Surg Cases Innov Tech. 2024 May 8;10(4):101522. doi: 10.1016/j.jvscit.2024.101522. eCollection 2024 Aug.
2
Segmental testicular infarct with an associated testicular artery aneurysm: Case report of a rare clinical entity.
Radiol Case Rep. 2022 Apr 13;17(6):2150-2154. doi: 10.1016/j.radcr.2022.02.068. eCollection 2022 Jun.
3
Testicular ischaemia: one of the most unknown of post-EVAR complications.
BMJ Case Rep. 2021 May 11;14(5):e240999. doi: 10.1136/bcr-2020-240999.

本文引用的文献

2
Acute Global Testicular Infarction Post-EVAR from Cholesterol Embolisation can be Mistaken for Torsion.
EJVES Short Rep. 2017 Apr 4;35:11-15. doi: 10.1016/j.ejvssr.2017.03.002. eCollection 2017.
3
Post-endovascular aneurysm repair (EVAR) testicular ischemia: A rare complication.
Urol Case Rep. 2017 Jul 8;14:35-37. doi: 10.1016/j.eucr.2017.06.013. eCollection 2017 Sep.
4
Testicular Embolism After Endovascular Aneurysm Repair: A Rare Complication of Endovascular Repair of Abdominal Aortic Aneurysms.
Cardiovasc Intervent Radiol. 2015 Dec;38(6):1674-5. doi: 10.1007/s00270-015-1153-9. Epub 2015 Jun 24.
5
6
Embolic complications after endovascular repair of abdominal aortic aneurysms.
Surg Today. 2014 Oct;44(10):1893-9. doi: 10.1007/s00595-013-0795-y. Epub 2013 Nov 26.
7
Testicular ischemia following endovascular infrarenal abdominal aortic aneurysm repair: a rare complication.
J Vasc Interv Radiol. 2010 Oct;21(10):1603-4. doi: 10.1016/j.jvir.2010.05.026.
8
9
Testicular infarction: a rare complication of endovascular aneurysm repair treatment for aortoiliac aneurysm.
J Vasc Surg. 2009 Dec;50(6):1487-9. doi: 10.1016/j.jvs.2009.07.018. Epub 2009 Sep 26.

文献AI研究员

20分钟写一篇综述,助力文献阅读效率提升50倍。

立即体验

用中文搜PubMed

大模型驱动的PubMed中文搜索引擎

马上搜索

文档翻译

学术文献翻译模型,支持多种主流文档格式。

立即体验