Di Giuliano Francesca, Picchi Eliseo, Scaggiante Jacopo, Ferrante Paolo, Misciasci Teresa, Da Ros Valerio, Pistolese Chiara Adriana, Floris Roberto, Garaci Francesco
Diagnostic Imaging Unit, Policlinico Tor Vergata, Department of Biomedicine and Prevention, University of Rome Tor Vergata, Rome, Italy.
Neuroradiology Unit, Policlinico Tor Vergata, Department of Biomedicine and Prevention, University of Rome Tor Vergata, Rome, Italy.
Radiol Case Rep. 2019 May 31;14(8):971-976. doi: 10.1016/j.radcr.2019.05.024. eCollection 2019 Aug.
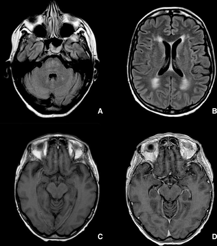
Graft-versus-host disease (GVHD) is an immune triggered process leading to severe immune dysregulation and organ dysfunction until death and it is one of the worst medical complications after a transplant. Patients with GVHD may have several neurological alterations: during this acute severe phase there is coexistence of various and nonspecific neurological symptoms. We are reporting a case of a 53 year old woman with severe GVHD after bone marrow transplant with acute neurological signs and symptoms. MRI study showed findings consistent with Posterior reversible encephalopathy syndrome and Wernicke encephalopathy.
移植物抗宿主病(GVHD)是一种由免疫触发的过程,会导致严重的免疫失调和器官功能障碍,直至死亡,它是移植后最严重的医学并发症之一。患有移植物抗宿主病的患者可能会出现多种神经学改变:在这个急性重症阶段,会同时存在各种非特异性神经症状。我们报告了一例53岁女性患者,在骨髓移植后发生严重移植物抗宿主病,并伴有急性神经体征和症状。磁共振成像(MRI)研究显示的结果与后部可逆性脑病综合征和韦尼克脑病相符。