School of Biomedical Engineering and Imaging Sciences, King's College London, St. Thomas' Hospital, London, United Kingdom.
MR Research Collaborations, Siemens Healthcare Limited, Frimley, United Kingdom.
Magn Reson Med. 2019 Nov;82(5):1617-1630. doi: 10.1002/mrm.27830. Epub 2019 Jun 14.
To enable intrinsic and efficient fat suppression in 3D Cartesian fast interrupted steady-state (FISS) acquisitions.
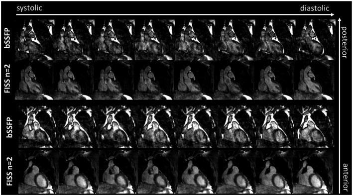
A periodic interruption of the balanced steady-state free precession (bSSFP) readout train (FISS) has been previously proposed for 2D radial imaging. FISS modulates the bSSFP frequency response pattern in terms of shape, width and location of stop band (attenuated transverse magnetization). Depending on the FISS interruption rate, the stop band characteristic can be exploited to suppress the fat spectrum at 3.5 ppm, thus yielding intrinsic fat suppression. For conventional 2D Cartesian sampling, ghosting/aliasing artifacts along phase-encoding direction have been reported. In this work, we propose to extend FISS to 3D Cartesian imaging and report countermeasures for the previously observed ghosting/aliasing artifacts. Key parameters (dummy prepulses, spatial resolution, and interruption rate) are investigated to optimize fat suppression and image quality. FISS behavior is examined using extended phase graph simulations to recommend parametrizations which are validated in phantom and in vivo measurements on a 1.5T MRI scanner for 3 applications: upper thigh angiography, abdominal imaging, and free-running 5D CINE.
Using optimized parameters, 3D Cartesian FISS provides homogeneous and consistent fat suppression for all 3 applications. In upper thigh angiography, vessel structures can be recovered in FISS that are obscured in bSSFP. Fat suppression in free-running cardiac CINE resulted in less fat-related motion aliasing and yielded better image quality.
3D Cartesian FISS is feasible and offers homogeneous intrinsic fat suppression for selected imaging parameters without the need for dedicated preparation pulses, making it a promising candidate for free-running fat-suppressed imaging.
在 3D 笛卡尔快速中断稳态(FISS)采集时实现内在且高效的脂肪抑制。
先前已经提出了在 2D 径向成像中周期性中断平衡稳态自由进动(bSSFP)读取序列(FISS)的方法。FISS 调制 bSSFP 频率响应模式,包括形状、带宽和阻带(衰减横向磁化)的位置。根据 FISS 中断率,可以利用阻带特性来抑制 3.5ppm 处的脂肪谱,从而实现内在的脂肪抑制。对于传统的 2D 笛卡尔采样,已经报道了相位编码方向上的重影/混叠伪影。在这项工作中,我们提出将 FISS 扩展到 3D 笛卡尔成像,并报告针对先前观察到的重影/混叠伪影的对策。关键参数(虚拟预脉冲、空间分辨率和中断率)进行了研究,以优化脂肪抑制和图像质量。使用扩展相位图模拟来检查 FISS 行为,以推荐在 1.5T MRI 扫描仪上的幻影和体内测量中验证的参数化方案,用于 3 种应用:大腿上部血管造影、腹部成像和自由运行的 5D CINE。
使用优化的参数,3D 笛卡尔 FISS 为所有 3 种应用提供了均匀且一致的脂肪抑制。在大腿上部血管造影中,可以在 FISS 中恢复在 bSSFP 中被遮挡的血管结构。自由运行心脏 CINE 中的脂肪抑制导致较少的脂肪相关运动混叠,并产生更好的图像质量。
3D 笛卡尔 FISS 是可行的,对于选定的成像参数提供均匀的内在脂肪抑制,而无需专用的准备脉冲,是自由运行脂肪抑制成像的有前途的候选者。