Suppr超能文献

一名老年肺癌患者出现的与帕博利珠单抗相关的细支气管炎需要使用吸入性糖皮质激素、红霉素和支气管扩张剂进行治疗。

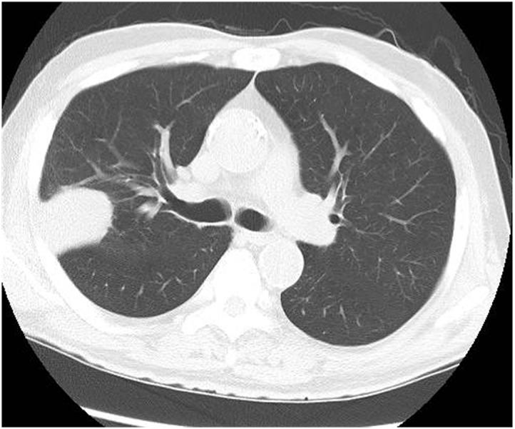
Pembrolizumab-associated bronchiolitis in an elderly lung cancer patient required the treatment with an inhaled corticosteroid, erythromycin and bronchodilators.

作者信息

Yamaya Takafumi, Hee Hwang Moon, Aoyagi Takayuki, Ogimoto Tatsuya, Yamada Naoki, Ishikawa Ryoichi, Nakai Erika, Nishi Kenta, Yoshimura Chie, Nishizaka Yasuo

机构信息

Department of Respiratory Medicine, Japanese Red Cross Osaka Hospital, Osaka City, Japan.

出版信息

Respir Med Case Rep. 2019 May 27;28:100866. doi: 10.1016/j.rmcr.2019.100866. eCollection 2019.

Abstract

Immune checkpoint inhibitors (ICIs) have been used to treat lung cancer. Several types of ICI-related interstitial lung diseases have been reported, including organizing pneumonia, non-specific interstitial pneumonia, and diffuse alveolar damage. However, pembrolizumab-associated bronchiolitis requiring treatment for persistent cough has not yet been reported. Here, we describe a patient who developed dry cough while being treated with pembrolizumab for lung adenocarcinoma. Radiography and lung biopsy findings indicated bronchiolitis. His cough improved after the discontinuation of pembrolizumab and treatment with erythromycin, an inhaled corticosteroid, a long-acting muscarinic antagonist, and a long-acting β agonist.

摘要

免疫检查点抑制剂(ICIs)已被用于治疗肺癌。已有多种ICI相关的间质性肺疾病被报道,包括机化性肺炎、非特异性间质性肺炎和弥漫性肺泡损伤。然而,尚未有关于需要治疗持续性咳嗽的帕博利珠单抗相关细支气管炎的报道。在此,我们描述一名在接受帕博利珠单抗治疗肺腺癌时出现干咳的患者。影像学和肺活检结果显示为细支气管炎。在停用帕博利珠单抗并接受红霉素、吸入性糖皮质激素、长效毒蕈碱拮抗剂和长效β激动剂治疗后,他的咳嗽有所改善。

https://cdn.ncbi.nlm.nih.gov/pmc/blobs/d74e/6557744/e96e21dabecb/gr1.jpg

文献AI研究员

20分钟写一篇综述,助力文献阅读效率提升50倍。

立即体验

用中文搜PubMed

大模型驱动的PubMed中文搜索引擎

马上搜索

文档翻译

学术文献翻译模型,支持多种主流文档格式。

立即体验