Suppr超能文献

猫的胆脂瘤

Cholesteatoma in a cat.

作者信息

Alexander Akash, Mahoney Paul, Scurrell Emma, Baines Stephen

机构信息

Willows Veterinary Centre, Solihull, UK.

IDEXX Telemedicine, Wetherby, UK.

出版信息

JFMS Open Rep. 2019 May 10;5(1):2055116919848086. doi: 10.1177/2055116919848086. eCollection 2019 Jan-Jun.

Abstract

CASE SUMMARY

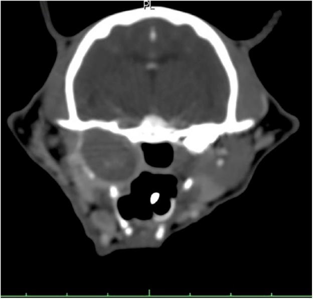
A 14-year-old neutered female Burmese cat was referred for investigation of a caudal oropharyngeal mass. CT showed a thin walled cyst-like structure filling and expanding from the right tympanic bulla. Histopathology showed fragments of mildly dysplastic squamous epithelium and aggregates of keratin. These findings were considered consistent with a diagnosis of cholesteatoma.

RELEVANCE AND NOVEL INFORMATION

To the best of our knowledge, this is the first reported case of a cholesteatoma in a cat. Cholesteatoma should be considered a differential diagnosis for cats presenting with a caudal oropharyngeal mass, a history of chronic ear disease or a history of previous, surgically managed middle ear disease. Advanced imaging and biopsies should be considered important in the diagnosis of these lesions.

摘要

病例摘要

一只14岁已绝育的缅甸母猫因尾侧口咽部肿物接受检查。CT显示一个薄壁囊肿样结构,从右鼓室填充并扩张。组织病理学显示轻度发育异常的鳞状上皮碎片和角蛋白聚集体。这些发现被认为与胆脂瘤的诊断一致。

相关性及新信息

据我们所知,这是首例猫胆脂瘤的报道病例。对于出现尾侧口咽部肿物、有慢性耳部疾病史或既往有中耳手术治疗史的猫,应将胆脂瘤视为鉴别诊断之一。在这些病变的诊断中,先进的影像学检查和活检应被视为重要手段。

https://cdn.ncbi.nlm.nih.gov/pmc/blobs/7fb2/6537255/3b1d57a8c366/10.1177_2055116919848086-fig1.jpg

相似文献

1
Cholesteatoma in a cat.
JFMS Open Rep. 2019 May 10;5(1):2055116919848086. doi: 10.1177/2055116919848086. eCollection 2019 Jan-Jun.
2
MRI of a middle ear cholesteatoma in a cat.
Vet Radiol Ultrasound. 2022 Sep;63(5):E16-E20. doi: 10.1111/vru.13137. Epub 2022 Aug 15.
3
Middle ear cholesteatoma in two cats diagnosed with the aid of video-otoscopy.
JFMS Open Rep. 2023 Sep 28;9(2):20551169231196528. doi: 10.1177/20551169231196528. eCollection 2023 Jul-Dec.
4
Cholesteatoma and meningoencephalitis in a dog with chronic otitis externa.
Vet Clin Pathol. 2015 Mar;44(1):157-63. doi: 10.1111/vcp.12212. Epub 2014 Nov 10.
6
Computed tomography features of middle ear cholesteatoma in dogs.
Vet Radiol Ultrasound. 2010 Jul-Aug;51(4):374-9. doi: 10.1111/j.1740-8261.2010.01682.x.
7
Cholesterol granuloma associated with otitis media in a cat.
J Vet Diagn Invest. 2013 Jul;25(4):515-8. doi: 10.1177/1040638713488369. Epub 2013 May 14.
8
Clinical features, MRI findings and outcome of a primary extranodal B-cell lymphoma affecting the tympanic bulla treated with chemotherapy alone.
JFMS Open Rep. 2023 Dec 22;9(2):20551169231214441. doi: 10.1177/20551169231214441. eCollection 2023 Jul-Dec.

引用本文的文献

1
Focal Dorsal Enhancement of the Tympanic Bulla: An Early Indicator in Feline Otitis Media.
Vet Radiol Ultrasound. 2025 Mar;66(2):e70021. doi: 10.1111/vru.70021.
2
Evaluation of endoscopic-assisted feline lateral bulla osteotomy: a cadaveric study.
J Feline Med Surg. 2023 Oct;25(10):1098612X231200375. doi: 10.1177/1098612X231200375.
3
Middle ear cholesteatoma in two cats diagnosed with the aid of video-otoscopy.
JFMS Open Rep. 2023 Sep 28;9(2):20551169231196528. doi: 10.1177/20551169231196528. eCollection 2023 Jul-Dec.
4
Cholesterol granuloma in the choroid plexus of a cat.
BMC Vet Res. 2022 Jun 27;18(1):249. doi: 10.1186/s12917-022-03358-6.
6
Chronic Otitis in Cats: Clinical management of primary, predisposing and perpetuating factors.
J Feline Med Surg. 2021 May;23(5):433-446. doi: 10.1177/1098612X211007072.

本文引用的文献

2
Diagnosis and Management of Cholesteatomas in Dogs.
Vet Clin North Am Small Anim Pract. 2016 Jul;46(4):623-34. doi: 10.1016/j.cvsm.2016.01.002. Epub 2016 Mar 10.
3
Updates and knowledge gaps in cholesteatoma research.
Biomed Res Int. 2015;2015:854024. doi: 10.1155/2015/854024. Epub 2015 Mar 18.
4
Cholesterol granuloma associated with otitis media in a cat.
J Vet Diagn Invest. 2013 Jul;25(4):515-8. doi: 10.1177/1040638713488369. Epub 2013 May 14.
5
Middle ear cholesteatoma in 11 dogs.
Can Vet J. 2011 Jun;52(6):631-6.
6
Computed tomography features of middle ear cholesteatoma in dogs.
Vet Radiol Ultrasound. 2010 Jul-Aug;51(4):374-9. doi: 10.1111/j.1740-8261.2010.01682.x.
7
Pathogenesis of middle ear cholesteatoma: a new model of experimentally induced cholesteatoma in Mongolian gerbils.
Am J Pathol. 2010 Jun;176(6):2602-6. doi: 10.2353/ajpath.2010.091182. Epub 2010 Apr 22.
8
Aural cholesteatoma in twenty dogs.
Vet Surg. 2008 Dec;37(8):763-70. doi: 10.1111/j.1532-950X.2008.00455.x.
9
Massive cholesteatoma of the frontal sinus: case report and review of the literature.
Auris Nasus Larynx. 2007 Sep;34(3):387-92. doi: 10.1016/j.anl.2006.11.011. Epub 2007 Feb 2.
10
Cerebral cholesterol granuloma in a cat.
J Vet Intern Med. 2006 Sep-Oct;20(5):1241-4. doi: 10.1892/0891-6640(2006)20[1241:ccgiac]2.0.co;2.

文献AI研究员

20分钟写一篇综述,助力文献阅读效率提升50倍。

立即体验

用中文搜PubMed

大模型驱动的PubMed中文搜索引擎

马上搜索

文档翻译

学术文献翻译模型,支持多种主流文档格式。

立即体验