Suppr超能文献

雌二醇在卵巢切除术后肾脏内分泌功能紊乱中的潜在作用。

Potential role of estradiol in ovariectomy-induced derangement of renal endocrine functions.

机构信息

a Department of Medical Physiology, Faculty of Medicine , Taibah University , Madinah , Saudi Arabia.

b Department of Medical Physiology, Faculty of Medicine , Mansoura University , Mansoura , Egypt.

出版信息

Ren Fail. 2019 Nov;41(1):507-520. doi: 10.1080/0886022X.2019.1625787.

Abstract

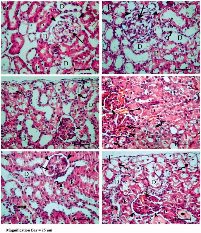
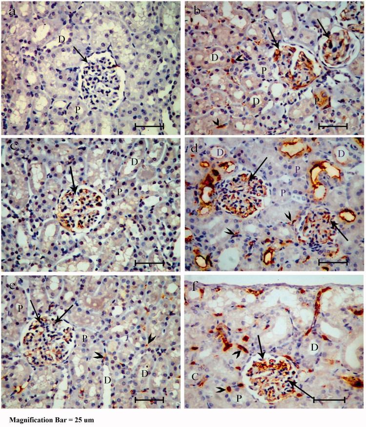
Menopause is an important physiological event associated with structural and functional changes in the kidneys. An animal model of bilateral ovariectomy was used to study the effects of estrogen depletion, replacement and antiestrogen on renal structure and endocrine function. Sixty female rats were divided into six groups; group I was the control group, the remaining five groups underwent ovariectomy: group II received no treatment. The other groups received estradiol in group III, tamoxifen in group IV, estradiol followed by tamoxifen in group V and tamoxifen followed by estradiol in group VI. Serum creatinine, blood urea nitrogen, and endocrine functions of kidney were measured. Tissue samples were examined both microscopically for beta estrogen receptors and ultrastructurally for cell changes. Groups II, IV & VI showed a significant increase in creatinine, blood urea nitrogen, renal malondialdehyde, renal erythropoietin, plasma renin and plasma prostaglandin E2 and a significant decrease in renal antioxidants and serum vitamin D3. Groups III &V had a significant decrease in creatinine, blood urea nitrogen, renal malondialdehyde and renal erythropoietin with an increase in renal antioxidants, plasma prostaglandin E2 and serum vitamin D3. Histopathological and ultrastructural examinations revealed atrophic tubular changes in group II. The changes were less marked in groups III &V and more extensive in groups IV & VI. Estrogen receptor beta staining showed progressively increased expression in the absence of estrogen. Structural and most endocrine functions of the kidney were significantly affected by estradiol deficiency. Estradiol replacement exhibited a protective effect on renal tissue and endocrine functions.

摘要

绝经是与肾脏结构和功能变化相关的重要生理事件。采用双侧卵巢切除术动物模型研究雌激素耗竭、替代和抗雌激素对肾脏结构和内分泌功能的影响。将 60 只雌性大鼠分为 6 组;第 1 组为对照组,其余 5 组行卵巢切除术:第 2 组未行任何处理。第 3 组给予雌二醇,第 4 组给予他莫昔芬,第 5 组先给予雌二醇后给予他莫昔芬,第 6 组先给予他莫昔芬后给予雌二醇。检测血清肌酐、血尿素氮和肾脏内分泌功能。组织学标本行β雌激素受体显微镜检查和细胞超微结构变化检查。第 2、4、6 组肌酐、血尿素氮、肾丙二醛、肾促红细胞生成素、血浆肾素和血浆前列腺素 E2 显著升高,肾抗氧化剂和血清维生素 D3 显著降低。第 3、5 组肌酐、血尿素氮、肾丙二醛和肾促红细胞生成素显著降低,肾抗氧化剂、血浆前列腺素 E2 和血清维生素 D3 增加。组织病理学和超微结构检查显示第 2 组肾小管萎缩性改变。第 3、5 组变化不明显,第 4、6 组变化更明显。雌激素受体β染色显示在缺乏雌激素的情况下表达逐渐增加。雌激素缺乏显著影响肾脏结构和大多数内分泌功能。雌二醇替代对肾脏组织和内分泌功能具有保护作用。

https://cdn.ncbi.nlm.nih.gov/pmc/blobs/c20c/6586115/6e6396e8927e/IRNF_A_1625787_F0001_C.jpg

相似文献

1
Potential role of estradiol in ovariectomy-induced derangement of renal endocrine functions.
Ren Fail. 2019 Nov;41(1):507-520. doi: 10.1080/0886022X.2019.1625787.
2
A high dose of estrogen can improve renal ischemia-reperfusion-induced pulmonary injury in ovariectomized female rats.
Can J Physiol Pharmacol. 2021 Dec;99(12):1241-1252. doi: 10.1139/cjpp-2021-0130. Epub 2021 Nov 10.
3
Protective effects of estrogen and bortezomib in kidney tissue of post-menopausal rats: an ultrastructural study.
Ren Fail. 2016 Aug;38(7):1129-35. doi: 10.1080/0886022X.2016.1184958. Epub 2016 May 19.
4
17β-Estradiol and vitamin E modulates oxidative stress-induced kidney toxicity in diabetic ovariectomized rat.
Biol Trace Elem Res. 2011 Dec;144(1-3):821-31. doi: 10.1007/s12011-011-9025-x. Epub 2011 Apr 12.
6
Estrogen is renoprotective via a nonreceptor-dependent mechanism after cardiac arrest in vivo.
Anesthesiology. 2010 Feb;112(2):395-405. doi: 10.1097/ALN.0b013e3181c98da9.
8
Estrogen and tamoxifen modulate cerebrovascular tone in ovariectomized female rats.
Hypertension. 2004 Jul;44(1):78-82. doi: 10.1161/01.HYP.0000131659.27081.19. Epub 2004 May 24.
9
Estrogen promotes microvascular pathology in female stroke-prone spontaneously hypertensive rats.
Am J Physiol Endocrinol Metab. 2003 Jul;285(1):E232-9. doi: 10.1152/ajpendo.00029.2003. Epub 2003 Apr 1.

引用本文的文献

1
Protective effects of long-term nitrate administration against ovariectomy-induced kidney dysfunction in rats.
Pharmacol Rep. 2023 Aug;75(4):979-994. doi: 10.1007/s43440-023-00499-9. Epub 2023 Jun 1.
2
Role of sex hormones in diabetic nephropathy.
Front Endocrinol (Lausanne). 2023 Apr 18;14:1135530. doi: 10.3389/fendo.2023.1135530. eCollection 2023.
4
Age- and sex-specific reference intervals for blood urea nitrogen in Chinese general population.
Sci Rep. 2021 May 12;11(1):10058. doi: 10.1038/s41598-021-89565-x.
5
Chlorogenic acid abates oxido-inflammatory and apoptotic responses in the liver and kidney of Tamoxifen-treated rats.
Toxicol Res (Camb). 2021 Feb 13;10(2):345-353. doi: 10.1093/toxres/tfab002. eCollection 2021 Mar.
6
Estrogen and estrogen receptors in kidney diseases.
Ren Fail. 2021 Jan 1;43(1):619-642. doi: 10.1080/0886022X.2021.1901739.
7
Nuclear receptors in the kidney during health and disease.
Mol Aspects Med. 2021 Apr;78:100935. doi: 10.1016/j.mam.2020.100935. Epub 2020 Nov 30.

本文引用的文献

3
Ultrastructural changes and nestin expression accompanying compensatory renal growth after unilateral nephrectomy in adult rats.
Int J Nephrol Renovasc Dis. 2017 Feb 21;10:61-76. doi: 10.2147/IJNRD.S121473. eCollection 2017.
4
Dietary zinc modifies diabetic-induced renal pathology in rats.
Ren Fail. 2017 Nov;39(1):246-257. doi: 10.1080/0886022X.2016.1256321. Epub 2016 Nov 24.
5
Recent Updates on the Proximal Tubule Renin-Angiotensin System in Angiotensin II-Dependent Hypertension.
Curr Hypertens Rep. 2016 Aug;18(8):63. doi: 10.1007/s11906-016-0668-z.
6
Renin-Angiotensin-Aldosterone System Inhibition Increases Podocyte Derivation from Cells of Renin Lineage.
J Am Soc Nephrol. 2016 Dec;27(12):3611-3627. doi: 10.1681/ASN.2015080877. Epub 2016 Apr 14.
7
Oxidant Mechanisms in Renal Injury and Disease.
Antioxid Redox Signal. 2016 Jul 20;25(3):119-46. doi: 10.1089/ars.2016.6665. Epub 2016 Apr 26.
8
The Expanding Complexity of Estrogen Receptor Signaling in the Cardiovascular System.
Circ Res. 2016 Mar 18;118(6):994-1007. doi: 10.1161/CIRCRESAHA.115.305376. Epub 2016 Jan 7.
10
Erythropoietin Synthesis in Renal Myofibroblasts Is Restored by Activation of Hypoxia Signaling.
J Am Soc Nephrol. 2016 Feb;27(2):428-38. doi: 10.1681/ASN.2014121184. Epub 2015 Jun 8.

文献AI研究员

20分钟写一篇综述,助力文献阅读效率提升50倍。

立即体验

用中文搜PubMed

大模型驱动的PubMed中文搜索引擎

马上搜索

文档翻译

学术文献翻译模型,支持多种主流文档格式。

立即体验