• 文献检索
  • 文档翻译
  • 深度研究
  • 学术资讯
  • Suppr Zotero 插件Zotero 插件
  • 邀请有礼
  • 套餐&价格
  • 历史记录
应用&插件
Suppr Zotero 插件Zotero 插件浏览器插件Mac 客户端Windows 客户端微信小程序
定价
高级版会员购买积分包购买API积分包
服务
文献检索文档翻译深度研究API 文档MCP 服务
关于我们
关于 Suppr公司介绍联系我们用户协议隐私条款
关注我们

Suppr 超能文献

核心技术专利:CN118964589B侵权必究
粤ICP备2023148730 号-1Suppr @ 2026

文献检索

告别复杂PubMed语法,用中文像聊天一样搜索,搜遍4000万医学文献。AI智能推荐,让科研检索更轻松。

立即免费搜索

文件翻译

保留排版,准确专业,支持PDF/Word/PPT等文件格式,支持 12+语言互译。

免费翻译文档

深度研究

AI帮你快速写综述,25分钟生成高质量综述,智能提取关键信息,辅助科研写作。

立即免费体验

犬布鲁氏菌感染的特征。

Characterization of Brucella canis infection in mice.

机构信息

Department of Veterinary Pathobiology, Texas A&M University, College of Veterinary Medicine, College Station, TX, United States of America.

Department of Veterinary Pathology & Poultry Diseases, College of Veterinary Medicine, University of Baghdad, Baghdad, Iraq.

出版信息

PLoS One. 2019 Jun 20;14(6):e0218809. doi: 10.1371/journal.pone.0218809. eCollection 2019.

DOI:10.1371/journal.pone.0218809
PMID:31220185
原文链接:https://pmc.ncbi.nlm.nih.gov/articles/PMC6586350/
Abstract

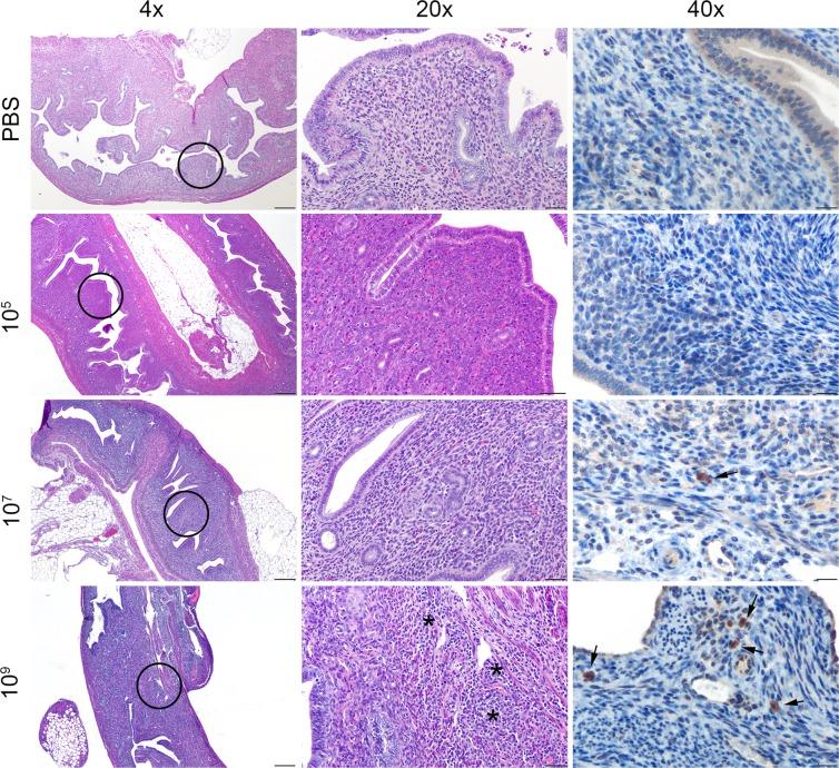
Canine brucellosis, caused by Brucella canis, is a disease of dogs and represents a public health concern as it can be transmitted to humans. Canine brucellosis is on the rise in the United States and there is currently no vaccine for use in dogs. Mice have been extensively utilized to investigate host-pathogen interactions and vaccine candidates for smooth Brucella species and could serve a similar role for studying B. canis. However, comparatively little is known about B. canis infection in mice. The objective of this study was to characterize the kinetics of colonization and pathogenicity of B. canis in mice in order to evaluate the mouse as a model for studying this pathogen. C57BL/6 mice were inoculated intraperitoneally with 105, 107, or 109 CFU of Brucella canis RM6/66 and euthanized 1-, 2-, 4-, 6-, 9-, and 12-weeks post-inoculation. B. canis induced splenomegaly in mice infected with 109 CFU at 1- and 2 weeks post-inoculation while no gross lesions were observed in other dose groups. Infection at the two higher doses resulted in dose-dependent granulomatous hepatitis and histiocytic infiltration of the spleen and mesenteric lymph nodes by 1-2 weeks. B. canis was cultured from the liver, spleen, uterus, bone marrow, lung, and kidney in all groups with colonization declining at a slow but steady rate throughout the experiment. Clearance was achieved by 9 weeks 105 CFU group and by 12 weeks in the 107 CFU group, while B. canis persisted in the spleen until 12 weeks in the highest dose group. Although B. canis does not demonstrate significant replication in C57BL/6 mice, it has the ability to establish an infection, induce splenomegaly, and persist for several weeks in multiple organs. Moreover, 1 x 107 CFU appears to be a suitable challenge dose for investigating vaccine safety.

摘要

犬布鲁氏菌病由犬布鲁氏菌引起,是一种犬类疾病,由于可能传染给人类,因此引起了公共卫生关注。犬布鲁氏菌病在美国呈上升趋势,目前尚无犬用疫苗。小鼠已被广泛用于研究光滑布鲁氏菌属的宿主-病原体相互作用和疫苗候选物,也可以在研究犬布鲁氏菌时发挥类似作用。然而,人们对犬布鲁氏菌感染小鼠的了解相对较少。本研究的目的是描述犬布鲁氏菌在小鼠体内的定殖和致病性动力学,以评估小鼠作为研究该病原体的模型。将 C57BL/6 小鼠经腹腔接种 105、107 或 109 CFU 的犬布鲁氏菌 RM6/66,分别在接种后 1、2、4、6、9 和 12 周安乐死。109 CFU 感染的小鼠在接种后 1 和 2 周出现脾肿大,而其他剂量组未观察到明显的大体病变。在两个较高剂量下,感染导致剂量依赖性的化脓性肝炎和脾和肠系膜淋巴结的组织细胞浸润,在 1-2 周时发生。在所有组中,均从肝、脾、子宫、骨髓、肺和肾中培养出犬布鲁氏菌,整个实验期间,定植率呈缓慢但稳定的下降趋势。105 CFU 组在 9 周时清除,107 CFU 组在 12 周时清除,而在最高剂量组中,犬布鲁氏菌在脾中持续存在至 12 周。虽然犬布鲁氏菌在 C57BL/6 小鼠中没有表现出明显的复制能力,但它有能力建立感染,引起脾肿大,并在多个器官中持续存在数周。此外,1×107 CFU 似乎是研究疫苗安全性的合适挑战剂量。

https://cdn.ncbi.nlm.nih.gov/pmc/blobs/8805/6586350/35d66c27ac7c/pone.0218809.g007.jpg
https://cdn.ncbi.nlm.nih.gov/pmc/blobs/8805/6586350/ab8125c05d10/pone.0218809.g001.jpg
https://cdn.ncbi.nlm.nih.gov/pmc/blobs/8805/6586350/e6c385aacb4c/pone.0218809.g002.jpg
https://cdn.ncbi.nlm.nih.gov/pmc/blobs/8805/6586350/3f2e42a1d644/pone.0218809.g003.jpg
https://cdn.ncbi.nlm.nih.gov/pmc/blobs/8805/6586350/641ea5c2b57d/pone.0218809.g004.jpg
https://cdn.ncbi.nlm.nih.gov/pmc/blobs/8805/6586350/875254652a08/pone.0218809.g005.jpg
https://cdn.ncbi.nlm.nih.gov/pmc/blobs/8805/6586350/353835c4dc51/pone.0218809.g006.jpg
https://cdn.ncbi.nlm.nih.gov/pmc/blobs/8805/6586350/35d66c27ac7c/pone.0218809.g007.jpg
https://cdn.ncbi.nlm.nih.gov/pmc/blobs/8805/6586350/ab8125c05d10/pone.0218809.g001.jpg
https://cdn.ncbi.nlm.nih.gov/pmc/blobs/8805/6586350/e6c385aacb4c/pone.0218809.g002.jpg
https://cdn.ncbi.nlm.nih.gov/pmc/blobs/8805/6586350/3f2e42a1d644/pone.0218809.g003.jpg
https://cdn.ncbi.nlm.nih.gov/pmc/blobs/8805/6586350/641ea5c2b57d/pone.0218809.g004.jpg
https://cdn.ncbi.nlm.nih.gov/pmc/blobs/8805/6586350/875254652a08/pone.0218809.g005.jpg
https://cdn.ncbi.nlm.nih.gov/pmc/blobs/8805/6586350/353835c4dc51/pone.0218809.g006.jpg
https://cdn.ncbi.nlm.nih.gov/pmc/blobs/8805/6586350/35d66c27ac7c/pone.0218809.g007.jpg

相似文献

1
Characterization of Brucella canis infection in mice.犬布鲁氏菌感染的特征。
PLoS One. 2019 Jun 20;14(6):e0218809. doi: 10.1371/journal.pone.0218809. eCollection 2019.
2
Evaluation of the Efficacy of the Brucella canis RM6/66 Δ Vaccine Candidate for Protection against B. canis Infection in Mice.评价布鲁氏菌犬 RM6/66Δ 疫苗候选株对小鼠感染布鲁氏菌的保护效力。
mSphere. 2020 May 20;5(3):e00172-20. doi: 10.1128/mSphere.00172-20.
3
Brucella ovis mutant in ABC transporter protects against Brucella canis infection in mice and it is safe for dogs.羊布鲁氏菌 ABC 转运蛋白突变体能保护小鼠抵抗犬布鲁氏菌感染,且对犬是安全的。
PLoS One. 2020 Apr 16;15(4):e0231893. doi: 10.1371/journal.pone.0231893. eCollection 2020.
4
Brucella canis is an intracellular pathogen that induces a lower proinflammatory response than smooth zoonotic counterparts.犬布鲁氏菌是一种细胞内病原体,与光滑型人畜共患病原体相比,它诱导的促炎反应较低。
Infect Immun. 2015 Dec;83(12):4861-70. doi: 10.1128/IAI.00995-15. Epub 2015 Oct 5.
5
Primary and memory immune responses against rough are less robust compared to smooth and following intratracheal infection in mice.与光滑和脂多糖相比,经气管感染小鼠后,针对粗糙型肺炎克雷伯菌的初始和记忆免疫应答较弱。
Front Immunol. 2022 Aug 11;13:959328. doi: 10.3389/fimmu.2022.959328. eCollection 2022.
6
Tissue distribution and cell tropism of Brucella canis in naturally infected canine foetuses and neonates.犬种布鲁氏菌在自然感染的犬胎儿和新生儿中的组织分布和细胞嗜性。
Sci Rep. 2018 May 8;8(1):7203. doi: 10.1038/s41598-018-25651-x.
7
A safe and molecular-tagged Brucella canis ghosts confers protection against virulent challenge in mice.一种安全且带有分子标记的犬种布鲁氏菌菌影可使小鼠免受强毒株攻击。
Vet Microbiol. 2017 May;204:121-128. doi: 10.1016/j.vetmic.2017.04.027. Epub 2017 Apr 26.
8
Evaluation of the efficacy of outer membrane protein 31 vaccine formulations for protection against Brucella canis in BALB/c mice.评估外膜蛋白31疫苗制剂对BALB/c小鼠抵御犬布鲁氏菌的保护效力。
Clin Vaccine Immunol. 2014 Dec;21(12):1689-94. doi: 10.1128/CVI.00527-14. Epub 2014 Oct 22.
9
The NOD- Mouse Model Is Suitable for the Study of Osteoarticular Brucellosis and Vaccine Safety.NOD 小鼠模型适合用于研究骨关节布鲁氏菌病和疫苗安全性。
Infect Immun. 2019 May 21;87(6). doi: 10.1128/IAI.00901-18. Print 2019 Jun.
10
Booster vaccination with safe, modified, live-attenuated mutants of Brucella abortus strain RB51 vaccine confers protective immunity against virulent strains of B. abortus and Brucella canis in BALB/c mice.用安全的、经过改造的流产布鲁氏菌RB51疫苗减毒活突变体进行加强免疫,可使BALB/c小鼠对流产布鲁氏菌和犬布鲁氏菌的强毒株产生保护性免疫。
Microbiology (Reading). 2015 Nov;161(11):2137-48. doi: 10.1099/mic.0.000170. Epub 2015 Sep 3.

引用本文的文献

1
Imipramine-induced immunomodulation and intracellular growth inhibition during 544 infection in RAW 264.7 cells and BALB/c mice.丙咪嗪在RAW 264.7细胞和BALB/c小鼠感染544期间诱导的免疫调节和细胞内生长抑制。
Front Vet Sci. 2025 Jun 16;12:1598106. doi: 10.3389/fvets.2025.1598106. eCollection 2025.
2
Enhancing Therapeutic Efficacy against Infection in a Murine Model Using Rifampicin-Loaded PLGA Nanoparticles.使用载有利福平的聚乳酸-羟基乙酸共聚物纳米颗粒提高小鼠模型中抗感染的治疗效果。
ACS Omega. 2023 Dec 13;8(51):49362-49371. doi: 10.1021/acsomega.3c07892. eCollection 2023 Dec 26.
3
ClpP protease modulates bacterial growth, stress response, and bacterial virulence in Brucella abortus.

本文引用的文献

1
Characterization of an intratracheal aerosol challenge model of Brucella melitensis in guinea pigs.布鲁氏菌气管内气溶胶挑战豚鼠模型的特征。
PLoS One. 2019 Mar 5;14(3):e0212457. doi: 10.1371/journal.pone.0212457. eCollection 2019.
2
Brucellosis in Dogs and Public Health Risk.狗布鲁氏菌病与公共卫生风险
Emerg Infect Dis. 2018 Aug;24(8):1401-1406. doi: 10.3201/eid2408.171171.
3
Human Brucellosis and Adverse Pregnancy Outcomes.人类布鲁氏菌病与不良妊娠结局
ClpP 蛋白酶调节布鲁氏菌生长、应激反应和细菌毒力。
Vet Res. 2023 Aug 23;54(1):68. doi: 10.1186/s13567-023-01200-x.
4
The Modulatory Effect of Sodium Propionate Treatment in the Expression of Inflammatory Cytokines and Intracellular Growth of 544 in Raw 264.7 Cells.丙酸钠处理对 Raw 264.7 细胞中炎症细胞因子表达和细胞内生长的调节作用。
J Microbiol Biotechnol. 2023 Aug 28;33(8):1006-1012. doi: 10.4014/jmb.2303.03041. Epub 2023 May 28.
5
Intratracheal inoculation results in Brucella-associated reproductive disease in male mouse and guinea pig models of infection.气管内接种可在雄性小鼠和豚鼠感染模型中引发与布鲁氏菌相关的生殖疾病。
Front Microbiol. 2022 Oct 19;13:1029199. doi: 10.3389/fmicb.2022.1029199. eCollection 2022.
6
Primary and memory immune responses against rough are less robust compared to smooth and following intratracheal infection in mice.与光滑和脂多糖相比,经气管感染小鼠后,针对粗糙型肺炎克雷伯菌的初始和记忆免疫应答较弱。
Front Immunol. 2022 Aug 11;13:959328. doi: 10.3389/fimmu.2022.959328. eCollection 2022.
7
Epitope-Based Vaccine of a Putative Small RNA Target Induces Protection and Less Tissue Damage in Mice.基于表位的推定小 RNA 靶标疫苗可诱导小鼠产生保护作用并减轻组织损伤。
Front Immunol. 2021 Dec 21;12:778475. doi: 10.3389/fimmu.2021.778475. eCollection 2021.
8
When the Going Gets Rough: The Significance of Lipopolysaccharide Phenotype in Host-Pathogen Interactions.形势艰难时:脂多糖表型在宿主-病原体相互作用中的意义
Front Microbiol. 2021 Jul 15;12:713157. doi: 10.3389/fmicb.2021.713157. eCollection 2021.
9
Deletion of the Transcriptional Regulator MucR in Affects Stress Responses and Bacterial Virulence.转录调节因子MucR的缺失影响应激反应和细菌毒力。
Front Vet Sci. 2021 Jun 25;8:650942. doi: 10.3389/fvets.2021.650942. eCollection 2021.
10
Uncovering the Hidden Credentials of Virulence.揭开毒力的隐藏凭证。
Microbiol Mol Biol Rev. 2021 Feb 10;85(1). doi: 10.1128/MMBR.00021-19. Print 2021 Feb 17.
Curr Trop Med Rep. 2016 Dec;3(4):164-172. doi: 10.1007/s40475-016-0092-0. Epub 2016 Oct 1.
4
A safe and molecular-tagged Brucella canis ghosts confers protection against virulent challenge in mice.一种安全且带有分子标记的犬种布鲁氏菌菌影可使小鼠免受强毒株攻击。
Vet Microbiol. 2017 May;204:121-128. doi: 10.1016/j.vetmic.2017.04.027. Epub 2017 Apr 26.
5
Brucella canis infection in dogs from commercial breeding kennels in Brazil.巴西商业繁育犬舍中犬的犬布鲁氏菌感染。
Transbound Emerg Dis. 2017 Jun;64(3):691-697. doi: 10.1111/tbed.12632. Epub 2017 Mar 13.
6
Brucella canis is an intracellular pathogen that induces a lower proinflammatory response than smooth zoonotic counterparts.犬布鲁氏菌是一种细胞内病原体,与光滑型人畜共患病原体相比,它诱导的促炎反应较低。
Infect Immun. 2015 Dec;83(12):4861-70. doi: 10.1128/IAI.00995-15. Epub 2015 Oct 5.
7
Immunization with Brucella VirB proteins reduces organ colonization in mice through a Th1-type immune response and elicits a similar immune response in dogs.用布鲁氏菌VirB蛋白进行免疫接种可通过Th1型免疫反应减少小鼠体内的器官定植,并在犬类中引发类似的免疫反应。
Clin Vaccine Immunol. 2015 Mar;22(3):274-81. doi: 10.1128/CVI.00653-14. Epub 2014 Dec 24.
8
Human Brucella canis Infection and Subsequent Laboratory Exposures Associated with a Puppy, New York City, 2012.2012年纽约市与一只幼犬相关的人类犬种布鲁氏菌感染及后续实验室接触情况
Zoonoses Public Health. 2015 Aug;62(5):407-14. doi: 10.1111/zph.12163. Epub 2014 Nov 1.
9
Evaluation of the efficacy of outer membrane protein 31 vaccine formulations for protection against Brucella canis in BALB/c mice.评估外膜蛋白31疫苗制剂对BALB/c小鼠抵御犬布鲁氏菌的保护效力。
Clin Vaccine Immunol. 2014 Dec;21(12):1689-94. doi: 10.1128/CVI.00527-14. Epub 2014 Oct 22.
10
Validation of a simple universal IELISA for the diagnosis of human brucellosis.用于诊断人类布鲁氏菌病的简易通用间接酶联免疫吸附测定法的验证
Eur J Clin Microbiol Infect Dis. 2014 Jul;33(7):1239-46. doi: 10.1007/s10096-014-2066-2. Epub 2014 Feb 11.