Suppr超能文献

接受抗逆转录病毒治疗的感染HIV的年轻成人双侧股骨颈应力性骨折:一例报告

Bilateral sequential femoral neck stress fractures in young adult with HIV infection on antiretroviral therapy: A case report.

作者信息

Chaganty Saisunder Shashank, James Deeptiman

机构信息

Faculty of Medicine and Dentistry, University of Plymouth, Plymouth PL6 8BU, United Kingdom.

Assistant Professor, Department of Orthopedics, Christian Medical College, Vellore, Vellore 632004, Tamil Nadu, India.

出版信息

World J Orthop. 2019 Jun 18;10(6):247-254. doi: 10.5312/wjo.v10.i6.247.

Abstract

BACKGROUND

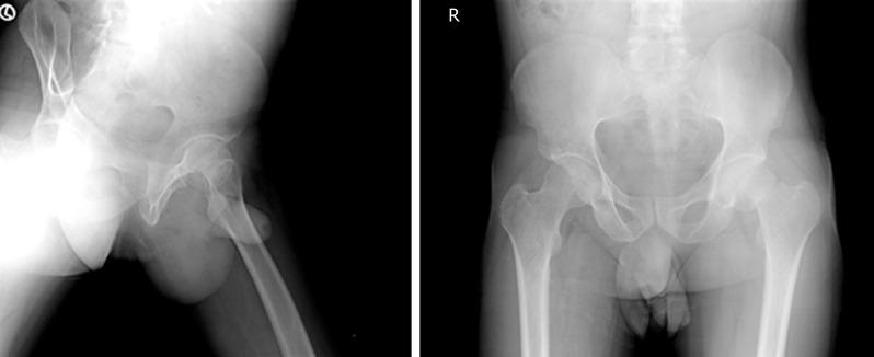
Femoral neck stress fractures are rarely encountered among young adults and are often associated with either repetitive excessive loading or underlying bone pathology. Preliminary research has indicated human immunodeficiency virus (HIV)/antiretroviral therapy (ART) as predisposing agents to osteopenia and osteoporosis related complications. We report a case of HIV/ART induced insufficiency fracture in a resource limited setting in Central India. Our aim is to increase awareness and promote screening of HIV/ART related osteopenia and osteoporosis in order to prevent catastrophic orthopaedic complications.

CASE SUMMARY

A 35-year-old HIV positive male presented with a stress fracture of left femoral neck. The patient was on ART and reported no comorbidities. He went on to be successfully managed surgically. However, during work-up osteopenia of the contralateral proximal femur was recognised using Singh's Index. Six months post-op the patient presented with right-sided femoral - neck stress fracture. At this stage the patient was nonconcordant with ART and denied surgical fixation.

CONCLUSION

In the absence of co-morbidities, several mechanisms of HIV/antiretroviral therapy may have played a role in predisposing our patient towards such a presentation. We recommend routine screening all HIV-infected patients for osteopenia, especially in younger individuals. In low resource settings and district hospitals, pelvis radiograph & Singh's index can be used for screening.

摘要

背景

股骨颈应力性骨折在年轻人中很少见,通常与重复性过度负荷或潜在的骨病理状况有关。初步研究表明,人类免疫缺陷病毒(HIV)/抗逆转录病毒疗法(ART)是骨质减少和骨质疏松相关并发症的诱发因素。我们报告了一例在印度中部资源有限地区发生的由HIV/ART引起的不全骨折病例。我们的目的是提高认识并促进对HIV/ART相关骨质减少和骨质疏松的筛查,以预防灾难性的骨科并发症。

病例摘要

一名35岁的HIV阳性男性因左股骨颈应力性骨折就诊。该患者正在接受ART治疗,且无合并症。他接受了手术治疗并成功康复。然而,在检查过程中,通过辛格指数发现对侧近端股骨存在骨质减少。术后六个月,患者出现右侧股骨颈应力性骨折。此时,患者未坚持ART治疗且拒绝手术固定。

结论

在无合并症的情况下,HIV/抗逆转录病毒疗法的多种机制可能促使我们的患者出现这种情况。我们建议对所有HIV感染患者进行常规骨质减少筛查,尤其是年轻患者。在资源匮乏地区和地区医院,骨盆X线片和辛格指数可用于筛查。

https://cdn.ncbi.nlm.nih.gov/pmc/blobs/94eb/6591698/3e6863fdcaf8/WJO-10-247-g001.jpg

相似文献

2
4
Spontaneous bilateral femoral neck fractures in a young male adult: a case report and literature review.
BMC Musculoskelet Disord. 2019 Oct 15;20(1):449. doi: 10.1186/s12891-019-2857-9.
6
Atypical femoral neck stress fracture in a human immunodeficiency virus-infected patient despite anti-osteoporotic treatment: A case report.
Turk J Phys Med Rehabil. 2020 Aug 18;66(3):364-367. doi: 10.5606/tftrd.2020.4286. eCollection 2020 Sep.
8
Femoral neck fractures after removal of hardware in healed trochanteric fractures.
Injury. 2017 Dec;48(12):2619-2624. doi: 10.1016/j.injury.2017.11.031.

引用本文的文献

1
Bilateral femoral neck stress fractures in elderly individuals: A case report and literature review.
Medicine (Baltimore). 2023 Sep 15;102(37):e34681. doi: 10.1097/MD.0000000000034681.
2
Bilateral symmetrical stress fractures of femoral neck in HIV patient: case report and brief review of literature.
BJR Case Rep. 2022 May 10;8(4):20220003. doi: 10.1259/bjrcr.20220003. eCollection 2022 Jul 1.

本文引用的文献

1
Femoral Neck Stress Fractures in Sport: A Current Concepts Review.
Sports Med Int Open. 2017 Mar 15;1(2):E58-E68. doi: 10.1055/s-0043-103946. eCollection 2017 Feb.
3
Bone mineral density in people living with HIV: a narrative review of the literature.
AIDS Res Ther. 2017 Jul 26;14(1):35. doi: 10.1186/s12981-017-0162-y.
4
Bone health and HIV in resource-limited settings: a scoping review.
Curr Opin HIV AIDS. 2016 May;11(3):306-25. doi: 10.1097/COH.0000000000000274.
5
HIV infection and osteoporosis.
Bonekey Rep. 2015 Feb 11;4:636. doi: 10.1038/bonekey.2015.3. eCollection 2015.
6
8
Bone loss in the HIV-infected patient: evidence, clinical implications, and treatment strategies.
J Infect Dis. 2012 Jun;205 Suppl 3(Suppl 3):S391-8. doi: 10.1093/infdis/jis199.
9
Stable bone density in HAART-treated individuals with HIV: a meta-analysis.
J Clin Endocrinol Metab. 2011 Sep;96(9):2721-31. doi: 10.1210/jc.2011-0591. Epub 2011 Jun 29.
10
Bone disease in HIV infection: a practical review and recommendations for HIV care providers.
Clin Infect Dis. 2010 Oct 15;51(8):937-46. doi: 10.1086/656412.

文献AI研究员

20分钟写一篇综述,助力文献阅读效率提升50倍。

立即体验

用中文搜PubMed

大模型驱动的PubMed中文搜索引擎

马上搜索

文档翻译

学术文献翻译模型,支持多种主流文档格式。

立即体验