Suppr超能文献

伴有气胸的坏死性结节病样肉芽肿

Necrotizing Sarcoid Granulomatosis with Pneumothorax.

作者信息

Pourabdollah Mihan, Saghebi Seyed Reza, Abdolahi Mitra, Rezaei Mitra Sadat

机构信息

Pediatric Respiratory Diseases Research Center, National Research Institute of Tuberculosis and Lung Diseases, Shahid Beheshti University of Medical Sciences, Tehran, Iran.

Thoracic Surgery Research Center, National Research Institute of Tuberculosis and Lung Diseases, Shahid Beheshti University of Medical Sciences, Tehran, Iran.

出版信息

Case Rep Med. 2019 May 30;2019:4648720. doi: 10.1155/2019/4648720. eCollection 2019.

Abstract

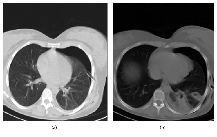
Necrotizing sarcoid granulomatosis (NSG) is a rare granulomatous pneumonitis which is composed of a background of sarcoidosis-like granulomas, granulomatous vasculitis, and variable amount of necrosis. We reported a case of a 38-year-old nonsmoking woman presented with left-sided chest pain and dyspnea for three days. Chest CT scan exhibited collapse consolidation of the left lower lobe with the presence of two separated small-sized cystic lesions within the collapsed segment. Lung lesion resection was performed, and histological examination confirmed the diagnosis by excluding other causes of granulomatous diseases. The prognosis of NSG is favorable, and medical treatment is usually not necessary, as well as in our case. NSG is a rare disease with nonspecific symptoms and good prognosis which is frequently confused with Wegener's granulomatosis, sarcoidosis, and Churg-Strauss syndrome. This entity should also be considered as differential diagnosis of necrotizing granulomatous diseases.

摘要

坏死性结节病样肉芽肿病(NSG)是一种罕见的肉芽肿性肺炎,由结节病样肉芽肿、肉芽肿性血管炎背景以及不同程度的坏死组成。我们报告了一例38岁不吸烟女性,出现左侧胸痛和呼吸困难3天。胸部CT扫描显示左下叶肺不张实变,在萎陷段内有两个分开的小囊性病变。进行了肺病变切除术,组织学检查通过排除肉芽肿性疾病的其他病因确诊。NSG的预后良好,通常无需药物治疗,我们的病例也是如此。NSG是一种具有非特异性症状且预后良好的罕见疾病,常与韦格纳肉芽肿病、结节病和变应性肉芽肿性血管炎综合征相混淆。该实体也应被视为坏死性肉芽肿性疾病的鉴别诊断。

https://cdn.ncbi.nlm.nih.gov/pmc/blobs/bb19/6589305/bb7dfc0e7698/CRIM2019-4648720.001.jpg

文献AI研究员

20分钟写一篇综述,助力文献阅读效率提升50倍。

立即体验

用中文搜PubMed

大模型驱动的PubMed中文搜索引擎

马上搜索

文档翻译

学术文献翻译模型,支持多种主流文档格式。

立即体验