• 文献检索
  • 文档翻译
  • 深度研究
  • 学术资讯
  • Suppr Zotero 插件Zotero 插件
  • 邀请有礼
  • 套餐&价格
  • 历史记录
应用&插件
Suppr Zotero 插件Zotero 插件浏览器插件Mac 客户端Windows 客户端微信小程序
定价
高级版会员购买积分包购买API积分包
服务
文献检索文档翻译深度研究API 文档MCP 服务
关于我们
关于 Suppr公司介绍联系我们用户协议隐私条款
关注我们

Suppr 超能文献

核心技术专利:CN118964589B侵权必究
粤ICP备2023148730 号-1Suppr @ 2026

文献检索

告别复杂PubMed语法,用中文像聊天一样搜索,搜遍4000万医学文献。AI智能推荐,让科研检索更轻松。

立即免费搜索

文件翻译

保留排版,准确专业,支持PDF/Word/PPT等文件格式,支持 12+语言互译。

免费翻译文档

深度研究

AI帮你快速写综述,25分钟生成高质量综述,智能提取关键信息,辅助科研写作。

立即免费体验

金属对金属关节全髋关节置换术后酷似髂腰肌脓肿的假肿瘤:一例报告

Pseudotumor mimicking iliacus muscle abscess following a total hip arthoplasty with metal on metal articulation: A case report.

作者信息

Cho Myung Rae, Jun Chung Mu, Oh Tae Bum, Kwon Jae Bum, Choi Won Kee

机构信息

Department of Orthopaedic Surgery, College of Medicine, Daegu Catholic University, Daegu City, Republic of Korea.

出版信息

Medicine (Baltimore). 2019 Jul;98(27):e16322. doi: 10.1097/MD.0000000000016322.

DOI:10.1097/MD.0000000000016322
PMID:31277178
原文链接:https://pmc.ncbi.nlm.nih.gov/articles/PMC6635227/
Abstract

RATIONALE

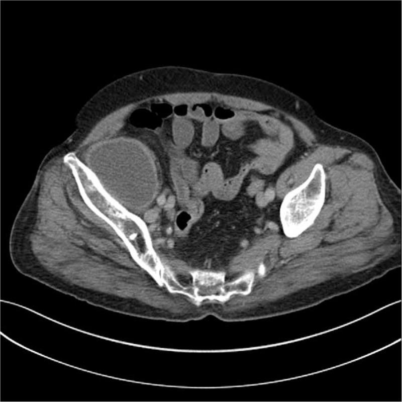
Cases of pseudotumor complicated after THA with metal-on-metal articulation as a bearing surface have been reported. Most of the pseudotumors occurred near or inside the hip joint, and usually have similar features with the infectious condition. We herein report a case of pseudotumor with huge size in the pelvic cavity mimicking features of iliacus muscle abscess.

PATIENTS CONCERNS

A 70-year-old female was referred to our emergency department due to huge mass in her right pelvic area on abdominal CT. She complained of mild febrile sensation, generalized weakness, and pain in her right leg for several months. The patient underwent metal-on-metal bearing THA 11 years ago for treatment of right-sided hip pain due to avascular necrosis.

DIAGNOSIS

Percutaneous catheter drainage was performed for both therapeutic and diagnostic reasons. No microbes were cultured from the drained fluid, and signs of chronic inflammation were shown on pathology slide samples. The patient showed positive allergic reactions to cobalt and captan on allergic patch test, and serum cobalt levels was increased as 46.78 μg/L (normal value, 0.11-0.64 μg/L). Biopsy samples of the cyst were consistent with the histological findings of pseudotumor reported by Willert et al. INTERVENTION:: For the treatment of infection, primarily, the patient was surgically treated by irrigation, debridement, and bone bead insertion. Then, after 4 weeks of antibiotic treatment, revision surgery changing the metal-on-metal articulation into poly-on-metal articulation was performed.

OUTCOMES

CT scan at 1 year after surgery showed no findings of cyst inside the pelvic cavity. Although the patient complained of right sided hip pain (VAS score 2), she was able to perform activities of daily living.

LESSONS

In patients who underwent metal-on-metal THA, pseudotumor mimicked the feature of periprosthetic infection may occur not only inside the hip joint but also in the pelvic cavity.

摘要

理论依据

有报道称,以金属对金属关节作为承重表面的全髋关节置换术(THA)后出现了假体周围假瘤病例。大多数假瘤发生在髋关节附近或内部,通常具有与感染情况相似的特征。我们在此报告一例盆腔内巨大假瘤的病例,其表现类似髂肌脓肿。

患者情况

一名70岁女性因腹部CT显示右盆腔巨大肿块被转诊至我院急诊科。她主诉数月来有轻微发热感、全身无力及右腿疼痛。该患者11年前因右侧股骨头缺血性坏死导致的髋关节疼痛接受了金属对金属承重表面的THA手术。

诊断

出于治疗和诊断目的进行了经皮导管引流。引流液中未培养出微生物,病理切片样本显示有慢性炎症迹象。患者在过敏斑贴试验中对钴和克菌丹呈阳性过敏反应,血清钴水平升高至46.78μg/L(正常值为0.11 - 0.64μg/L)。囊肿的活检样本与Willert等人报道的假瘤组织学结果一致。

干预措施

对于感染的治疗,首先对患者进行了冲洗、清创和骨珠植入的手术治疗。然后,在抗生素治疗4周后,进行了翻修手术,将金属对金属关节置换为聚乙烯对金属关节。

结果

术后1年的CT扫描显示盆腔内无囊肿迹象。尽管患者仍主诉右侧髋关节疼痛(视觉模拟评分2分),但她能够进行日常生活活动。

经验教训

在接受金属对金属THA的患者中,模拟假体周围感染特征的假瘤不仅可能出现在髋关节内,也可能出现在盆腔内。

https://cdn.ncbi.nlm.nih.gov/pmc/blobs/f86f/6635227/e2785a312f27/medi-98-e16322-g005.jpg
https://cdn.ncbi.nlm.nih.gov/pmc/blobs/f86f/6635227/1164814eebde/medi-98-e16322-g001.jpg
https://cdn.ncbi.nlm.nih.gov/pmc/blobs/f86f/6635227/5c0a258077e5/medi-98-e16322-g002.jpg
https://cdn.ncbi.nlm.nih.gov/pmc/blobs/f86f/6635227/db63e9e7f41a/medi-98-e16322-g003.jpg
https://cdn.ncbi.nlm.nih.gov/pmc/blobs/f86f/6635227/2bdc9b37a109/medi-98-e16322-g004.jpg
https://cdn.ncbi.nlm.nih.gov/pmc/blobs/f86f/6635227/e2785a312f27/medi-98-e16322-g005.jpg
https://cdn.ncbi.nlm.nih.gov/pmc/blobs/f86f/6635227/1164814eebde/medi-98-e16322-g001.jpg
https://cdn.ncbi.nlm.nih.gov/pmc/blobs/f86f/6635227/5c0a258077e5/medi-98-e16322-g002.jpg
https://cdn.ncbi.nlm.nih.gov/pmc/blobs/f86f/6635227/db63e9e7f41a/medi-98-e16322-g003.jpg
https://cdn.ncbi.nlm.nih.gov/pmc/blobs/f86f/6635227/2bdc9b37a109/medi-98-e16322-g004.jpg
https://cdn.ncbi.nlm.nih.gov/pmc/blobs/f86f/6635227/e2785a312f27/medi-98-e16322-g005.jpg

相似文献

1
Pseudotumor mimicking iliacus muscle abscess following a total hip arthoplasty with metal on metal articulation: A case report.金属对金属关节全髋关节置换术后酷似髂腰肌脓肿的假肿瘤:一例报告
Medicine (Baltimore). 2019 Jul;98(27):e16322. doi: 10.1097/MD.0000000000016322.
2
What Is the Natural History of Asymptomatic Pseudotumors in Metal-on-metal THAs at Mid-term Followup?金属对金属全髋关节置换术中无症状假瘤的中期随访自然史是怎样的?
Clin Orthop Relat Res. 2017 Feb;475(2):433-441. doi: 10.1007/s11999-016-4981-2.
3
Does a titanium sleeve reduce the frequency of pseudotumors in metal-on-metal total hip arthroplasty at 5-7years follow-up?在5至7年的随访中,钛套筒能否降低金属对金属全髋关节置换术中假肿瘤的发生率?
Orthop Traumatol Surg Res. 2016 Dec;102(8):1035-1041. doi: 10.1016/j.otsr.2016.08.020. Epub 2016 Oct 27.
4
Higher Prevalence of Mixed or Solid Pseudotumors in Metal-on-Polyethylene Total Hip Arthroplasty Compared With Metal-on-Metal Total Hip Arthroplasty and Resurfacing Hip Arthroplasty.金属对聚乙烯全髋关节置换术的混合或实性假瘤发生率高于金属对金属全髋关节置换术和表面髋关节置换术。
J Arthroplasty. 2018 Jul;33(7):2279-2286. doi: 10.1016/j.arth.2018.02.011. Epub 2018 Feb 12.
5
Preoperative Risk Factors Associated With Poor Outcomes of Revision Surgery for "Pseudotumors" in Patients With Metal-on-Metal Hip Arthroplasty.金属对金属髋关节置换术患者中“假肿瘤”翻修手术预后不良的术前危险因素
J Arthroplasty. 2016 Dec;31(12):2835-2842. doi: 10.1016/j.arth.2016.05.034. Epub 2016 May 27.
6
Do patients with a failed metal-on-metal hip implant with a pseudotumor present differences in their peripheral blood lymphocyte subpopulations?患有金属对金属髋关节置换失败并伴有假肿瘤的患者,其外周血淋巴细胞亚群是否存在差异?
Clin Orthop Relat Res. 2015 Dec;473(12):3903-14. doi: 10.1007/s11999-015-4466-8. Epub 2015 Sep 1.
7
Pseudotumor formation and serum ions after large head metal-on-metal stemmed total hip replacement. Risk factors, time course and revisions in 706 hips.大头金属对金属柄全髋关节置换术后的假瘤形成与血清离子。706例髋关节的危险因素、时间进程及翻修情况
Arch Orthop Trauma Surg. 2015 Mar;135(3):417-25. doi: 10.1007/s00402-015-2165-2. Epub 2015 Feb 8.
8
The absence of a metal-on-metal bearing does not preclude the formation of a destructive pseudotumor in the hip--a case report.髋关节中不存在金属对金属轴承并不排除形成破坏性假肿瘤——病例报告
Acta Orthop. 2013 Aug;84(4):437-41. doi: 10.3109/17453674.2013.823590. Epub 2013 Jul 12.
9
Physical Activity Is Associated With the Level of Chromium but Not With Changes in Pseudotumor Size in Patients With Metal-on-Metal Hip Arthroplasty.体力活动与铬水平相关,但与金属对金属髋关节置换术后假瘤大小的变化无关。
J Arthroplasty. 2018 Sep;33(9):2932-2939. doi: 10.1016/j.arth.2018.04.039. Epub 2018 Apr 30.
10
Similar incidence of periprosthetic fluid collections after ceramic-on-polyethylene total hip arthroplasties and metal-on-metal resurfacing arthroplasties: results of a screening metal artefact reduction sequence-MRI study.陶瓷对聚乙烯全髋关节置换术和金属对金属表面置换术后假体周围积液的发生率相似:金属伪影减少序列MRI筛查研究结果
Bone Joint J. 2015 Sep;97-B(9):1175-82. doi: 10.1302/0301-620X.97B9.35247.

本文引用的文献

1
The Current Concepts of Total Hip Arthroplasty.全髋关节置换术的当前概念
Hip Pelvis. 2016 Dec;28(4):191-200. doi: 10.5371/hp.2016.28.4.191. Epub 2016 Dec 28.
2
The Epidemiology and National Trends of Bearing Surface Usage in Primary Total Hip Arthroplasty in Korea.韩国初次全髋关节置换术中承重面使用情况的流行病学及全国趋势
Clin Orthop Surg. 2016 Mar;8(1):29-37. doi: 10.4055/cios.2016.8.1.29. Epub 2016 Feb 13.
3
Concomitant infection and local metal reaction in patients undergoing revision of metal on metal total hip arthroplasty.
接受金属对金属全髋关节置换翻修术患者的合并感染及局部金属反应
Iowa Orthop J. 2011;31:59-63.
4
New definition for periprosthetic joint infection: from the Workgroup of the Musculoskeletal Infection Society.人工关节周围感染的新定义:来自肌肉骨骼感染协会工作组。
Clin Orthop Relat Res. 2011 Nov;469(11):2992-4. doi: 10.1007/s11999-011-2102-9.
5
Pseudotumor with superimposed periprosthetic infection following metal-on-metal total hip arthroplasty: a case report.金属对金属全髋关节置换术后假体周围感染合并假瘤:一例报告
J Bone Joint Surg Am. 2010 Jul 7;92(7):1666-9. doi: 10.2106/JBJS.I.01208.
6
The epidemiology of bearing surface usage in total hip arthroplasty in the United States.美国全髋关节置换术中承重面使用情况的流行病学研究
J Bone Joint Surg Am. 2009 Jul;91(7):1614-20. doi: 10.2106/JBJS.H.01220.
7
Failure of metal-on-metal total hip arthroplasty mimicking hip infection. A report of two cases.金属对金属全髋关节置换术模拟髋关节感染失败。两例报告。
J Bone Joint Surg Am. 2009 Feb;91(2):443-6. doi: 10.2106/JBJS.H.00603.
8
Loosening and osteolysis associated with metal-on-metal bearings: A local effect of metal hypersensitivity?金属对金属轴承相关的松动和骨溶解:金属超敏反应的局部效应?
J Bone Joint Surg Am. 2006 Jun;88(6):1171-2. doi: 10.2106/JBJS.F.00453.
9
Metal-on-metal bearings and hypersensitivity in patients with artificial hip joints. A clinical and histomorphological study.人工髋关节患者的金属对金属轴承与超敏反应。一项临床与组织形态学研究。
J Bone Joint Surg Am. 2005 Jan;87(1):28-36. doi: 10.2106/JBJS.A.02039pp.
10
Granulomatous pseudotumors in total joint replacement.
Skeletal Radiol. 1987;16(2):146-52. doi: 10.1007/BF00367764.