• 文献检索
  • 文档翻译
  • 深度研究
  • 学术资讯
  • Suppr Zotero 插件Zotero 插件
  • 邀请有礼
  • 套餐&价格
  • 历史记录
应用&插件
Suppr Zotero 插件Zotero 插件浏览器插件Mac 客户端Windows 客户端微信小程序
定价
高级版会员购买积分包购买API积分包
服务
文献检索文档翻译深度研究API 文档MCP 服务
关于我们
关于 Suppr公司介绍联系我们用户协议隐私条款
关注我们

Suppr 超能文献

核心技术专利:CN118964589B侵权必究
粤ICP备2023148730 号-1Suppr @ 2026

文献检索

告别复杂PubMed语法,用中文像聊天一样搜索,搜遍4000万医学文献。AI智能推荐,让科研检索更轻松。

立即免费搜索

文件翻译

保留排版,准确专业,支持PDF/Word/PPT等文件格式,支持 12+语言互译。

免费翻译文档

深度研究

AI帮你快速写综述,25分钟生成高质量综述,智能提取关键信息,辅助科研写作。

立即免费体验

曲妥珠单抗靶向治疗表皮生长因子受体2(HER2)阳性晚期涎腺导管癌:一例报告。

Targeted therapy with trastuzumab for epidermal growth factor receptor 2 (HER2)-positive advanced salivary duct carcinoma: A case report.

作者信息

Gibo Takahiko, Sekiguchi Nodoka, Gomi Daisuke, Noguchi Takuro, Fukushima Toshirou, Kobayashi Takashi, Ozawa Takesumi, Yamada Shin-Ichi, Koizumi Tomonobu

机构信息

Department of Dentistry and Oral Surgery, Shinshu University School of Medicine, Matsumoto, Nagano 390-8621, Japan.

Department of Comprehensive Cancer Therapy, Shinshu University School of Medicine, Matsumoto, Nagano 390-8621, Japan.

出版信息

Mol Clin Oncol. 2019 Aug;11(2):111-115. doi: 10.3892/mco.2019.1875. Epub 2019 Jun 10.

DOI:10.3892/mco.2019.1875
PMID:31281644
原文链接:https://pmc.ncbi.nlm.nih.gov/articles/PMC6589940/
Abstract

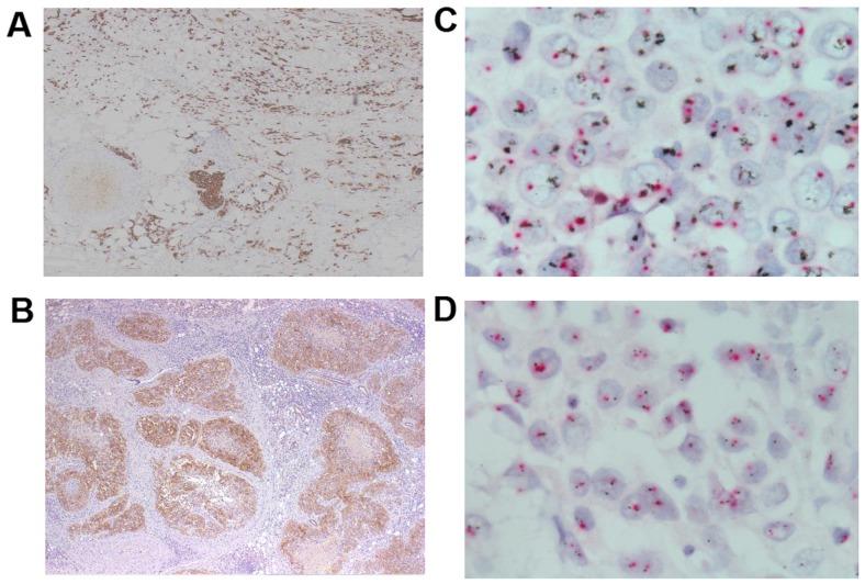
Herein we report two cases of advanced and/or metastatic salivary duct carcinoma that relapsed after standard first-line chemotherapy. As overexpression of human epidermal growth factor receptor 2 (HER2) (3+) was observed by immunohistochemistry, the patients were treated with trastuzumab plus paclitaxel. One patient showed a complete response lasting over 2.5 years after the commencement of therapy; however, the other patient had no response to trastuzumab combined therapy. Dual fluorescence hybridization was performed after the initiation of chemotherapy; the first case was positive for HER2 gene amplification, while the second case was negative. Our experiences suggest that therapy with HER2 blockers should be considered as options for treatment of HER2-positive salivary duct carcinoma. However, HER2 protein overexpression and gene amplification should be investigated further as therapeutic biomarkers.

摘要

在此,我们报告两例晚期和/或转移性涎腺导管癌患者,他们在接受标准一线化疗后复发。免疫组化检测发现人表皮生长因子受体2(HER2)呈过表达(3+),这两名患者接受了曲妥珠单抗联合紫杉醇治疗。一名患者在治疗开始后出现了持续超过2.5年的完全缓解;然而,另一名患者对曲妥珠单抗联合治疗无反应。化疗开始后进行了双色荧光杂交;第一例HER2基因扩增呈阳性,而第二例为阴性。我们的经验表明,HER2阻断剂治疗应被视为HER2阳性涎腺导管癌的治疗选择。然而,HER2蛋白过表达和基因扩增作为治疗生物标志物仍需进一步研究。

https://cdn.ncbi.nlm.nih.gov/pmc/blobs/154d/6589940/d3b6c5c0712f/mco-11-02-0111-g03.jpg
https://cdn.ncbi.nlm.nih.gov/pmc/blobs/154d/6589940/98fb713c17ba/mco-11-02-0111-g00.jpg
https://cdn.ncbi.nlm.nih.gov/pmc/blobs/154d/6589940/0c4e6b2ebfb8/mco-11-02-0111-g01.jpg
https://cdn.ncbi.nlm.nih.gov/pmc/blobs/154d/6589940/b4216ecc3799/mco-11-02-0111-g02.jpg
https://cdn.ncbi.nlm.nih.gov/pmc/blobs/154d/6589940/d3b6c5c0712f/mco-11-02-0111-g03.jpg
https://cdn.ncbi.nlm.nih.gov/pmc/blobs/154d/6589940/98fb713c17ba/mco-11-02-0111-g00.jpg
https://cdn.ncbi.nlm.nih.gov/pmc/blobs/154d/6589940/0c4e6b2ebfb8/mco-11-02-0111-g01.jpg
https://cdn.ncbi.nlm.nih.gov/pmc/blobs/154d/6589940/b4216ecc3799/mco-11-02-0111-g02.jpg
https://cdn.ncbi.nlm.nih.gov/pmc/blobs/154d/6589940/d3b6c5c0712f/mco-11-02-0111-g03.jpg

相似文献

1
Targeted therapy with trastuzumab for epidermal growth factor receptor 2 (HER2)-positive advanced salivary duct carcinoma: A case report.曲妥珠单抗靶向治疗表皮生长因子受体2(HER2)阳性晚期涎腺导管癌:一例报告。
Mol Clin Oncol. 2019 Aug;11(2):111-115. doi: 10.3892/mco.2019.1875. Epub 2019 Jun 10.
2
Experiences of trastuzumab plus paclitaxel combination therapy in metastatic human epidermal growth factor receptor 2-positive extramammary Paget's disease: Four cases and a review.曲妥珠单抗联合紫杉醇治疗转移性人表皮生长因子受体2阳性乳腺外佩吉特病的经验:4例病例及文献复习
J Dermatol. 2020 Nov;47(11):1276-1279. doi: 10.1111/1346-8138.15515. Epub 2020 Jul 24.
3
Complete Response to Trastuzumab-Based Chemotherapy in a Patient with Human Epidermal Growth Factor Receptor-2-Positive Metastatic Salivary Duct Carcinoma ex Pleomorphic Adenoma.曲妥珠单抗为基础的化疗对1例人表皮生长因子受体2阳性的多形性腺瘤恶变转移性涎腺导管癌患者的完全缓解。
Case Rep Oncol. 2013 Sep 10;6(3):450-5. doi: 10.1159/000355219. eCollection 2013.
4
Exceptional responses to pertuzumab, trastuzumab, and docetaxel in human epidermal growth factor receptor-2 high expressing salivary duct carcinomas.人表皮生长因子受体 2 高表达唾液腺癌对曲妥珠单抗、帕妥珠单抗和多西他赛的显著反应。
Head Neck. 2018 Dec;40(12):E100-E106. doi: 10.1002/hed.25392. Epub 2018 Nov 26.
5
Significant and durable clinical benefit from trastuzumab in 2 patients with HER2-amplified salivary gland cancer and a review of the literature.曲妥珠单抗对2例HER2扩增型唾液腺癌患者具有显著且持久的临床益处,并对相关文献进行综述。
Head Neck. 2017 Mar;39(3):E40-E44. doi: 10.1002/hed.24634. Epub 2016 Dec 22.
6
Human epidermal growth factor receptor 2 (HER2) in salivary gland carcinomas.唾液腺癌中的人表皮生长因子受体 2(HER2)。
Pathology. 2011 Aug;43(5):459-64. doi: 10.1097/PAT.0b013e3283484a60.
7
Genomic Characterisation and Response to Trastuzumab and Paclitaxel in Advanced or Recurrent HER2-positive Endometrial Carcinoma.晚期或复发性HER2阳性子宫内膜癌的基因组特征及对曲妥珠单抗和紫杉醇的反应
Anticancer Res. 2016 Oct;36(10):5381-5384. doi: 10.21873/anticanres.11112.
8
Treatment of HER2+ metastatic salivary ductal carcinoma in a pregnant woman: a case report.一名孕妇的HER2+转移性涎腺导管癌的治疗:病例报告
Oxf Med Case Reports. 2019 Oct 31;2019(10):omz102. doi: 10.1093/omcr/omz102. eCollection 2019 Oct.
9
Phase II clinical trial of second-line weekly paclitaxel plus trastuzumab for patients with HER2-positive metastatic gastric cancer.二线每周紫杉醇联合曲妥珠单抗治疗人表皮生长因子受体 2 阳性转移性胃癌的 II 期临床试验。
Anticancer Drugs. 2019 Jan;30(1):98-104. doi: 10.1097/CAD.0000000000000691.
10
ERBB2 Amplification and HER2 Expression in Salivary Duct Carcinoma: Evaluation of Scoring Guidelines and Potential for Expanded Anti-HER2 Therapy.唾液腺导管癌中的ERBB2扩增与HER2表达:评分指南评估及抗HER2治疗扩展的潜力
Mod Pathol. 2023 Oct;36(10):100273. doi: 10.1016/j.modpat.2023.100273. Epub 2023 Jul 7.

引用本文的文献

1
Anti-apoptotic and antioxidant mechanisms may underlie the abrogative potential of Linn. Leaf extract and fractions against trastuzumab-induced cardiotoxicity in Wistar rats.抗凋亡和抗氧化机制可能是 Linn. 叶提取物及其馏分对Wistar大鼠曲妥珠单抗诱导的心脏毒性具有消除作用的潜在基础。
Toxicol Rep. 2024 Jan 18;12:200-214. doi: 10.1016/j.toxrep.2024.01.011. eCollection 2024 Jun.
2
ERBB2 amplification status in 67 salivary duct carcinomas assessed by immunohistochemistry, fluorescence in situ hybridization, and targeted exome sequencing.通过免疫组织化学、荧光原位杂交和靶向外显子组测序评估 67 例唾液腺癌中的 ERBB2 扩增状态。
Mod Pathol. 2022 Jul;35(7):895-902. doi: 10.1038/s41379-021-00999-0. Epub 2021 Dec 28.
3

本文引用的文献

1
Second-Line Treatment of HER2-Positive Salivary Gland Tumor: Ado-Trastuzumab Emtansine (T-DM1) after Progression on Trastuzumab.人表皮生长因子受体2阳性唾液腺肿瘤的二线治疗:曲妥珠单抗进展后使用ado曲妥珠单抗(T-DM1)。
Case Rep Oncol. 2018 May 2;11(2):252-257. doi: 10.1159/000488669. eCollection 2018 May-Aug.
2
Combination of docetaxel, trastuzumab and pertuzumab or treatment with trastuzumab-emtansine for metastatic salivary duct carcinoma.多西他赛、曲妥珠单抗和帕妥珠单抗联合应用或曲妥珠单抗-恩美曲妥珠单抗治疗转移性涎腺导管癌。
Oral Oncol. 2017 Sep;72:198-200. doi: 10.1016/j.oraloncology.2017.06.023. Epub 2017 Jun 30.
3
Therapeutic Potentials of Selected Antihypertensive Agents and Their Fixed-Dose Combinations Against Trastuzumab-Mediated Cardiotoxicity.
某些抗高血压药物及其固定剂量组合对曲妥珠单抗介导的心脏毒性的治疗潜力
Front Pharmacol. 2021 Mar 4;11:610331. doi: 10.3389/fphar.2020.610331. eCollection 2020.
4
Trophoblast Cell Surface Antigen 2 (Trop-2) Protein is Highly Expressed in Salivary Gland Carcinomas and Represents a Potential Therapeutic Target.唾液腺癌中高表达滋养层细胞表面抗原 2(Trop-2)蛋白,代表了一个潜在的治疗靶点。
Head Neck Pathol. 2021 Dec;15(4):1147-1155. doi: 10.1007/s12105-021-01325-5. Epub 2021 Apr 22.
Prognostic role of neutrophil-to-lymphocyte ratio in breast cancer: a systematic review and meta-analysis.
中性粒细胞与淋巴细胞比值在乳腺癌中的预后作用:一项系统评价和荟萃分析
Breast Cancer Res. 2017 Jan 5;19(1):2. doi: 10.1186/s13058-016-0794-1.
4
Significant and durable clinical benefit from trastuzumab in 2 patients with HER2-amplified salivary gland cancer and a review of the literature.曲妥珠单抗对2例HER2扩增型唾液腺癌患者具有显著且持久的临床益处,并对相关文献进行综述。
Head Neck. 2017 Mar;39(3):E40-E44. doi: 10.1002/hed.24634. Epub 2016 Dec 22.
5
Sustained response of HER2-positive metastatic salivary adenocarcinoma, not otherwise specified, treated with trastuzumab.曲妥珠单抗治疗的HER2阳性转移性涎腺腺癌(未另作说明)的持续缓解情况
Oral Surg Oral Med Oral Pathol Oral Radiol. 2016 Sep;122(3):292-9. doi: 10.1016/j.oooo.2016.03.020. Epub 2016 Apr 20.
6
Metastatic HER-2-positive salivary gland carcinoma treated with trastuzumab and a taxane: a series of six patients.曲妥珠单抗联合紫杉烷治疗转移性HER-2阳性唾液腺癌:6例病例系列
Acta Clin Belg. 2016 Dec;71(6):383-388. doi: 10.1080/17843286.2016.1173940. Epub 2016 May 30.
7
Clinical Outcomes and Prognostic Factors for Salivary Duct Carcinoma: A Multi-Institutional Analysis of 141 Patients.涎腺导管癌的临床结局和预后因素:141例患者的多机构分析
Ann Surg Oncol. 2016 Jun;23(6):2038-45. doi: 10.1245/s10434-015-5082-2. Epub 2016 Jan 20.
8
Salivary duct carcinoma: Treatment, outcomes, and patterns of failure.涎腺导管癌:治疗、预后及失败模式。
Head Neck. 2016 Apr;38 Suppl 1:E820-6. doi: 10.1002/hed.24107. Epub 2015 Jul 15.
9
Human Epidermal Growth Factor Receptor 2 (HER2/neu) in Salivary Gland Carcinomas: A Review of Literature.唾液腺癌中的人类表皮生长因子受体2(HER2/neu):文献综述
J Clin Diagn Res. 2015 Feb;9(2):ZE04-8. doi: 10.7860/JCDR/2015/11289.5572. Epub 2015 Feb 1.
10
[A case of metastatic salivary duct carcinoma successfully treated with trastuzumab-based targeted therapy].[1例采用曲妥珠单抗靶向治疗成功治愈的转移性涎腺导管癌病例]
Nihon Jibiinkoka Gakkai Kaiho. 2014 Aug;117(8):1108-14. doi: 10.3950/jibiinkoka.117.1108.