Suppr超能文献

Survived traumatic hemipelvectomy with salvage of the limb in a 14 months old toddler.

作者信息

Jansen Hendrik, Heintel Timo M, Jordan Martin, Meffert Rainer H, Frey Soenke P

机构信息

Dept. of Trauma-, Hand-, Plastics- and Reconstructive Surgery, University Clinics Wuerzburg, Oberduerrbacher Str. 6, D-97080 Wuerzburg, Germany.

Dept. of Orthopaedics and Trauma Surgery, St. Josef Hospital Bochum, University Clinics Bochum, Germany.

出版信息

Trauma Case Rep. 2019 Jun 21;22:100220. doi: 10.1016/j.tcr.2019.100220. eCollection 2019 Aug.

Abstract

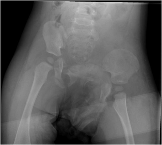
We report on a 14 months old toddler who sustained a traumatic hemipelvectomy by being crushed between a car and a stone wall. After stabilization in the resuscitation room he was treated operatively by laparotomy, osteosynthesis of the pelvic ring, reconstruction of the both external iliac vessels and the urethra and reposition of the testicles. After 66 days he was discharged into rehabilitation. Implants were removed after eight months. 20 months after the injury, the leg was plegic, initial radiological signs of femoral head necrosis showed up but the infant was able to walk with an orthesis and a walker. Up to our knowledge, this is the youngest patient described in the literature with a survived traumatic hemipelvectomy and salvaged limb.

摘要
https://cdn.ncbi.nlm.nih.gov/pmc/blobs/cfd0/6593344/73d7afd6df21/gr1.jpg

相似文献

1
Survived traumatic hemipelvectomy with salvage of the limb in a 14 months old toddler.
Trauma Case Rep. 2019 Jun 21;22:100220. doi: 10.1016/j.tcr.2019.100220. eCollection 2019 Aug.
3
Hemipelvectomy after severe pelvic injury in Factor VII deficiency toddler.
Injury. 2015;46(6):1178-82. doi: 10.1016/j.injury.2014.11.010. Epub 2014 Dec 18.
5
[Traumatic hemipelvectomy].
Unfallchirurg. 2006 May;109(5):411-6. doi: 10.1007/s00113-006-1063-z.
6
[Traumatic hemipelvectomy. Experiences with 11 cases].
Unfallchirurg. 1996 Apr;99(4):304-12.
7
Cost analysis of three different surgical procedures for treatment of a pelvic tumour.
Langenbecks Arch Surg. 1998 Oct;383(5):359-63. doi: 10.1007/s004230050149.
8
External and internal hemipelvectomy for sarcomas of the pelvic girdle: consequences of limb-salvage treatment.
Eur J Surg Oncol. 1997 Dec;23(6):540-6. doi: 10.1016/s0748-7983(97)93173-5.
9
Popliteal-based filleted lower leg musculocutaneous free-flap coverage of a hemipelvectomy defect.
Plast Reconstr Surg. 1992 Feb;89(2):326-9. doi: 10.1097/00006534-199202000-00022.
10
Late presentation with whole limb gangrene following open traumatic hemipelvectomy.
Arch Orthop Trauma Surg. 2012 Jun;132(6):787-92. doi: 10.1007/s00402-012-1468-9. Epub 2012 Feb 17.

引用本文的文献

1
Traumatic hemipelvectomy: an appeal for primary completion.
Arch Orthop Trauma Surg. 2025 May 2;145(1):279. doi: 10.1007/s00402-025-05850-8.

本文引用的文献

1
Hemipelvectomy after severe pelvic injury in Factor VII deficiency toddler.
Injury. 2015;46(6):1178-82. doi: 10.1016/j.injury.2014.11.010. Epub 2014 Dec 18.
2
Traumatic hemipelvectomy in children: report on 2 survivors with urological involvement.
J Pediatr Surg. 2010 Nov;45(11):2260-4. doi: 10.1016/j.jpedsurg.2010.07.010.
3
Traumatic hemipelvectomy: a report of successful reimplantation.
Injury. 2006 Oct;37(10):1015-8. doi: 10.1016/j.injury.2006.06.022. Epub 2006 Aug 28.
4
Traumatic hemipelvectomy: case report and literature review.
Arch Orthop Trauma Surg. 2005 Jun;125(5):358-62. doi: 10.1007/s00402-005-0814-6. Epub 2005 Apr 21.
5
Traumatic hemipelvectomy: an update.
J Trauma. 1998 Aug;45(2):422-6. doi: 10.1097/00005373-199808000-00045.
6
[Traumatic hemipelvectomy. Experiences with 11 cases].
Unfallchirurg. 1996 Apr;99(4):304-12.

文献AI研究员

20分钟写一篇综述,助力文献阅读效率提升50倍。

立即体验

用中文搜PubMed

大模型驱动的PubMed中文搜索引擎

马上搜索

文档翻译

学术文献翻译模型,支持多种主流文档格式。

立即体验