• 文献检索
  • 文档翻译
  • 深度研究
  • 学术资讯
  • Suppr Zotero 插件Zotero 插件
  • 邀请有礼
  • 套餐&价格
  • 历史记录
应用&插件
Suppr Zotero 插件Zotero 插件浏览器插件Mac 客户端Windows 客户端微信小程序
定价
高级版会员购买积分包购买API积分包
服务
文献检索文档翻译深度研究API 文档MCP 服务
关于我们
关于 Suppr公司介绍联系我们用户协议隐私条款
关注我们

Suppr 超能文献

核心技术专利:CN118964589B侵权必究
粤ICP备2023148730 号-1Suppr @ 2026

文献检索

告别复杂PubMed语法,用中文像聊天一样搜索,搜遍4000万医学文献。AI智能推荐,让科研检索更轻松。

立即免费搜索

文件翻译

保留排版,准确专业,支持PDF/Word/PPT等文件格式,支持 12+语言互译。

免费翻译文档

深度研究

AI帮你快速写综述,25分钟生成高质量综述,智能提取关键信息,辅助科研写作。

立即免费体验

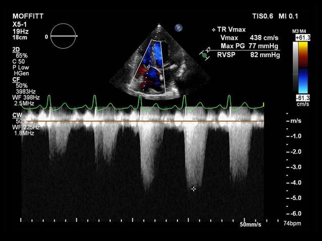
重度肺动脉高压患者的术中目标导向麻醉管理

Intraoperative Goal-Directed Anesthetic Management of the Patient with Severe Pulmonary Hypertension.

作者信息

Liu Jinhong, Nahrwold Daniel A, Serdiuk Andrew A, Koontz Dave B, Fontaine Jacques-Pierre

机构信息

Department of Anesthesia, H. Lee Moffitt Cancer Center and Research Institute, Tampa, FL, USA.

Department of Thoracic Oncology, H. Lee Moffitt Cancer Center and Research Institute, Tampa, FL, USA.

出版信息

Am J Case Rep. 2019 Jul 11;20:998-1001. doi: 10.12659/AJCR.916330.

DOI:10.12659/AJCR.916330
PMID:31292431
原文链接:https://pmc.ncbi.nlm.nih.gov/articles/PMC6640173/
Abstract

BACKGROUND It is very challenging for anesthesiologists to manage patients with pulmonary hypertension undergoing general anesthesia for elective or emergent surgeries. CASE REPORT We present a patient with severe pulmonary hypertension going through a major robotic thoracic surgery. CONCLUSIONS A goal-directed anesthesia management algorithm based on serial stroke volume (SV) values obtained from FloTrac (Edwards Lifesciences, LLC.) minimally invasive arterial pressure sensor was utilized in an attempt to reduce the anesthetic and surgical risk associated with severe pulmonary hypertension.

摘要

背景

对于麻醉医生来说,管理患有肺动脉高压的患者接受择期或急诊手术的全身麻醉极具挑战性。

病例报告

我们介绍了一位患有严重肺动脉高压并接受大型机器人辅助胸外科手术的患者。

结论

采用了一种基于从爱德华生命科学有限责任公司的FloTrac微创动脉压传感器获得的连续每搏量(SV)值的目标导向麻醉管理算法,试图降低与严重肺动脉高压相关的麻醉和手术风险。

https://cdn.ncbi.nlm.nih.gov/pmc/blobs/3946/6640173/c957aa28f20f/amjcaserep-20-998-g001.jpg
https://cdn.ncbi.nlm.nih.gov/pmc/blobs/3946/6640173/c957aa28f20f/amjcaserep-20-998-g001.jpg
https://cdn.ncbi.nlm.nih.gov/pmc/blobs/3946/6640173/c957aa28f20f/amjcaserep-20-998-g001.jpg

相似文献

1
Intraoperative Goal-Directed Anesthetic Management of the Patient with Severe Pulmonary Hypertension.重度肺动脉高压患者的术中目标导向麻醉管理
Am J Case Rep. 2019 Jul 11;20:998-1001. doi: 10.12659/AJCR.916330.
2
Perioperative complications in children with pulmonary hypertension undergoing general anesthesia with ketamine.接受氯胺酮全身麻醉的肺动脉高压患儿的围手术期并发症
Paediatr Anaesth. 2010 Jan;20(1):28-37. doi: 10.1111/j.1460-9592.2009.03166.x.
3
[Anesthetic Management for Non-cardiac Surgery in a Patient with Severe Pulmonary Arterial Hypertension].[重度肺动脉高压患者非心脏手术的麻醉管理]
Masui. 2016 May;65(5):526-9.
4
Pulmonary hypertension and cardiac anesthesia: Anesthesiologist's perspective.肺动脉高压与心脏麻醉:麻醉医生的视角
Ann Card Anaesth. 2018 Apr-Jun;21(2):116-122. doi: 10.4103/aca.ACA_123_17.
5
[Cesarean section, mitral valve disease and pulmonary hypertension. Implications of hemodynamic monitoring on anesthetic management].[剖宫产、二尖瓣疾病与肺动脉高压。血流动力学监测对麻醉管理的影响]
Ann Fr Anesth Reanim. 1993;12(6):582-6. doi: 10.1016/s0750-7658(05)80626-4.
6
Intraoperative aspects and complications for the anesthesiologist in the management of patients undergoing thoracic surgery for lung cancer.
Rays. 2004 Oct-Dec;29(4):461-3.
7
Anesthetic management of the patient with dilated cardiomyopathy undergoing pulmonary resection surgery: a case-based discussion.扩张型心肌病患者行肺切除手术的麻醉管理:基于病例的讨论
Semin Cardiothorac Vasc Anesth. 2013 Mar;17(1):9-27. doi: 10.1177/1089253212453620. Epub 2012 Aug 14.
8
[Continuous spinal anesthesia and pulmonary arterial hypertension].[连续脊髓麻醉与肺动脉高压]
Ann Fr Anesth Reanim. 2012 Oct;31(10):810-2. doi: 10.1016/j.annfar.2012.07.016. Epub 2012 Aug 24.
9
Severe pulmonary hypertension: a noncardiac, nonobstetric surgical case study.
AANA J. 2013 Aug;81(4):297-302.
10
[Anesthetic management of patients with pulmonary arterial hypertension (PAH)].[肺动脉高压(PAH)患者的麻醉管理]
Masui. 2011 Aug;60(8):924-8.

引用本文的文献

1
Impact of staged goal-directed fluid therapy on postoperative pulmonary complications in patients undergoing McKeown esophagectomy: a randomized controlled trial.分期目标导向液体治疗对 McKeown 食管癌切除术患者术后肺部并发症的影响:一项随机对照试验。
BMC Anesthesiol. 2024 Sep 17;24(1):330. doi: 10.1186/s12871-024-02719-y.
2
A Literature Review on the Anesthetic Management of Pulmonary Arterial Hypertension in Non-cardiothoracic Surgery.非心胸外科手术中肺动脉高压麻醉管理的文献综述
Cureus. 2023 May 22;15(5):e39356. doi: 10.7759/cureus.39356. eCollection 2023 May.
3
Utility of the FloTrac™ Sensor for Anesthetic Management of Laparoscopic Surgery in a Patient After Pneumonectomy: A Case Report and Literature Review.

本文引用的文献

1
Goal-directed therapy during transthoracic oesophageal resection does not improve outcome: Randomised controlled trial.经胸食管切除术时目标导向治疗并未改善预后:随机对照试验。
Eur J Anaesthesiol. 2019 Feb;36(2):153-161. doi: 10.1097/EJA.0000000000000908.
2
Perioperative goal-directed therapy: A systematic review without meta-analysis.围术期目标导向治疗:一项无荟萃分析的系统评价。
Acta Anaesthesiol Scand. 2018 Nov;62(10):1340-1355. doi: 10.1111/aas.13212. Epub 2018 Jul 6.
3
National Trends in Use and Outcomes of Pulmonary Artery Catheters Among Medicare Beneficiaries, 1999-2013.
FloTrac™ 传感器在全肺切除术后腹腔镜手术麻醉管理中的应用:病例报告及文献复习。
Am J Case Rep. 2020 Dec 4;21:e925979. doi: 10.12659/AJCR.925979.
1999-2013 年 Medicare 受益人群肺动脉导管的使用和结局的全国趋势。
JAMA Cardiol. 2017 Aug 1;2(8):908-913. doi: 10.1001/jamacardio.2017.1670.
4
Stroke Volume Variation and Pulse Pressure Variation Are Not Useful for Predicting Fluid Responsiveness in Thoracic Surgery.在胸外科手术中,每搏量变异和脉压变异不能用于预测液体反应性。
Anesth Analg. 2017 Oct;125(4):1158-1165. doi: 10.1213/ANE.0000000000002056.
5
Effects of Intraoperative Fluid Management on Postoperative Outcomes: A Hospital Registry Study.术中液体管理对术后结局的影响:医院登记研究。
Ann Surg. 2018 Jun;267(6):1084-1092. doi: 10.1097/SLA.0000000000002220.
6
Variation in Hospital Use and Outcomes Associated With Pulmonary Artery Catheterization in Heart Failure in the United States.美国心力衰竭患者肺动脉导管插入术相关的医院使用情况及预后差异
Circ Heart Fail. 2016 Nov;9(11). doi: 10.1161/CIRCHEARTFAILURE.116.003226.
7
Ongoing Use of Pulmonary Artery Catheters Despite Negative Trial Findings.尽管试验结果为阴性,但肺动脉导管仍在持续使用。
JAMA Intern Med. 2016 Jan;176(1):133-4. doi: 10.1001/jamainternmed.2015.6547.
8
Comparison of goal-directed hemodynamic optimization using pulmonary artery catheter and transpulmonary thermodilution in combined valve repair: a randomized clinical trial.肺动脉导管与经肺热稀释法在联合瓣膜修复中进行目标导向血流动力学优化的比较:一项随机临床试验。
Crit Care Res Pract. 2012;2012:821218. doi: 10.1155/2012/821218. Epub 2012 Apr 30.
9
Does the pulmonary artery catheter still have a role in the perioperative period?肺动脉导管在围手术期仍有作用吗?
Anaesth Intensive Care. 2011 May;39(3):345-55. doi: 10.1177/0310057X1103900305.
10
Trends in the use of the pulmonary artery catheter in the United States, 1993-2004.1993 - 2004年美国肺动脉导管的使用趋势
JAMA. 2007 Jul 25;298(4):423-9. doi: 10.1001/jama.298.4.423.