Suppr超能文献

一例因吸入氦气导致的缺氧性脑病,恢复后无神经并发症:病例报告及类似病例分析

A case of hypoxic encephalopathy induced by the inhalation of helium that resolved with no neurological complications: a case report and analysis of similar cases.

作者信息

Ogura Koichiro, Takahashi Waka, Morita Yasumasa

机构信息

Department of Emergency and Critical Care Medicine Chiba Aoba Municipal Hospital Chiba Japan.

出版信息

Acute Med Surg. 2019 Apr 2;6(3):308-311. doi: 10.1002/ams2.414. eCollection 2019 Jul.

Abstract

BACKGROUND

Nowadays, it is getting easier to search information about helium-assisted suicide online. Therefore, healthcare professionals must understand helium-associated medical conditions.

CASE PRESENTATION

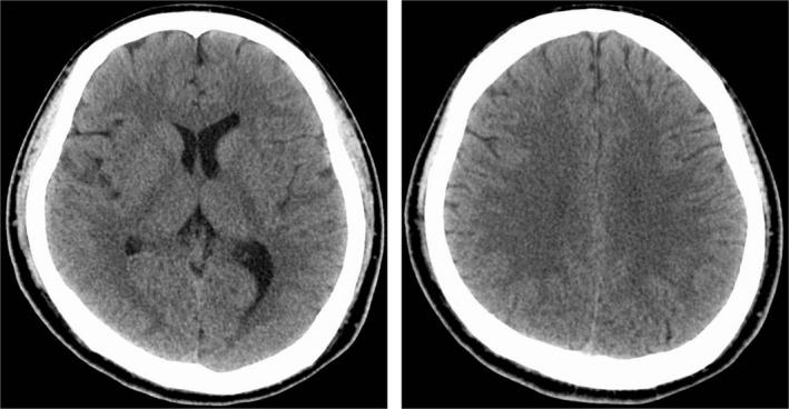
A 27-year-old man was found with his head covered with a bag connected to a helium tank. Hyperbaric oxygen therapy was not given because his head computed tomography showed no cerebral vasculature air embolism and there was no obvious limb paralysis. The diagnosis was impaired consciousness with hypoxic encephalopathy; he needed mechanical ventilation for 2 days. He was discharged after intelligence tests with no obvious higher brain dysfunction.

CONCLUSION

We successfully treated a patient with hypoxic encephalopathy due to helium inhalation. Our analysis suggests that the pathophysiology and appropriate intervention of helium intoxication might be different according to the devices used.

摘要

背景

如今,在网上搜索有关氦气辅助自杀的信息变得越来越容易。因此,医疗保健专业人员必须了解与氦气相关的医疗状况。

病例介绍

一名27岁男子被发现头部罩着一个与氦气罐相连的袋子。由于其头部计算机断层扫描显示没有脑血管空气栓塞且没有明显的肢体麻痹,所以未给予高压氧治疗。诊断为意识障碍伴缺氧性脑病;他需要机械通气2天。经智力测试无明显高级脑功能障碍后出院。

结论

我们成功治疗了一名因吸入氦气导致缺氧性脑病的患者。我们的分析表明,根据所使用的设备不同,氦气中毒的病理生理学和适当干预措施可能有所不同。

https://cdn.ncbi.nlm.nih.gov/pmc/blobs/3e46/6603319/1c4f635cc201/AMS2-6-308-g001.jpg

文献AI研究员

20分钟写一篇综述,助力文献阅读效率提升50倍。

立即体验

用中文搜PubMed

大模型驱动的PubMed中文搜索引擎

马上搜索

文档翻译

学术文献翻译模型,支持多种主流文档格式。

立即体验