Suppr超能文献

先天性肺气道畸形患儿中出现喘鸣的食管重复囊肿:一例报告及文献复习

Esophageal duplication cyst presenting with stridor in a child with congenital pulmonary airway malformation: A case report and literature review.

作者信息

Sun Ching-Fang, Chen Chieh-Ho, Ke Pin-Zuo, Ho Tzu-Lung, Lin Chien-Heng

机构信息

College of Medicine, China Medical University.

Division of Pediatric Pulmonology, China Medical University Children's Hospital.

出版信息

Medicine (Baltimore). 2019 Jul;98(28):e16364. doi: 10.1097/MD.0000000000016364.

Abstract

RATIONALE

Esophageal duplication cyst (EDC) is a rare developmental aberration originated from the embryonic foregut. It may remain asymptomatic but produce local mass effect on surrounding organs if rapid enlarges. EDC may sometimes accompany with other congenital malformations. Congenital pulmonary airway malformation (CPAM) is a congenital lung malformation with an unknown chance of developing symptoms. Here we report a rare case of esophageal duplication cyst with type 2 congenital pulmonary airway malformation (CPAM).

PATIENT CONCERNS

A 16-month old boy with a prenatal diagnosis of type 2 CPAM presented progressive stridor and respiratory distress and was admitted to our hospital under the diagnosis of pneumonia. The patient responded poorly to antibiotics. A chest Xray (CXR) showed consolidation over the left upper lobe with trachea deviated to right side. A chest computed tomography (CT) revealed a cystic lesion sized 3.3 × 3.3 cm in the superior mediastinum.

DIAGNOSES

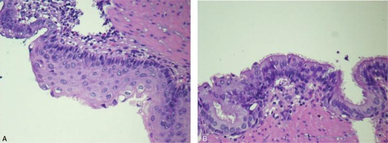
Post-operative pathological report confirmed the diagnosis of esophageal duplication cyst.

INTERVENTIONS

We pre-medicated the patient with steroids and inhaled bronchodilators for airway maintenance. Then the patient received tumor resection via median sternotomy.

OUTCOMES

The patient recovered without complication and discharged smoothly 4 days after the surgery.

LESSONS

EDC is a rare but potentially life-threatening disease owning to compression of large airways. Chest CT scan could detect the lesion non-invasively and should be considered in patients with persistent stridor, as well as CXR findings of the trachea deviated by a mass lesion in mediastinum, especially for those with CPAM.

摘要

理论依据

食管重复囊肿(EDC)是一种罕见的源于胚胎前肠的发育异常。它可能无症状,但如果迅速增大,会对周围器官产生局部肿块效应。EDC有时可能伴有其他先天性畸形。先天性肺气道畸形(CPAM)是一种先天性肺畸形,出现症状的几率未知。在此我们报告一例罕见的伴有2型先天性肺气道畸形(CPAM)的食管重复囊肿病例。

患者情况

一名16个月大的男孩,产前诊断为2型CPAM,出现进行性喘鸣和呼吸窘迫,以肺炎诊断入院。患者对抗生素反应不佳。胸部X线(CXR)显示左上叶实变,气管向右偏移。胸部计算机断层扫描(CT)显示上纵隔有一个大小为3.3×3.3 cm的囊性病变。

诊断

术后病理报告证实为食管重复囊肿。

干预措施

我们用类固醇和吸入性支气管扩张剂对患者进行预处理以维持气道。然后患者通过正中胸骨切开术接受肿瘤切除。

结果

患者康复,无并发症,术后4天顺利出院。

经验教训

EDC是一种罕见但可能危及生命的疾病,因其会压迫大气道。胸部CT扫描可以无创检测病变,对于持续喘鸣的患者以及CXR显示气管因纵隔肿块病变而偏移的患者,尤其是患有CPAM的患者,应考虑进行胸部CT扫描。

https://cdn.ncbi.nlm.nih.gov/pmc/blobs/bdda/6641662/35599c2445c6/medi-98-e16364-g002.jpg

文献AI研究员

20分钟写一篇综述,助力文献阅读效率提升50倍。

立即体验

用中文搜PubMed

大模型驱动的PubMed中文搜索引擎

马上搜索

文档翻译

学术文献翻译模型,支持多种主流文档格式。

立即体验