• 文献检索
  • 文档翻译
  • 深度研究
  • 学术资讯
  • Suppr Zotero 插件Zotero 插件
  • 邀请有礼
  • 套餐&价格
  • 历史记录
应用&插件
Suppr Zotero 插件Zotero 插件浏览器插件Mac 客户端Windows 客户端微信小程序
定价
高级版会员购买积分包购买API积分包
服务
文献检索文档翻译深度研究API 文档MCP 服务
关于我们
关于 Suppr公司介绍联系我们用户协议隐私条款
关注我们

Suppr 超能文献

核心技术专利:CN118964589B侵权必究
粤ICP备2023148730 号-1Suppr @ 2026

文献检索

告别复杂PubMed语法,用中文像聊天一样搜索,搜遍4000万医学文献。AI智能推荐,让科研检索更轻松。

立即免费搜索

文件翻译

保留排版,准确专业,支持PDF/Word/PPT等文件格式,支持 12+语言互译。

免费翻译文档

深度研究

AI帮你快速写综述,25分钟生成高质量综述,智能提取关键信息,辅助科研写作。

立即免费体验

一名患有广泛冠状动脉疾病患者的创伤性应激性心肌病

Traumatic Takotsubo Cardiomyopathy in a Patient with Extensive Coronary Artery Disease.

作者信息

Renko Abagayle E, Doyle Warren C, Sokoloski Paul W

机构信息

Penn State Milton S. Hershey Medical Center, Department of Emergency Medicine, Hershey, PA 17033, USA.

出版信息

Case Rep Emerg Med. 2019 Jun 12;2019:7270426. doi: 10.1155/2019/7270426. eCollection 2019.

DOI:10.1155/2019/7270426
PMID:31308982
原文链接:https://pmc.ncbi.nlm.nih.gov/articles/PMC6594314/
Abstract

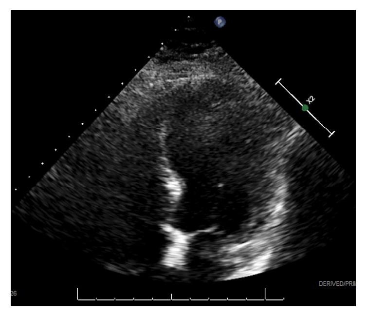
Takotsubo Cardiomyopathy (TCM) should be considered in the differential diagnosis for patients with cardiovascular symptoms not only following emotional trauma but also following motor vehicle accidents. A 45-year-old woman presented with chest pain following a motor vehicle accident. While she had an elevated troponin level and an extensive history of cardiac disease, her electrocardiogram was normal. Echocardiogram, however, demonstrated transiently reduced left ventricular systolic function with mid to apical hypokinesis consistent with TCM. We emphasize the use of a diagnostic score and point of care focused cardiac ultrasound (FOCUS) to expedite the recognition, evaluation, and treatment of suspected TCM in an Emergency Department setting.

摘要

对于出现心血管症状的患者,无论是在情绪创伤后还是在机动车事故后,鉴别诊断时都应考虑应激性心肌病(TCM)。一名45岁女性在机动车事故后出现胸痛。尽管她肌钙蛋白水平升高且有广泛的心脏病史,但其心电图正常。然而,超声心动图显示左心室收缩功能短暂降低,伴有中至心尖运动减弱,符合应激性心肌病表现。我们强调在急诊科环境中使用诊断评分和即时床旁心脏超声(FOCUS),以加快对疑似应激性心肌病的识别、评估和治疗。

https://cdn.ncbi.nlm.nih.gov/pmc/blobs/7b6f/6594314/cc7f08698f33/CRIEM2019-7270426.001.jpg
https://cdn.ncbi.nlm.nih.gov/pmc/blobs/7b6f/6594314/cc7f08698f33/CRIEM2019-7270426.001.jpg
https://cdn.ncbi.nlm.nih.gov/pmc/blobs/7b6f/6594314/cc7f08698f33/CRIEM2019-7270426.001.jpg

相似文献

1
Traumatic Takotsubo Cardiomyopathy in a Patient with Extensive Coronary Artery Disease.一名患有广泛冠状动脉疾病患者的创伤性应激性心肌病
Case Rep Emerg Med. 2019 Jun 12;2019:7270426. doi: 10.1155/2019/7270426. eCollection 2019.
2
Takotsubo Cardiomyopathy in the Emergency Department: A FOCUS Heart Breaker.急诊科中的应激性心肌病:聚焦心碎综合征
Clin Pract Cases Emerg Med. 2018 Apr 5;2(2):158-162. doi: 10.5811/cpcem.2018.2.37291. eCollection 2018 May.
3
Zumba-induced Takotsubo cardiomyopathy: a case report.尊巴引发的应激性心肌病:一例报告
J Med Case Rep. 2018 Jun 10;12(1):160. doi: 10.1186/s13256-018-1696-x.
4
Takotsubo Cardiomyopathy presenting with different morphological patterns in the same patient: a case report and review of the literature.同一患者呈现不同形态学模式的应激性心肌病:病例报告及文献复习。
Cardiovasc Pathol. 2020 Jul-Aug;47:107204. doi: 10.1016/j.carpath.2020.107204. Epub 2020 Jan 15.
5
Clostridium Difficile Infection and Takotsubo Cardiomyopathy: Is There a Relation?艰难梭菌感染与应激性心肌病:二者有关联吗?
N Am J Med Sci. 2016 Jul;8(7):316-9. doi: 10.4103/1947-2714.187156.
6
Takotsubo Cardiomyopathy in a Polytrauma Patient With Subarachnoid Hemorrhage.一名患有蛛网膜下腔出血的多发伤患者的应激性心肌病
Cureus. 2023 May 12;15(5):e38954. doi: 10.7759/cureus.38954. eCollection 2023 May.
7
Takotsubo Cardiomyopathy in a Nonagenarian With Urosepsis.一位患有泌尿道脓毒症的九旬老人的应激性心肌病
Cureus. 2020 Jun 22;12(6):e8763. doi: 10.7759/cureus.8763.
8
Takotsubo cardiomyopathy.应激性心肌病
Am J Health Syst Pharm. 2009 Mar 15;66(6):562-6. doi: 10.2146/ajhp080225.
9
Takotsubo Cardiomyopathy With Inconspicuous Initial Electrocardiogram: A Potentially Serious Cardiac Pathology Related to Emotional Stress.初始心电图不明显的应激性心肌病:一种与情绪应激相关的潜在严重心脏病理状态。
Front Psychiatry. 2019 May 16;10:308. doi: 10.3389/fpsyt.2019.00308. eCollection 2019.
10
Reverse takotsubo cardiomyopathy: two case reports and review of the literature.反向性应激性心肌病:两例病例报告及文献综述
J Med Case Rep. 2013 Mar 19;7:84. doi: 10.1186/1752-1947-7-84.

引用本文的文献

1
Takotsubo Cardiomyopathy Following Traumatic Hand Amputation: A Case Report.
Clin Pract Cases Emerg Med. 2022 Aug;6(3):225-228. doi: 10.5811/cpcem.2022.2.55463.

本文引用的文献

1
Stress cardiomyopathy (Takotsubo) following radioactive iodine therapy.
Endocrinol Diabetes Metab Case Rep. 2015 Aug 1;2015:15-0053. doi: 10.1530/EDM-15-0053.
2
Zumba-induced Takotsubo cardiomyopathy: a case report.尊巴引发的应激性心肌病:一例报告
J Med Case Rep. 2018 Jun 10;12(1):160. doi: 10.1186/s13256-018-1696-x.
3
International Expert Consensus Document on Takotsubo Syndrome (Part I): Clinical Characteristics, Diagnostic Criteria, and Pathophysiology.国际 Takotsubo 综合征专家共识文件(第一部分):临床特征、诊断标准和病理生理学。
Eur Heart J. 2018 Jun 7;39(22):2032-2046. doi: 10.1093/eurheartj/ehy076.
4
Takotsubo Cardiomyopathy in the Emergency Department: A FOCUS Heart Breaker.急诊科中的应激性心肌病:聚焦心碎综合征
Clin Pract Cases Emerg Med. 2018 Apr 5;2(2):158-162. doi: 10.5811/cpcem.2018.2.37291. eCollection 2018 May.
5
Takotsubo Syndrome After Cesarean Section: Rare But Possible.剖宫产术后应激性心肌病:罕见但有可能发生。
J Am Coll Cardiol. 2018 Apr 24;71(16):1838-1839. doi: 10.1016/j.jacc.2018.02.035.
6
Takotsubo cardiomyopathy caused by acute respiratory stress from extubation: A case report.拔管后急性呼吸应激所致的应激性心肌病:一例报告
Medicine (Baltimore). 2017 Dec;96(48):e8946. doi: 10.1097/MD.0000000000008946.
7
Takotsubo cardiomyopathy: A known unknown foe of asthma.应激性心肌病:哮喘中一个已知的未知敌人。
J Asthma. 2017 Oct;54(8):880-886. doi: 10.1080/02770903.2016.1276586. Epub 2017 Jan 5.
8
Optical Coherence Tomography to Evaluate Plaque Burden and Morphology in Patients With Takotsubo Syndrome.光学相干断层扫描评估应激性心肌病患者的斑块负荷和形态
J Am Heart Assoc. 2016 Dec 22;5(12):e004474. doi: 10.1161/JAHA.116.004474.
9
A Case Report of Reversible Takotsubo Cardiomyopathy after Amphetamine/Dextroamphetamine Ingestion in a 15-Year-Old Adolescent Girl.一名15岁少女摄入苯丙胺/右旋苯丙胺后发生可逆性应激性心肌病的病例报告。
J Pediatr. 2017 Mar;182:385-388.e3. doi: 10.1016/j.jpeds.2016.11.038. Epub 2016 Dec 13.
10
Takotsubo syndrome: Advances in the understanding and management of an enigmatic stress cardiomyopathy.应激性心肌病:对一种神秘应激性心肌病的认识与管理进展
World J Cardiol. 2016 Jul 26;8(7):413-24. doi: 10.4330/wjc.v8.i7.413.