Suppr超能文献

肌管性肌病中的新型突变。

Novel mutation in sarcotubular myopathy.

作者信息

Panicucci Chiara, Traverso Monica, Baratto Serena, Romeo Chiara, Iacomino Michele, Gemelli Chiara, Tagliafico Alberto, Broda Paolo, Zara Federico, Bruno Claudio, Minetti Carlo, Fiorillo Chiara

机构信息

Pediatric Neurology and Neuromuscular Disorders, Istituto G. Gaslini and University of Genoa, Italy.

Centre of Traslational and Experimental Myology, Istituto G. Gaslini, Genoa, Italy.

出版信息

Acta Myol. 2019 Mar 1;38(1):8-12. eCollection 2019 Mar.

Abstract

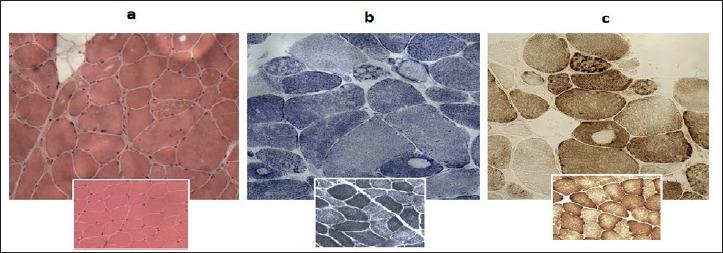
Tripartite motif-containing protein 32 () is a member of the TRIM ubiquitin E3 ligases which ubiquitinates different substrates in muscle including sarcomeric proteins. Mutations in are associated with Limb-Girdle Muscular Dystrophy 2H. In a 66 old woman with disto-proximal myopathy, we identified a novel homozygous mutation of gene c.1781G > A (p. Ser594Asn) localised in the c-terminus NHL domain. Mutations of this domain have been also associated to Sarcotubular Myopathy (STM), a form of distal myopathy with peculiar features in muscle biopsy, now considered in the spectrum of LGMD2H. Muscle biopsy revealed severe abnormalities of the myofibrillar network with core like areas, lobulated fibres, whorled fibres and multiple vacuoles. Desmin and Myotilin stainings also pointed to accumulation as in Myofibrillar Myopathy. This report further confirms that STM and LGMD2H represent the same disorder and suggests to consider mutations in the genetic diagnosis of Sarcotubular Myopathy and Myofibrillar Myopathy.

摘要

含三联基序蛋白32()是TRIM泛素E3连接酶家族成员,该家族可使包括肌节蛋白在内的肌肉中的不同底物发生泛素化。基因的突变与2H型肢带型肌营养不良症相关。在一名患有远端至近端肌病的66岁女性中,我们鉴定出基因c.1781G > A(p.Ser594Asn)的一个新的纯合突变,该突变位于C末端NHL结构域。该结构域的突变也与肌管性肌病(STM)相关,STM是远端肌病的一种形式,在肌肉活检中有独特特征,现被认为属于LGMD2H范围。肌肉活检显示肌原纤维网络存在严重异常,有核心样区域、分叶状纤维、漩涡状纤维和多个空泡。结蛋白和肌联蛋白染色也显示有积聚,如同在肌原纤维肌病中所见。本报告进一步证实STM和LGMD2H代表同一种疾病,并建议在肌管性肌病和肌原纤维肌病的基因诊断中考虑基因突变。

https://cdn.ncbi.nlm.nih.gov/pmc/blobs/0b27/6598407/448d9f3aa44f/am-2019-01-8-g001.jpg

文献检索

告别复杂PubMed语法,用中文像聊天一样搜索,搜遍4000万医学文献。AI智能推荐,让科研检索更轻松。

立即免费搜索

文件翻译

保留排版,准确专业,支持PDF/Word/PPT等文件格式,支持 12+语言互译。

免费翻译文档

深度研究

AI帮你快速写综述,25分钟生成高质量综述,智能提取关键信息,辅助科研写作。

立即免费体验