Suppr超能文献

评估牙缺失患者的种植体成功率。

Evaluation of Implant Success in Patients with Dental Aplasia.

机构信息

Department of Cranio-Maxillofacial Surgery, Faculty of Medicine, Justus-Liebig University Giessen, Klinik Str. 33, 35392 Giessen, Germany.

Institute for Medical Informatics and Medical Statistics, Faculty of Medicine, Justus-Liebig University Giessen, Rudolf-Buchheim Str. 6, 35392 Giessen, Germany.

出版信息

Biomed Res Int. 2019 Jun 19;2019:1680158. doi: 10.1155/2019/1680158. eCollection 2019.

Abstract

INTRODUCTION

Dental aplasia is an anomaly in which the number of teeth is reduced. It is the most commonly occurring dental anomaly during tooth development. Treatment management of patients with dental aplasia is challenging.

OBJECTIVES

The aim of this retrospective clinical study was to analyze the survival and success rates of dental implants placed in hypodontic patients, rated with different criteria.

METHODS

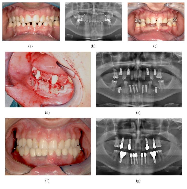
Forty-three patients were diagnosed with dental aplasia and treated with dental implants between November 2000 and February 2016. The variables assessed included the plaque level, bleeding on probing, probing depth, implant mobility, implant stability, and implant loss. To analyze the peri-implant bone level, a panoramic X-ray of each patient was taken. The results were compared with X-rays taken immediately after implantation.

RESULTS

Thirty-seven patients (16 males; 21 females) participated in this study. In total, 155 implants (86 maxillary; 69 mandibular) were inserted. Two of the 155 implants failed; the survival rate was 98.7%. The success rate according to the criteria of Buser et al. was 96.8%, and that according to the criteria of Albrektsson et al. was 88.4%.

CONCLUSION

The survival and success rates of dental implants in patients with congenitally absent teeth were very high and did not differ significantly from results achieved in an unaffected population. Dental implants are a reliable therapy for patients with dental aplasia.

摘要

简介

牙缺失是一种牙齿数量减少的异常情况。它是牙齿发育过程中最常见的牙齿异常。牙缺失患者的治疗管理具有挑战性。

目的

本回顾性临床研究的目的是分析用不同标准评估的先天性缺牙患者种植体的存活率和成功率。

方法

2000 年 11 月至 2016 年 2 月期间,诊断出 43 名患有牙缺失的患者,并为其植入牙种植体。评估的变量包括菌斑指数、探诊出血、探诊深度、种植体动度、种植体稳定性和种植体丧失。为了分析种植体周围骨水平,对每位患者进行全景 X 光检查。将结果与植入后立即拍摄的 X 光片进行比较。

结果

37 名患者(16 名男性;21 名女性)参与了这项研究。总共植入了 155 枚种植体(86 枚上颌;69 枚下颌)。其中 2 枚种植体失败,存活率为 98.7%。根据 Buser 等人的标准,成功率为 96.8%,根据 Albrektsson 等人的标准,成功率为 88.4%。

结论

先天性缺牙患者种植体的存活率和成功率非常高,与未受影响人群的结果无显著差异。牙种植体是牙缺失患者的一种可靠治疗方法。

https://cdn.ncbi.nlm.nih.gov/pmc/blobs/2804/6607699/0794d99f5fcd/BMRI2019-1680158.001.jpg

文献AI研究员

20分钟写一篇综述,助力文献阅读效率提升50倍。

立即体验

用中文搜PubMed

大模型驱动的PubMed中文搜索引擎

马上搜索

文档翻译

学术文献翻译模型,支持多种主流文档格式。

立即体验