• 文献检索
  • 文档翻译
  • 深度研究
  • 学术资讯
  • Suppr Zotero 插件Zotero 插件
  • 邀请有礼
  • 套餐&价格
  • 历史记录
应用&插件
Suppr Zotero 插件Zotero 插件浏览器插件Mac 客户端Windows 客户端微信小程序
定价
高级版会员购买积分包购买API积分包
服务
文献检索文档翻译深度研究API 文档MCP 服务
关于我们
关于 Suppr公司介绍联系我们用户协议隐私条款
关注我们

Suppr 超能文献

核心技术专利:CN118964589B侵权必究
粤ICP备2023148730 号-1Suppr @ 2026

文献检索

告别复杂PubMed语法,用中文像聊天一样搜索,搜遍4000万医学文献。AI智能推荐,让科研检索更轻松。

立即免费搜索

文件翻译

保留排版,准确专业,支持PDF/Word/PPT等文件格式,支持 12+语言互译。

免费翻译文档

深度研究

AI帮你快速写综述,25分钟生成高质量综述,智能提取关键信息,辅助科研写作。

立即免费体验

鞍上支气管源性囊肿:一例报告

A suprasellar bronchogenic cyst: A case report.

作者信息

Bian Bingyang, Yu Miao, Liu Shanshan, Li Shu, Wei Ying, Zhang Bei

机构信息

Department of Radiology.

Department of Pediatric Ultrasound, First Hospital of Jilin University, Changchun.

出版信息

Medicine (Baltimore). 2019 Jul;98(30):e16650. doi: 10.1097/MD.0000000000016650.

DOI:10.1097/MD.0000000000016650
PMID:31348319
原文链接:https://pmc.ncbi.nlm.nih.gov/articles/PMC6709100/
Abstract

RATIONALE

Bronchogenic cysts are mainly benign, congenital abnormalities, originating from the remnants of the primitive foregut. However, intracranial bronchogenic cysts have been rarely observed. Hence, better understanding of the suprasellar bronchogenic cysts is of great significance to properly perform perioperative management.

PATIENT'S CONCERNS: A 62-year-old Chinese female was admitted to our hospital due to impairment of memory and asthenia.

DIAGNOSIS

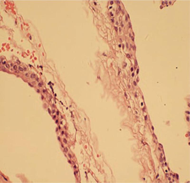
Magnetic resonance imaging (MRI) confirmed presence of cystic lesion in the suprasellar region. The patient underwent craniotomy with resection of the cystic mass. The histopathological examinations confirmed diagnosis of bronchogenic cyst as well.

INTERVENTIONS

The cystic lesion was removed without complications. No drugs during follow-up were recommended.

OUTCOMES

After discharge, the patient was advised to undergo MRI for 6 months to 1 year. No evidence of recurrence was found in the first postoperative review.

LESSONS

Bronchogenic cysts should be considered in differential diagnosis of cystic mass detected in the suprasellar region on MRI. Once the disease is considered, surgical resection is recommended to obtain pathological diagnosis, alleviate clinical symptoms, and prevent complications.

摘要

理论依据

支气管源性囊肿主要是良性先天性异常,起源于原始前肠的残余部分。然而,颅内支气管源性囊肿很少见。因此,更好地了解鞍上支气管源性囊肿对于正确进行围手术期管理具有重要意义。

患者关注的问题

一名62岁中国女性因记忆力减退和乏力入住我院。

诊断

磁共振成像(MRI)证实鞍上区域存在囊性病变。患者接受了开颅手术并切除了囊性肿块。组织病理学检查也证实了支气管源性囊肿的诊断。

干预措施

囊性病变被切除,无并发症。随访期间不建议使用药物。

结果

出院后,建议患者在6个月至1年内进行MRI检查。首次术后复查未发现复发迹象。

经验教训

在MRI检查发现鞍上区域囊性肿块的鉴别诊断中应考虑支气管源性囊肿。一旦考虑到该病,建议手术切除以获得病理诊断、缓解临床症状并预防并发症。

https://cdn.ncbi.nlm.nih.gov/pmc/blobs/ebcd/6709100/7b48643dbaff/medi-98-e16650-g002.jpg
https://cdn.ncbi.nlm.nih.gov/pmc/blobs/ebcd/6709100/7e29e5dbd0db/medi-98-e16650-g001.jpg
https://cdn.ncbi.nlm.nih.gov/pmc/blobs/ebcd/6709100/7b48643dbaff/medi-98-e16650-g002.jpg
https://cdn.ncbi.nlm.nih.gov/pmc/blobs/ebcd/6709100/7e29e5dbd0db/medi-98-e16650-g001.jpg
https://cdn.ncbi.nlm.nih.gov/pmc/blobs/ebcd/6709100/7b48643dbaff/medi-98-e16650-g002.jpg

相似文献

1
A suprasellar bronchogenic cyst: A case report.鞍上支气管源性囊肿:一例报告
Medicine (Baltimore). 2019 Jul;98(30):e16650. doi: 10.1097/MD.0000000000016650.
2
Intramedullary bronchogenic cyst in the foramen magnum region accompanied with syringomyelia: A case report and literature review.枕大孔区髓内支气管源性囊肿伴脊髓空洞症:1例报告及文献复习
Medicine (Baltimore). 2019 Feb;98(5):e14353. doi: 10.1097/MD.0000000000014353.
3
[Bronchogenic cyst: a rare cause of a retroperitoneal mass].支气管源性囊肿:腹膜后肿块的罕见病因
Zentralbl Chir. 2009 Dec;134(6):570-2. doi: 10.1055/s-2008-1076885. Epub 2009 May 7.
4
Clinico-pathological features of the intradiaphragmatic bronchogenic cysts: report of a case and review of the literature.膈内支气管源性囊肿的临床病理特征:1例报告并文献复习
Pathologica. 2018 Sep;110(2):116-120.
5
Bronchogenic cyst of the interatrial septum.房间隔支气管源性囊肿。
Fukushima J Med Sci. 2020 Apr 22;66(1):41-43. doi: 10.5387/fms.2019-29. Epub 2020 Feb 26.
6
[Recurrent bronchogenic cyst--a case report].[复发性支气管囊肿——病例报告]
Nihon Kyobu Geka Gakkai Zasshi. 1995 Mar;43(3):350-4.
7
Congenital Cervical Bronchogenic Cyst: A Case Report.先天性颈段支气管源性囊肿:一例报告
Srp Arh Celok Lek. 2015 May-Jun;143(5-6):317-21. doi: 10.2298/sarh1506317k.
8
Bronchogenic cyst mimicking an adrenal mass in the retroperitoneal region: report of a rare case.模仿腹膜后区域肾上腺肿块的支气管源性囊肿:1例罕见病例报告
Indian J Pathol Microbiol. 2015 Jan-Mar;58(1):96-8. doi: 10.4103/0377-4929.151200.
9
Gastric bronchogenic cyst histologically diagnosed after laparoscopic excision: report of a case.腹腔镜切除术后经组织学诊断的胃支气管源性囊肿:病例报告
Int Surg. 2013 Oct-Dec;98(4):455-60. doi: 10.9738/INTSURG-D-12-00038.1.
10
Giant presternal subcutaneous bronchogenic cyst: a rare but possible occurrence.巨大胸骨前皮下支气管源性囊肿:一种罕见但可能出现的情况。
Asian Cardiovasc Thorac Ann. 2020 Oct;28(8):507-509. doi: 10.1177/0218492320943338. Epub 2020 Jul 12.

引用本文的文献

1
[Diagnosis and treatment of pediatric cervical bronchogenic cyst].[小儿颈段支气管源性囊肿的诊断与治疗]
Lin Chuang Er Bi Yan Hou Tou Jing Wai Ke Za Zhi. 2023 Nov;37(11):916-919. doi: 10.13201/j.issn.2096-7993.2023.11.011.
2
Pediatric bronchogenic cysts in the head and neck region: A study of 10 surgical cases and a review of the literature.头颈部小儿支气管源性囊肿:10例手术病例研究及文献复习
Front Pediatr. 2022 Nov 3;10:1030692. doi: 10.3389/fped.2022.1030692. eCollection 2022.
3
Giant subcutaneous bronchogenic cyst in the intergluteal cleft region of an adult: a case report and literature review.

本文引用的文献

1
Multimodality Imaging of a Rare Case of Bronchogenic Cyst Presenting as New-Onset Atrial Fibrillation in a Young Woman.一名年轻女性新发房颤表现为支气管源性囊肿的罕见病例的多模态成像
CASE (Phila). 2018 Aug 9;2(6):254-257. doi: 10.1016/j.case.2018.06.002. eCollection 2018 Dec.
2
Clinico-pathological features of the intradiaphragmatic bronchogenic cysts: report of a case and review of the literature.膈内支气管源性囊肿的临床病理特征:1例报告并文献复习
Pathologica. 2018 Sep;110(2):116-120.
3
A Rare Case of Presacral Epidermoid Cyst in an Adult Male: Emphasis on Diffusion Weighted Magnetic Resonance Sequences in Preoperative Imaging.
成人臀间区巨大皮下支气管源性囊肿 1 例报告并文献复习
BMC Med Imaging. 2022 Jul 16;22(1):126. doi: 10.1186/s12880-022-00853-y.
4
A Clinical Analysis of Pharyngeal Bronchogenic Cysts in the Pharynx of Children.儿童咽部支气管源性囊肿的临床分析
Front Pediatr. 2021 May 20;9:629009. doi: 10.3389/fped.2021.629009. eCollection 2021.
5
Bronchogenic cyst or lung cancer. Only biopsy can tell.支气管源性囊肿还是肺癌。只有活检才能确定。
Respir Med Case Rep. 2020 Dec 31;32:101328. doi: 10.1016/j.rmcr.2020.101328. eCollection 2021.
一名成年男性骶前表皮样囊肿的罕见病例:强调术前影像学检查中的扩散加权磁共振序列
Cureus. 2018 Jan 10;10(1):e2050. doi: 10.7759/cureus.2050.
4
Prediction of BRAF mutation status of craniopharyngioma using magnetic resonance imaging features.利用磁共振成像特征预测颅咽管瘤的 BRAF 突变状态。
J Neurosurg. 2018 Jul;129(1):27-34. doi: 10.3171/2017.4.JNS163113. Epub 2017 Oct 6.
5
A giant intradiaphragmatic bronchogenic cyst: case report and literature review.巨大膈内支气管源性囊肿:病例报告及文献复习
Tumori. 2017 Nov 15;103(Suppl. 1):e25-e27. doi: 10.5301/tj.5000669.
6
Bronchogenic Cyst in the Head and Neck Region.头颈部支气管源性囊肿
J Craniofac Surg. 2017 Jun;28(4):e303-e305. doi: 10.1097/SCS.0000000000003508.
7
A huge retropharyngeal bronchogenic cyst displacing the posterior wall of the hypopharynx: Case report and review of the literature.一例巨大的咽后支气管源性囊肿致下咽后壁移位:病例报告及文献复习
Neuroradiol J. 2016 Dec;29(6):450-454. doi: 10.1177/1971400916661733. Epub 2016 Aug 30.
8
Bronchogenic cyst in the omental bursa: A case report.
J Dig Dis. 2016 Jan;17(1):52-4. doi: 10.1111/1751-2980.12295.
9
Video-assisted thoracoscopic resection of recurrent intrapulmonary bronchogenic cyst after thoracotomy.开胸术后复发性肺内支气管源性囊肿的电视辅助胸腔镜切除术
Innovations (Phila). 2014 Mar-Apr;9(2):142-4. doi: 10.1097/IMI.0000000000000057.
10
Recurrent bronchogenic cyst 15 years after incomplete excision.不完全切除术后15年复发性支气管囊肿。
Interact Cardiovasc Thorac Surg. 2003 Dec;2(4):685-7. doi: 10.1016/S1569-9293(03)00204-4.