Ashitomi Yuya, Sugawara Shuichiro, Takahashi Ryosuke, Ashino Koki, Watanabe Toshihiro, Hachiya Osamu, Kimura Wataru
First Department of Surgery, Yamagata University Graduate School of Medical Science, Yamagata, Japan.
First Department of Surgery, Yamagata University Graduate School of Medical Science, Yamagata, Japan.
Int J Surg Case Rep. 2019;61:99-102. doi: 10.1016/j.ijscr.2019.07.045. Epub 2019 Jul 22.
Acute pancreatitis is a known complication of pancreaticoduodenectomy (PD). However, no reports in the literature describe a late delayed severe acute pancreatitis. We report a case of acute pancreatitis 5 years after PD in a patient who needed intensive care for his complication.
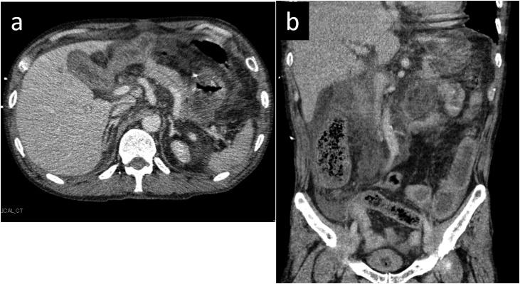
A 64-years-old man presented with upper abdominal pain and reported a history of PD 5 years prior to presentation. Contrast-enhanced computed tomography revealed an edematous pancreatic remnant with inflammation of the surrounding tissue, and he was diagnosed with acute pancreatitis. His condition worsened, and he was transferred to our hospital the following day. He was admitted to the intensive care unit to manage respiratory and circulatory insufficiency. Although his condition improved, an abdominal abscess was identified, and necrosectomy was performed on day 43 of hospitalizaiton. We carefully removed as much necrotic tissue as was possible without injury to the pancreaticojejunal anastomosis and the ascending colon. Inflammation gradually subsided, and he was discharged on day 111 of hospitalization. The last drain was removed in day 133 of admission to our hospital. Pancreatitis and abdominal abscess have not recurred until the time of writing this paper.
Delayed severe acute pancreatitis is rare. Necrosectomy can treat an abdominal abscess; however it is important to avoid injury to other organs.
Clinicians should be aware that severe acute pancreatitis can occur after PD.
急性胰腺炎是胰十二指肠切除术(PD)已知的一种并发症。然而,文献中尚无关于晚期延迟性重症急性胰腺炎的报道。我们报告一例在PD术后5年发生急性胰腺炎的病例,该患者因并发症需要重症监护。
一名64岁男性因上腹部疼痛就诊,自述在此次就诊前5年有PD病史。增强CT显示胰腺残端水肿,周围组织有炎症,诊断为急性胰腺炎。他的病情恶化,第二天被转至我院。他被收入重症监护病房以处理呼吸和循环功能不全。尽管他的病情有所改善,但在住院第43天发现了腹腔脓肿,并进行了坏死组织清除术。我们小心地清除了尽可能多的坏死组织,同时避免损伤胰空肠吻合口和升结肠。炎症逐渐消退,他在住院第111天出院。在我院住院第133天拔除了最后一根引流管。直至撰写本文时,胰腺炎和腹腔脓肿均未复发。
延迟性重症急性胰腺炎较为罕见。坏死组织清除术可治疗腹腔脓肿;然而,避免损伤其他器官很重要。
临床医生应意识到PD术后可能发生重症急性胰腺炎。