Shetty Archana, Chowdappa Vijaya
Department of Pathology, Sapthagiri Institute of Medical Sciences, Bangalore, Karnataka, India.
J Cytol. 2019 Jul-Sep;36(3):137-141. doi: 10.4103/JOC.JOC_50_18.
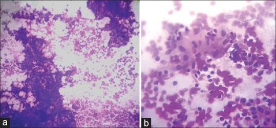
Hashimoto's thyroiditis (HT) is a well-known autoimmune disorder of the thyroid diagnosed on fine needle aspiration cytology (FNAC) and a common cause of hypothyroidism in women. Often serological and hematological parameters are additional investigations aiding the diagnosis of this entity.
To grade HT based on cytomorphology and to correlate the cytological grades with thyroid hormone status and basic hematological parameters.
During a period of 2.5 years, 1762 patients underwent FNAC of thyroid at our tertiary healthcare center. Cytological evidence of lymphocytic thyroiditis was seen in 102 cases, of which 58 cases in addition had thyroid hormone levels and hematological parameters for correlation.
Of the 58 cases, 55 were females. Majority of the patients had grade II thyroiditis (56.9%), followed by grade I (34.5%) and grade III (8.6%). Elevated thyroid-stimulating hormone was seen in 74.2% of cases, with 39.7% of patients presenting with subclinical hypothyroidism and 18.9% being euthyroid. Mean hemoglobin was low in all grades, more so in hypothyroid state, while other hematological parameters were normal when correlated with grade and hormonal status without any significant value.
Cytomorphological grading of HT can explain the pathogenesis of this autoimmune disease. Subclinical hypothyroidism was significantly observed. There was no significant statistical correlation of cytological grades with thyroid status. In this study, most of the hypothyroid cases had low hemoglobin levels while other basic hematological parameters did not show any statistically significant correlation with the thyroid hormonal status.
桥本甲状腺炎(HT)是一种通过细针穿刺抽吸活检(FNAC)诊断的著名的甲状腺自身免疫性疾病,是女性甲状腺功能减退的常见原因。血清学和血液学参数通常是辅助诊断该疾病的额外检查。
根据细胞形态学对HT进行分级,并将细胞分级与甲状腺激素状态和基本血液学参数相关联。
在2.5年的时间里,我们的三级医疗中心有1762例患者接受了甲状腺FNAC检查。102例出现淋巴细胞性甲状腺炎的细胞学证据,其中58例还进行了甲状腺激素水平和血液学参数的相关性分析。
58例患者中,55例为女性。大多数患者为II级甲状腺炎(56.9%),其次是I级(34.5%)和III级(8.6%)。74.2%的病例促甲状腺激素升高,39.7%的患者表现为亚临床甲状腺功能减退,18.9%的患者甲状腺功能正常。所有分级的平均血红蛋白均较低,甲状腺功能减退状态下更低,而其他血液学参数与分级和激素状态相关时均正常,无显著差异。
HT的细胞形态学分级可以解释这种自身免疫性疾病的发病机制。显著观察到亚临床甲状腺功能减退。细胞学分级与甲状腺状态无显著统计学相关性。在本研究中,大多数甲状腺功能减退病例的血红蛋白水平较低,而其他基本血液学参数与甲状腺激素状态无任何统计学显著相关性。