Suppr超能文献

老年患者的低增生性急性髓系白血病。低剂量泼尼松和粒细胞集落刺激因子诱导长期部分缓解。

Hypoplastic acute myeloid leukemia in an elderly patient. A long-term partial remission with low-dose prednisone and G-CSF.

作者信息

Islam Anwarul

机构信息

Division of Hematology/Oncology, Department of Medicine Buffalo General Hospital Buffalo New York.

出版信息

Clin Case Rep. 2019 May 17;7(7):1285-1290. doi: 10.1002/ccr3.2204. eCollection 2019 Jul.

Abstract

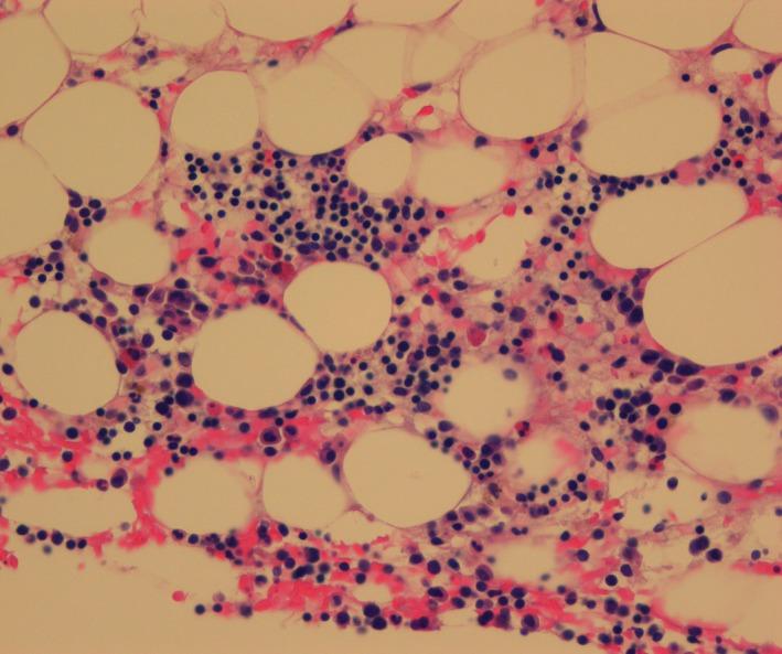
Hypoplastic acute myeloid leukemia (AML) is a rare variant of AML that mainly affects the elderly and accounts for 5%-7% of de novo AML. Prognosis for this disease is poor, and there is no standard therapy. We have treated an elderly patient with hypoplastic AML with low-dose prednisone and G-CSF with good results. We propose that this treatment may be a viable alternative to supportive therapy alone, or the tenuous chemotherapeutic challenge to elderly patients with hypoplastic AML.

摘要

低增生性急性髓系白血病(AML)是AML的一种罕见变异型,主要影响老年人,占初发AML的5%-7%。这种疾病的预后很差,且没有标准治疗方法。我们用小剂量泼尼松和粒细胞集落刺激因子(G-CSF)治疗了一名低增生性AML老年患者,效果良好。我们提出,这种治疗可能是单独支持治疗的一种可行替代方案,或者是对低增生性AML老年患者进行的脆弱化疗挑战的一种可行替代方案。

https://cdn.ncbi.nlm.nih.gov/pmc/blobs/05e0/6637338/02d9fdf8125e/CCR3-7-1285-g001.jpg

文献检索

告别复杂PubMed语法,用中文像聊天一样搜索,搜遍4000万医学文献。AI智能推荐,让科研检索更轻松。

立即免费搜索

文件翻译

保留排版,准确专业,支持PDF/Word/PPT等文件格式,支持 12+语言互译。

免费翻译文档

深度研究

AI帮你快速写综述,25分钟生成高质量综述,智能提取关键信息,辅助科研写作。

立即免费体验