• 文献检索
  • 文档翻译
  • 深度研究
  • 学术资讯
  • Suppr Zotero 插件Zotero 插件
  • 邀请有礼
  • 套餐&价格
  • 历史记录
应用&插件
Suppr Zotero 插件Zotero 插件浏览器插件Mac 客户端Windows 客户端微信小程序
定价
高级版会员购买积分包购买API积分包
服务
文献检索文档翻译深度研究API 文档MCP 服务
关于我们
关于 Suppr公司介绍联系我们用户协议隐私条款
关注我们

Suppr 超能文献

核心技术专利:CN118964589B侵权必究
粤ICP备2023148730 号-1Suppr @ 2026

文献检索

告别复杂PubMed语法,用中文像聊天一样搜索,搜遍4000万医学文献。AI智能推荐,让科研检索更轻松。

立即免费搜索

文件翻译

保留排版,准确专业,支持PDF/Word/PPT等文件格式,支持 12+语言互译。

免费翻译文档

深度研究

AI帮你快速写综述,25分钟生成高质量综述,智能提取关键信息,辅助科研写作。

立即免费体验

捕获的逆转录病毒包膜基因在破骨细胞与巨细胞前体融合及骨吸收中的作用,在基因敲除小鼠中进行分析。

Role of the captured retroviral envelope gene in the fusion of osteoclast and giant cell precursors and in bone resorption, analyzed and in knockout mice.

作者信息

Coudert Amélie E, Redelsperger François, Chabbi-Achengli Yasmine, Vernochet Cécile, Marty Caroline, Decrouy Xavier, Heidmann Thierry, de Vernejoul Marie-Christine, Dupressoir Anne

机构信息

BIOSCAR, Unité Mixte de Recherche 1132, Institut National de la Santé et de la Recherche Médicale, Hôpital Lariboisière, Paris 75010, France.

Laboratoire de Physiopathologie Orale Moléculaire, INSERM U1138, Centre de recherche des Cordeliers, UFR d'Odontologie Garancire, Université Paris Diderot, Paris 75006, France.

出版信息

Bone Rep. 2019 Jul 10;11:100214. doi: 10.1016/j.bonr.2019.100214. eCollection 2019 Dec.

DOI:10.1016/j.bonr.2019.100214
PMID:31360740
原文链接:https://pmc.ncbi.nlm.nih.gov/articles/PMC6637224/
Abstract

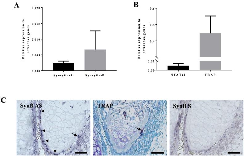
and are envelope genes of retroviral origin that have been captured in evolution for a role in placentation. They trigger cell-cell fusion and were shown to be essential for the formation of the syncytiotrophoblast layer during mouse placenta formation. and expression has been described in other tissues and their highly fusogenic properties suggested that they might be involved in the fusion of other cell types. Here, taking advantage of mice knocked out for , SynB mice, we investigated the potential role of in the fusion of cells from the monocyte/macrophage lineage into multinucleated osteoclasts (OCs) -in bone- or multinucleated giant cells -in soft tissues. In experiments, a significant reduction in fusion index and in the number of multinucleated OCs and giant cells was observed as soon as Day3 in SynB as compared to wild-type cell cultures. Interestingly, the number of nuclei per multinucleated OC or giant cell remained unchanged. These results, together with the demonstration that expression is maximal in the first 2 days of OC differentiation, argue for playing a role in the fusion of OC and giant cell mononucleated precursors, at initial stages. Finally, , the observed reduction in multinucleated OC number had no impact on the expression of OC differentiation markers, and a dentin resorption assay did not evidence any difference in the osteoclastic resorption activity, suggesting that is not required for OC activity. , was found to be expressed in the periosteum of embryos at embryonic day 16.5, where TRAP-positive cells were observed. Yet, in adults, no significant reduction in OC number or alteration in bone phenotype was observed in SynB mice. In addition, SynB mice did not show any change in the number of foreign body giant cells (FBGCs) that formed in response to implantation of foreign material, as compared to wild-type mice. Altogether the results suggest that in addition to its essential role in placenta formation, plays a role in OCs and macrophage fusion; yet it is not essential for OC and FBGC formation, or maintenance of bone homeostasis, at least under the conditions tested.

摘要

和是逆转录病毒起源的包膜基因,在进化过程中被捕获,在胎盘形成中发挥作用。它们触发细胞间融合,并被证明在小鼠胎盘形成过程中对合体滋养层的形成至关重要。和的表达已在其他组织中被描述,其高度融合的特性表明它们可能参与其他细胞类型的融合。在这里,利用敲除的小鼠(SynB小鼠),我们研究了在单核细胞/巨噬细胞谱系的细胞融合形成多核破骨细胞(OCs)(在骨中)或多核巨细胞(在软组织中)中的潜在作用。在实验中,与野生型细胞培养相比,在SynB小鼠中,早在第3天就观察到融合指数以及多核OCs和巨细胞数量显著减少。有趣的是,每个多核OC或巨细胞的核数量保持不变。这些结果,连同证明在OC分化的前2天表达最高,表明在初始阶段在OC和巨细胞单核前体的融合中发挥作用。最后,观察到的多核OC数量减少对OC分化标志物的表达没有影响,并且牙本质吸收试验没有证明破骨细胞吸收活性有任何差异,这表明OC活性不需要。此外,发现在胚胎第16.5天在胚胎的骨膜中表达,在那里观察到TRAP阳性细胞。然而,在成年小鼠中,在SynB小鼠中未观察到OC数量显著减少或骨表型改变。此外,与野生型小鼠相比,SynB小鼠在对异物植入形成的异物巨细胞(FBGCs)数量上没有显示任何变化。总之,结果表明,除了在胎盘形成中的重要作用外,在OCs和巨噬细胞融合中发挥作用;然而,至少在所测试的条件下,对于OC和FBGC的形成或骨稳态的维持不是必需的。

https://cdn.ncbi.nlm.nih.gov/pmc/blobs/de23/6637224/0ef7828b76ea/gr5.jpg
https://cdn.ncbi.nlm.nih.gov/pmc/blobs/de23/6637224/a0c938380ddc/gr1.jpg
https://cdn.ncbi.nlm.nih.gov/pmc/blobs/de23/6637224/19d2baa2ea59/gr2.jpg
https://cdn.ncbi.nlm.nih.gov/pmc/blobs/de23/6637224/4e854a247f1d/gr3.jpg
https://cdn.ncbi.nlm.nih.gov/pmc/blobs/de23/6637224/4510de392e69/gr4.jpg
https://cdn.ncbi.nlm.nih.gov/pmc/blobs/de23/6637224/0ef7828b76ea/gr5.jpg
https://cdn.ncbi.nlm.nih.gov/pmc/blobs/de23/6637224/a0c938380ddc/gr1.jpg
https://cdn.ncbi.nlm.nih.gov/pmc/blobs/de23/6637224/19d2baa2ea59/gr2.jpg
https://cdn.ncbi.nlm.nih.gov/pmc/blobs/de23/6637224/4e854a247f1d/gr3.jpg
https://cdn.ncbi.nlm.nih.gov/pmc/blobs/de23/6637224/4510de392e69/gr4.jpg
https://cdn.ncbi.nlm.nih.gov/pmc/blobs/de23/6637224/0ef7828b76ea/gr5.jpg

相似文献

1
Role of the captured retroviral envelope gene in the fusion of osteoclast and giant cell precursors and in bone resorption, analyzed and in knockout mice.捕获的逆转录病毒包膜基因在破骨细胞与巨细胞前体融合及骨吸收中的作用,在基因敲除小鼠中进行分析。
Bone Rep. 2019 Jul 10;11:100214. doi: 10.1016/j.bonr.2019.100214. eCollection 2019 Dec.
2
Sodium-dependent phosphate transporter PiT1/SLC20A1 as the receptor for the endogenous retroviral envelope syncytin-B involved in mouse placenta formation.钠依赖性磷酸盐转运蛋白 PiT1/SLC20A1 作为内源性逆转录病毒 envelope syncytin-B 的受体,参与了小鼠胎盘的形成。
J Virol. 2024 Oct 22;98(10):e0091524. doi: 10.1128/jvi.00915-24. Epub 2024 Sep 17.
3
A Cell Fusion-Based Screening Method Identifies Glycosylphosphatidylinositol-Anchored Protein Ly6e as the Receptor for Mouse Endogenous Retroviral Envelope Syncytin-A.一种基于细胞融合的筛选方法鉴定出糖基磷脂酰肌醇锚定蛋白Ly6e作为小鼠内源性逆转录病毒包膜蛋白Syncytin-A的受体。
J Virol. 2017 Aug 24;91(18). doi: 10.1128/JVI.00832-17. Print 2017 Sep 15.
4
Capture of syncytin-Mar1, a fusogenic endogenous retroviral envelope gene involved in placentation in the Rodentia squirrel-related clade.捕捉到参与胎盘形成的融合性内源性逆转录病毒包膜基因 syncytin-Mar1,该基因存在于啮齿目松鼠相关进化枝中。
J Virol. 2014 Jul;88(14):7915-28. doi: 10.1128/JVI.00141-14. Epub 2014 Apr 30.
5
The captured retroviral envelope syncytin-A and syncytin-B genes are conserved in the Spalacidae together with hemotrichorial placentation.捕获的逆转录病毒包膜蛋白合胞素-A和合胞素-B基因在竹鼠科中与血绒毛膜胎盘一起保守存在。
Biol Reprod. 2014 Dec;91(6):148. doi: 10.1095/biolreprod.114.124818. Epub 2014 Oct 22.
6
Syncytin-A knockout mice demonstrate the critical role in placentation of a fusogenic, endogenous retrovirus-derived, envelope gene.合胞素A基因敲除小鼠证明了一种融合性、内源性逆转录病毒衍生的包膜基因在胎盘形成中的关键作用。
Proc Natl Acad Sci U S A. 2009 Jul 21;106(29):12127-32. doi: 10.1073/pnas.0902925106. Epub 2009 Jun 29.
7
A pair of co-opted retroviral envelope syncytin genes is required for formation of the two-layered murine placental syncytiotrophoblast.一对共转导的逆转录病毒包膜基因syncytin 对于形成双层鼠胎盘合胞滋养层是必需的。
Proc Natl Acad Sci U S A. 2011 Nov 15;108(46):E1164-73. doi: 10.1073/pnas.1112304108. Epub 2011 Oct 27.
8
Syncytin-A and syncytin-B, two fusogenic placenta-specific murine envelope genes of retroviral origin conserved in Muridae.合胞素-A和合胞素-B,鼠科中两个起源于逆转录病毒的、具有融合活性的胎盘特异性鼠类包膜基因,在鼠科中保守存在。
Proc Natl Acad Sci U S A. 2005 Jan 18;102(3):725-30. doi: 10.1073/pnas.0406509102. Epub 2005 Jan 11.
9
Regulation of murine placentogenesis by the retroviral genes Syncytin-A, Syncytin-B and Peg10.逆转录病毒基因 Syncytin-A、Syncytin-B 和 Peg10 对鼠类胎盘发生的调控。
Differentiation. 2013 Apr-Jun;85(4-5):150-60. doi: 10.1016/j.diff.2013.02.002. Epub 2013 Jun 25.
10
Foreign body giant cells and osteoclasts are TRAP positive, have podosome-belts and both require OC-STAMP for cell fusion.异物巨细胞和成骨细胞 TRAP 阳性,具有伪足带,两者均需要 OC-STAMP 进行细胞融合。
J Cell Biochem. 2013 Aug;114(8):1772-8. doi: 10.1002/jcb.24518.

引用本文的文献

1
Endogenous Retroviruses in Host-Virus Coevolution: From Genomic Domestication to Functional Innovation.宿主-病毒共同进化中的内源性逆转录病毒:从基因组驯化到功能创新
Genes (Basel). 2025 Aug 15;16(8):964. doi: 10.3390/genes16080964.
2
The bone phenotype associated with cherubism is independent of Caspase-1-dependent inflammasome activation in the mouse.与 cherubism 相关的骨表型在小鼠中独立于半胱天冬酶-1 依赖性炎性小体激活。
PLoS One. 2025 Feb 14;20(2):e0318826. doi: 10.1371/journal.pone.0318826. eCollection 2025.
3
Comparison of osteoclast differentiation protocols from human induced pluripotent stem cells of different tissue origins.

本文引用的文献

1
Cell-surface phosphatidylserine regulates osteoclast precursor fusion.细胞膜表面的磷脂酰丝氨酸调节破骨细胞前体融合。
J Biol Chem. 2018 Jan 5;293(1):254-270. doi: 10.1074/jbc.M117.809681. Epub 2017 Nov 3.
2
Macrophages, Foreign Body Giant Cells and Their Response to Implantable Biomaterials.巨噬细胞、异物巨细胞及其对可植入生物材料的反应。
Materials (Basel). 2015 Aug 28;8(9):5671-5701. doi: 10.3390/ma8095269.
3
A Cell Fusion-Based Screening Method Identifies Glycosylphosphatidylinositol-Anchored Protein Ly6e as the Receptor for Mouse Endogenous Retroviral Envelope Syncytin-A.
比较不同组织来源的人诱导多能干细胞中破骨细胞分化方案。
Stem Cell Res Ther. 2023 Nov 7;14(1):319. doi: 10.1186/s13287-023-03547-6.
4
Comparison of osteoclast differentiation protocols from human induced pluripotent stem cells of different tissue origins.不同组织来源的人诱导多能干细胞的破骨细胞分化方案比较。
Res Sq. 2023 Jul 7:rs.3.rs-3089289. doi: 10.21203/rs.3.rs-3089289/v1.
5
IRAK4 inhibition: an effective strategy for immunomodulating peri-implant osseointegration via reciprocally-shifted polarization in the monocyte-macrophage lineage cells.IRAK4 抑制:通过单核细胞-巨噬细胞系细胞中相互转移的极化调节,实现免疫调节种植体周围骨整合的有效策略。
BMC Oral Health. 2023 May 8;23(1):265. doi: 10.1186/s12903-023-03011-0.
6
Cell surface-bound La protein regulates the cell fusion stage of osteoclastogenesis.细胞膜结合的 La 蛋白调节破骨细胞分化的细胞融合阶段。
Nat Commun. 2023 Feb 4;14(1):616. doi: 10.1038/s41467-023-36168-x.
7
Cell Fusion-Related Proteins and Signaling Pathways, and Their Roles in the Development and Progression of Cancer.细胞融合相关蛋白与信号通路及其在癌症发生发展中的作用
Front Cell Dev Biol. 2022 Feb 1;9:809668. doi: 10.3389/fcell.2021.809668. eCollection 2021.
8
Cellular and molecular actors of myeloid cell fusion: podosomes and tunneling nanotubes call the tune.髓样细胞融合的细胞和分子因素:足突和隧道纳米管定调。
Cell Mol Life Sci. 2021 Sep;78(17-18):6087-6104. doi: 10.1007/s00018-021-03875-x. Epub 2021 Jul 23.
9
Exaptation of Retroviral Syncytin for Development of Syncytialized Placenta, Its Limited Homology to the SARS-CoV-2 Spike Protein and Arguments against Disturbing Narrative in the Context of COVID-19 Vaccination.逆转录病毒合胞素在合体化胎盘发育中的适应性改变、其与新冠病毒刺突蛋白的有限同源性以及针对新冠疫苗接种背景下干扰性说法的论证
Biology (Basel). 2021 Mar 19;10(3):238. doi: 10.3390/biology10030238.
10
Osteoclast Fusion: Physiological Regulation of Multinucleation through Heterogeneity-Potential Implications for Drug Sensitivity.破骨细胞融合:通过异质性对多核形成的生理调节-对药物敏感性的潜在影响。
Int J Mol Sci. 2020 Oct 19;21(20):7717. doi: 10.3390/ijms21207717.
一种基于细胞融合的筛选方法鉴定出糖基磷脂酰肌醇锚定蛋白Ly6e作为小鼠内源性逆转录病毒包膜蛋白Syncytin-A的受体。
J Virol. 2017 Aug 24;91(18). doi: 10.1128/JVI.00832-17. Print 2017 Sep 15.
4
Myomerger induces fusion of non-fusogenic cells and is required for skeletal muscle development.肌联融合诱导非融合细胞融合,是骨骼肌发育所必需的。
Nat Commun. 2017 Jun 1;8:15665. doi: 10.1038/ncomms15665.
5
DNA Damage Signaling Instructs Polyploid Macrophage Fate in Granulomas.DNA 损伤信号指导肉芽肿中多倍体巨噬细胞的命运。
Cell. 2016 Nov 17;167(5):1264-1280.e18. doi: 10.1016/j.cell.2016.09.054. Epub 2016 Oct 27.
6
Osteoclast Fusion: Time-Lapse Reveals Involvement of CD47 and Syncytin-1 at Different Stages of Nuclearity.破骨细胞融合:延时摄影揭示CD47和Syncytin-1在多核化不同阶段的作用。
J Cell Physiol. 2017 Jun;232(6):1396-1403. doi: 10.1002/jcp.25633. Epub 2016 Oct 19.
7
Genetic Evidence That Captured Retroviral Envelope syncytins Contribute to Myoblast Fusion and Muscle Sexual Dimorphism in Mice.捕获的逆转录病毒包膜蛋白合胞素有助于小鼠成肌细胞融合和肌肉性二态性的遗传学证据。
PLoS Genet. 2016 Sep 2;12(9):e1006289. doi: 10.1371/journal.pgen.1006289. eCollection 2016 Sep.
8
The elementary fusion modalities of osteoclasts.破骨细胞的基本融合方式。
Bone. 2015 Apr;73:181-9. doi: 10.1016/j.bone.2014.12.010. Epub 2014 Dec 16.
9
The captured retroviral envelope syncytin-A and syncytin-B genes are conserved in the Spalacidae together with hemotrichorial placentation.捕获的逆转录病毒包膜蛋白合胞素-A和合胞素-B基因在竹鼠科中与血绒毛膜胎盘一起保守存在。
Biol Reprod. 2014 Dec;91(6):148. doi: 10.1095/biolreprod.114.124818. Epub 2014 Oct 22.
10
Microtubule dynamic instability controls podosome patterning in osteoclasts through EB1, cortactin, and Src.微管动态不稳定性通过 EB1、桩蛋白和Src 控制破骨细胞中的破骨细胞足形成。
Mol Cell Biol. 2014 Jan;34(1):16-29. doi: 10.1128/MCB.00578-13. Epub 2013 Oct 21.