Suppr超能文献

及时使用免疫球蛋白成功治疗急性播散性脑脊髓炎(ADEM)——病例报告及文献综述

SUCCESSFUL TREATMENT OF ACUTE DISSEMINATED ENCEPHALOMYELITIS (ADEM) BY PROMPT USAGE OF IMMUNOGLOBULINS - CASE REPORT AND REVIEW OF THE LITERATURE.

作者信息

Repić-Buličić Ana, Filipović-Grčić Petar, Jadrijević Eni, Jurinović Pavao, Titlić Marina

机构信息

Department of Neurology, Split University Hospital Centre, Split, Croatia.

出版信息

Acta Clin Croat. 2019 Mar;58(1):173-179. doi: 10.20471/acc.2019.58.01.22.

Abstract

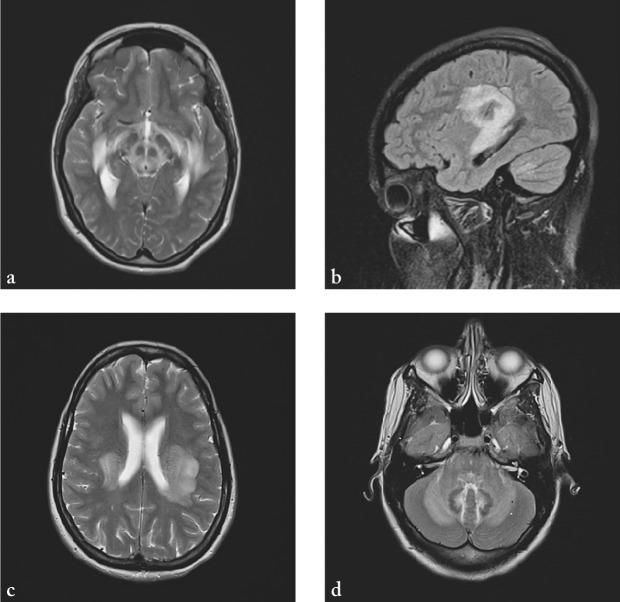
Acute disseminated encephalomyelitis (ADEM) is an inflammatory demyelinating disease of the central nervous system that usually affects children and young adults. It most commonly has a monophasic course, although relapses are reported. Clinical presentation of the disease includes encephalopathy and multifocal neurological deficits. There are no established reliable criteria for diagnosis of ADEM and sometimes it is difficult to distinguish it from first attack of multiple sclerosis, especially in adults. The diagnosis of ADEM is based on clinical, radiological and laboratory findings. In the treatment of ADEM, high doses of corticosteroids, plasmapheresis and immunoglobulins are used. We report a case of a young adult female patient with ADEM who fully recovered after prompt administration of high dose methylprednisolone and immunoglobulins.

摘要

急性播散性脑脊髓炎(ADEM)是一种中枢神经系统的炎性脱髓鞘疾病,通常影响儿童和年轻人。虽然有复发的报道,但它最常见的是单相病程。该疾病的临床表现包括脑病和多灶性神经功能缺损。目前尚无公认的可靠诊断急性播散性脑脊髓炎的标准,有时很难将其与多发性硬化症的首次发作区分开来,尤其是在成年人中。急性播散性脑脊髓炎的诊断基于临床、影像学和实验室检查结果。在急性播散性脑脊髓炎的治疗中,使用高剂量的皮质类固醇、血浆置换和免疫球蛋白。我们报告一例患有急性播散性脑脊髓炎的年轻成年女性患者,在迅速给予高剂量甲泼尼龙和免疫球蛋白后完全康复。

https://cdn.ncbi.nlm.nih.gov/pmc/blobs/29de/6629195/662cb80101e1/acc-58-173-f1.jpg

文献AI研究员

20分钟写一篇综述,助力文献阅读效率提升50倍。

立即体验

用中文搜PubMed

大模型驱动的PubMed中文搜索引擎

马上搜索

文档翻译

学术文献翻译模型,支持多种主流文档格式。

立即体验