Suppr超能文献

HSDL2的异位表达与乳腺癌的细胞增殖及预后相关。

Ectopic expression of HSDL2 is related to cell proliferation and prognosis in breast cancer.

作者信息

Dong Bing, Yang Yang, Han Anna, Zhang Songnan, Lin Zhenhua, Wang Yixuan, Piao Junjie

机构信息

Department of Pathology & Cancer Research Center, Yanbian University Medical College, Yanji 133002, People's Republic of China.

Key Laboratory of the Science and Technology Department of Jilin Province , Yanji 133002, People's Republic of China.

出版信息

Cancer Manag Res. 2019 Jul 12;11:6531-6542. doi: 10.2147/CMAR.S205316. eCollection 2019.

Abstract

PURPOSE

Human hydroxysteroid dehydrogenase-like 2 (HSDL2) is a characterized SDR gene that not only catalyses the oxidation and reduction of multiple substrates but also regulates different metabolic and signalling pathways. Accumulating evidences suggest that HSDL2 play an important role in cancer progression. However, the role of HSDL2 in breast cancer has not yet been determined. Thus, this study aims to explore the relevance of HSDL2 in breast cancer progression.

PATIENTS AND METHODS

The location of HSDL2 protein was detected in MDA-MB-231 breast cancer cells by using immunofluorescence (IF) staining. The expression level of HSDL2 was evaluated by immunohistochemical (IHC) staining in 119 breast cancer tissues and 40 normal breast tissues. Then, the correlations between the overexpression of HSDL2 and clinicopathological features of breast cancer patients were evaluated by using the chi-square test, and the survival rates were calculated by the Kaplan-Meier method. In addition, the role of HSDL2 in breast cancer proliferation was assessed by MTT and colony formation assays, and cell cycle distribution was detected by flow cytometry analysis and Western blot.

RESULTS

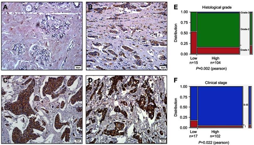
IF staining and IHC analysis consistently showed that HSDL2 was predominantly expressed in the cytoplasm of breast cancer cells. The positive rate of HSDL2 protein was significantly higher in breast cancer tissues (87.4%, 104/119) than in adjacent normal breast tissues (25%, 10/40) (<0.01). A high expression of HSDL2 protein was significantly associated with high histological grades, late clinical stages and low survival rates. Moreover, multivariate analysis indicated that HSDL2 protein was an independent prognostic factor in breast cancer patients. Studies in vitro showed that HSDL2 depletion reduced cell proliferation and induced cell cycle arrest in breast cancer.

CONCLUSION

In conclusion, this study indicated that HSDL2 plays a role in promoting the development of breast cancer. HSDL2 could be a valuable prognostic biomarker and a potential therapeutic target for patients with breast cancer.

摘要

目的

人羟类固醇脱氢酶样2(HSDL2)是一种已被鉴定的短链脱氢酶/还原酶(SDR)基因,它不仅催化多种底物的氧化和还原,还调节不同的代谢和信号通路。越来越多的证据表明,HSDL2在癌症进展中起重要作用。然而,HSDL2在乳腺癌中的作用尚未确定。因此,本研究旨在探讨HSDL2与乳腺癌进展的相关性。

患者和方法

通过免疫荧光(IF)染色检测MDA-MB-231乳腺癌细胞中HSDL2蛋白的定位。采用免疫组织化学(IHC)染色评估119例乳腺癌组织和40例正常乳腺组织中HSDL2的表达水平。然后,采用卡方检验评估HSDL2过表达与乳腺癌患者临床病理特征之间的相关性,并采用Kaplan-Meier法计算生存率。此外,通过MTT和集落形成试验评估HSDL2在乳腺癌增殖中的作用,并通过流式细胞术分析和蛋白质免疫印迹法检测细胞周期分布。

结果

IF染色和IHC分析一致显示,HSDL2主要在乳腺癌细胞的细胞质中表达。HSDL2蛋白在乳腺癌组织中的阳性率(87.4%,104/119)显著高于相邻正常乳腺组织(阳性率为25%,10/40)(P<0.01)。HSDL2蛋白的高表达与高组织学分级、临床晚期和低生存率显著相关。此外,多因素分析表明,HSDL2蛋白是乳腺癌患者的独立预后因素。体外研究表明,HSDL2缺失可降低乳腺癌细胞增殖并诱导细胞周期停滞。

结论

总之,本研究表明HSDL2在促进乳腺癌发展中起作用。HSDL2可能是一种有价值的预后生物标志物,也是乳腺癌患者潜在的治疗靶点。

https://cdn.ncbi.nlm.nih.gov/pmc/blobs/8642/6634268/736bc89bbdd5/CMAR-11-6531-g0001.jpg

文献AI研究员

20分钟写一篇综述,助力文献阅读效率提升50倍。

立即体验

用中文搜PubMed

大模型驱动的PubMed中文搜索引擎

马上搜索

文档翻译

学术文献翻译模型,支持多种主流文档格式。

立即体验