Institute for Heart Research, Centre of Experimental Medicine, Slovak Academy of Sciences, 841 04 Bratislava, Slovak Republic.
Department of Physiology, Faculty of Science, Charles University, 128 00 Prague, Czech Republic.
Int J Mol Sci. 2019 Aug 1;20(15):3758. doi: 10.3390/ijms20153758.
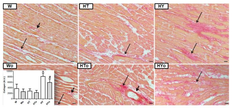
Heart function and its susceptibility to arrhythmias are modulated by thyroid hormones (THs) but the responsiveness of hypertensive individuals to thyroid dysfunction is elusive. We aimed to explore the effect of altered thyroid status on crucial factors affecting synchronized heart function, i.e., connexin-43 (Cx43) and extracellular matrix proteins (ECM), in spontaneously hypertensive rats (SHRs) compared to normotensive Wistar Kyoto rats (WKRs). Basal levels of circulating THs were similar in both strains. Hyperthyroid state (HT) was induced by injection of T3 (0.15 mg/kg b.w. for eight weeks) and hypothyroid state (HY) by the administration of methimazol (0.05% for eight weeks). The possible benefit of omega-3 polyunsaturated fatty acids (Omacor, 200 mg/kg for eight weeks) intake was examined as well. Reduced levels of Cx43 in SHRs were unaffected by alterations in THs, unlike WKRs, in which levels of Cx43 and its phosphorylated form at serine368 were decreased in the HT state and increased in the HY state. This specific Cx43 phosphorylation, attributed to enhanced protein kinase C-epsilon signaling, was also increased in HY SHRs. Altered thyroid status did not show significant differences in markers of ECM or collagen deposition in SHRs. WKRs exhibited a decrease in levels of profibrotic transforming growth factor β1 and SMAD2/3 in HT and an increase in HY, along with enhanced interstitial collagen. Short-term intake of omega-3 polyunsaturated fatty acids did not affect any targeted proteins significantly. Key findings suggest that myocardial Cx43 and ECM responses to altered thyroid status are blunted in SHRs compared to WKRs. However, enhanced phosphorylation of Cx43 at serine368 in hypothyroid SHRs might be associated with preservation of intercellular coupling and alleviation of the propensity of the heart to malignant arrhythmias.
心脏功能及其对心律失常的敏感性受甲状腺激素 (THs) 调节,但高血压患者对甲状腺功能障碍的反应仍不清楚。我们旨在探索改变甲状腺状态对同步心脏功能的关键因素的影响,即缝隙连接蛋白 43 (Cx43) 和细胞外基质蛋白 (ECM),在自发性高血压大鼠 (SHRs) 与正常血压的 Wistar Kyoto 大鼠 (WKRs) 相比。两种品系的循环 THs 基础水平相似。通过注射 T3(0.15mg/kg b.w. 持续八周)诱导甲状腺功能亢进状态 (HT),通过给予甲巯咪唑(0.05%持续八周)诱导甲状腺功能减退状态 (HY)。还检查了ω-3 多不饱和脂肪酸(Omacor,持续八周 200mg/kg)摄入的可能益处。与 WKRs 不同,SHRs 中的 Cx43 水平不受 TH 变化的影响,而在 WKRs 中,HT 状态下 Cx43 及其丝氨酸 368 磷酸化形式的水平降低,HY 状态下水平增加。这种特定的 Cx43 磷酸化归因于蛋白激酶 C-epsilon 信号的增强,在 HY SHRs 中也增加。改变甲状腺状态在 SHRs 中对 ECM 或胶原蛋白沉积标志物没有显示出显著差异。WKRs 在 HT 中表现出促纤维化转化生长因子β1 和 SMAD2/3 水平降低,HY 中增加,同时伴有间质胶原蛋白增加。短期摄入 ω-3 多不饱和脂肪酸对任何靶向蛋白均无明显影响。主要发现表明,与 WKRs 相比,改变甲状腺状态对心肌 Cx43 和 ECM 的反应在 SHRs 中受到抑制。然而,HY SHRs 中 Cx43 丝氨酸 368 的磷酸化增强可能与细胞间偶联的保持和恶性心律失常倾向的减轻有关。