• 文献检索
  • 文档翻译
  • 深度研究
  • 学术资讯
  • Suppr Zotero 插件Zotero 插件
  • 邀请有礼
  • 套餐&价格
  • 历史记录
应用&插件
Suppr Zotero 插件Zotero 插件浏览器插件Mac 客户端Windows 客户端微信小程序
定价
高级版会员购买积分包购买API积分包
服务
文献检索文档翻译深度研究API 文档MCP 服务
关于我们
关于 Suppr公司介绍联系我们用户协议隐私条款
关注我们

Suppr 超能文献

核心技术专利:CN118964589B侵权必究
粤ICP备2023148730 号-1Suppr @ 2026

文献检索

告别复杂PubMed语法,用中文像聊天一样搜索,搜遍4000万医学文献。AI智能推荐,让科研检索更轻松。

立即免费搜索

文件翻译

保留排版,准确专业,支持PDF/Word/PPT等文件格式,支持 12+语言互译。

免费翻译文档

深度研究

AI帮你快速写综述,25分钟生成高质量综述,智能提取关键信息,辅助科研写作。

立即免费体验

下腔静脉塌陷指数在预测全身麻醉相关低血压中的作用:一项观察性研究。

Role of inferior vena cava collapsibility index in the prediction of hypotension associated with general anesthesia: an observational study.

机构信息

1st Department of Surgery, Semmelweis University, Üllői út 78, Budapest, 1082, Hungary.

Department of Anesthesiology and Intensive Therapy, Semmelweis University, Üllői út 78B, Budapest, 1082, Hungary.

出版信息

BMC Anesthesiol. 2019 Aug 7;19(1):139. doi: 10.1186/s12871-019-0809-4.

DOI:10.1186/s12871-019-0809-4
PMID:31390983
原文链接:https://pmc.ncbi.nlm.nih.gov/articles/PMC6686491/
Abstract

BACKGROUND

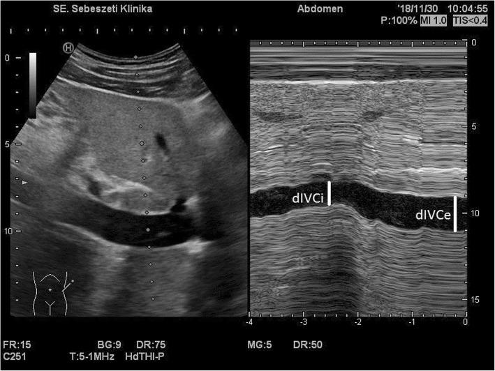
Intraoperative hypotension increases 30-day mortality and the risks of myocardial injury and acute renal failure. Patients with inadequate volume reserve before the induction of anesthesia are highly exposed. The identification of latent hypovolemia is therefore crucial. Ultrasonographic measurement of the inferior vena cava collapsibility index (IVCCI) is able to detect volume responsiveness in circulatory shock. No current evidence is available regarding whether preoperative measurement of the IVCCI could identify patients at high risk for hypotension associated with general anesthesia.

METHODS

A total of 102 patients undergoing elective general surgery under general anesthesia with standardized propofol induction were recruited for this prospective observational study. The IVCCI was measured under spontaneous breathing. A collapsing (IVCCI≧50%) (CI+) and a noncollapsing (CI-) group were formed. Immediate postinduction changes in systolic and mean blood pressure were compared. The performance of the IVCCI as a diagnostic tool for predicting hypotension (systolic pressure < 90 mmHg or a ≥ 30% drop from the baseline) was evaluated by ROC curve analysis.

RESULTS

A total of 83 patients were available for analysis, with 20 in the CI+ and 63 in the CI- group, we excluded 19 previously eligible patients due to inadequate visualization of the IVC (7 cases), lack of adherence to the protocol (8 cases), missing data (2 cases) or change in anesthesiologic management (2 cases). The mean decrease in systolic pressure in the CI+ group was 53.8 ± 15.3 compared to 35.8 ± 18.1 mmHg in CI- patients (P = 0.0001). The relative mean arterial pressure change medians were 34.1% (IQR 23.2-43.0%) and 24.2% (IQR 17.2-30.2%), respectively (P = 0.0029). The ROC curve analysis for IVCCI showed an AUC of 64.8% (95% CI 52.1-77.5%). The selected 50% level of the IVCCI had a sensitivity of only 45.5% (95% CI 28.1-63.7%), but the specificity was high at 90.0% (78.2-96.7%). The positive predictive value was 75.0% (95% CI 50.9-91.3%), and the negative predictive value was 71.4% (95% CI 58.7-82.1%).

CONCLUSION

In spontaneously breathing preoperative noncardiac surgical patients, preoperatively detected IVCCI≧50% can predict postinduction hypotension with high specificity but low sensitivity. Despite moderate performance, IVCCI is an easy, noninvasive and attractive option to identify patients at risk and should be explored further.

摘要

背景

术中低血压会增加 30 天死亡率以及心肌损伤和急性肾衰竭的风险。在麻醉诱导前储备容量不足的患者风险极高。因此,识别潜在的血容量不足至关重要。下腔静脉塌陷指数(IVCCI)的超声测量能够检测循环休克中的容量反应性。目前尚无证据表明术前测量 IVCCI 是否可以识别与全身麻醉相关的低血压高危患者。

方法

本前瞻性观察研究共纳入 102 例在全身麻醉下接受择期普外科手术的患者,采用标准化异丙酚诱导。在自主呼吸下测量 IVCCI。形成下腔静脉塌陷(IVCCI≧50%)(CI+)和不下腔静脉塌陷(CI-)组。比较诱导后即刻收缩压和平均血压的变化。通过 ROC 曲线分析评估 IVCCI 作为预测低血压(收缩压<90mmHg 或基线下降≥30%)的诊断工具的性能。

结果

共有 83 例患者可进行分析,其中 CI+组 20 例,CI-组 63 例,我们排除了 19 例之前符合条件的患者,原因是 IVC 显示不佳(7 例)、不符合方案(8 例)、数据缺失(2 例)或麻醉管理改变(2 例)。CI+组收缩压平均下降 53.8±15.3mmHg,而 CI-组为 35.8±18.1mmHg(P=0.0001)。平均动脉压变化中位数分别为 34.1%(IQR 23.2-43.0%)和 24.2%(IQR 17.2-30.2%)(P=0.0029)。IVCCI 的 ROC 曲线分析显示 AUC 为 64.8%(95%CI 52.1-77.5%)。IVCCI 选择的 50%水平的敏感性仅为 45.5%(95%CI 28.1-63.7%),但特异性很高,为 90.0%(78.2-96.7%)。阳性预测值为 75.0%(95%CI 50.9-91.3%),阴性预测值为 71.4%(95%CI 58.7-82.1%)。

结论

在自主呼吸的术前非心脏手术患者中,术前检测到的 IVCCI≧50%可以预测诱导后低血压,具有较高的特异性但较低的敏感性。尽管表现中等,但 IVCCI 是一种简单、无创且有吸引力的选择,可以识别高危患者,应进一步探讨。

https://cdn.ncbi.nlm.nih.gov/pmc/blobs/cd48/6686491/38065090b610/12871_2019_809_Fig3_HTML.jpg
https://cdn.ncbi.nlm.nih.gov/pmc/blobs/cd48/6686491/bb8e9d647529/12871_2019_809_Fig1_HTML.jpg
https://cdn.ncbi.nlm.nih.gov/pmc/blobs/cd48/6686491/db5c954cc068/12871_2019_809_Fig2_HTML.jpg
https://cdn.ncbi.nlm.nih.gov/pmc/blobs/cd48/6686491/38065090b610/12871_2019_809_Fig3_HTML.jpg
https://cdn.ncbi.nlm.nih.gov/pmc/blobs/cd48/6686491/bb8e9d647529/12871_2019_809_Fig1_HTML.jpg
https://cdn.ncbi.nlm.nih.gov/pmc/blobs/cd48/6686491/db5c954cc068/12871_2019_809_Fig2_HTML.jpg
https://cdn.ncbi.nlm.nih.gov/pmc/blobs/cd48/6686491/38065090b610/12871_2019_809_Fig3_HTML.jpg

相似文献

1
Role of inferior vena cava collapsibility index in the prediction of hypotension associated with general anesthesia: an observational study.下腔静脉塌陷指数在预测全身麻醉相关低血压中的作用:一项观察性研究。
BMC Anesthesiol. 2019 Aug 7;19(1):139. doi: 10.1186/s12871-019-0809-4.
2
Pre-operative ultrasonographic evaluation of inferior vena cava collapsibility index and caval aorta index as new predictors for hypotension after induction of spinal anaesthesia: A prospective observational study.术前超声评估下腔静脉塌陷指数和腔静脉主动脉指数作为脊髓麻醉后低血压的新预测指标:一项前瞻性观察研究。
Eur J Anaesthesiol. 2019 Apr;36(4):297-302. doi: 10.1097/EJA.0000000000000956.
3
Inferior vena cava collapsibility index as a predictor of hypotension after induction of general anesthesia in hypertensive patients.下腔静脉塌陷指数作为预测高血压患者全麻诱导后低血压的指标。
BMC Anesthesiol. 2023 Dec 19;23(1):420. doi: 10.1186/s12871-023-02355-y.
4
The Utility of Echocardiography for the Prediction of Spinal-Induced Hypotension in Elderly Patients: Inferior Vena Cava Assessment Is a Key Player.超声心动图在预测老年患者脊柱诱导性低血压中的应用:下腔静脉评估是关键因素。
J Cardiothorac Vasc Anesth. 2019 Sep;33(9):2421-2427. doi: 10.1053/j.jvca.2019.02.032. Epub 2019 Feb 22.
5
Inferior vena cava ultrasound to predict hypotension after general anesthesia induction: a systematic review and meta-analysis of observational studies.下腔静脉超声预测全麻诱导后低血压:一项观察性研究的系统评价和荟萃分析。
Can J Anaesth. 2024 Aug;71(8):1078-1091. doi: 10.1007/s12630-024-02776-4. Epub 2024 Jul 3.
6
Role of Inferior Vena Cava Collapsibility Index in the Prediction of Hypotension Associated With Central Neuraxial Block: A Prospective Observational Study.下腔静脉塌陷指数在预测与中枢神经轴阻滞相关的低血压中的作用:一项前瞻性观察研究。
J Ultrasound Med. 2023 Sep;42(9):1977-1985. doi: 10.1002/jum.16214. Epub 2023 Mar 15.
7
Point of care transthoracic echocardiography for the prediction of post - spinal anesthesia hypotension in elderly patients with cardiac diseases and left ventricular dysfunction : Inferior vena cava and post-spinal anesthesia hypotension in elderly patients.床旁经胸超声心动图预测老年心脏病伴左心室功能障碍患者椎管内麻醉后低血压:下腔静脉与老年患者椎管内麻醉后低血压。
J Clin Monit Comput. 2023 Oct;37(5):1207-1218. doi: 10.1007/s10877-023-00981-y. Epub 2023 Feb 21.
8
Preoperative assessment of inferior vena cava collapsibility index by ultrasound is not a reliable predictor of post-spinal anesthesia hypotension.超声评估下腔静脉塌陷指数不能可靠预测椎管麻醉后低血压。
Braz J Anesthesiol. 2023 Jul-Aug;73(4):385-392. doi: 10.1016/j.bjane.2022.04.001. Epub 2022 Apr 14.
9
Assessment of role of inferior vena cava collapsibility index and variations in carotid artery peak systolic velocity in prediction of post-spinal anaesthesia hypotension in spontaneously breathing patients: An observational study.评估下腔静脉塌陷指数及颈动脉收缩期峰值流速变化在预测自主呼吸患者脊麻后低血压中的作用:一项观察性研究。
Indian J Anaesth. 2022 Feb;66(2):100-106. doi: 10.4103/ija.ija_828_21. Epub 2022 Feb 24.
10
Inferior Vena Cava Ultrasonography before General Anesthesia Can Predict Hypotension after Induction.全身麻醉前下腔静脉超声检查可预测诱导后低血压。
Anesthesiology. 2016 Mar;124(3):580-9. doi: 10.1097/ALN.0000000000001002.

引用本文的文献

1
Role of the inferior vena cava collapsibility index in predicting propofol-induced hypotension in patients undergoing colonoscopy.下腔静脉可塌陷指数在预测结肠镜检查患者丙泊酚诱导低血压中的作用
BMC Anesthesiol. 2025 Feb 14;25(1):73. doi: 10.1186/s12871-025-02945-y.
2
Efficacy of the inferior vena cava collapsibility index in predicting anaesthesia-induced hypotension in elderly patients undergoing hip arthroplasty.下腔静脉塌陷指数预测老年髋关节置换术患者麻醉诱导性低血压的效果。
Sci Rep. 2024 Nov 7;14(1):27156. doi: 10.1038/s41598-024-78718-3.
3
Correlations between preoperative fluid status assessed by bioimpedance analysis and hypotension during anaesthesia induction.

本文引用的文献

1
Measurements of Inferior Vena Cava Diameter for Prediction of Hypotension and Bradycardia during Spinal Anesthesia in Spontaneously Breathing Patients during Elective Knee Joint Replacement Surgery.测量下腔静脉直径预测择期膝关节置换手术中自主呼吸患者椎管麻醉期间低血压和心动过缓。
Medicina (Kaunas). 2018 Jul 12;54(3):49. doi: 10.3390/medicina54030049.
2
Value of variation index of inferior vena cava diameter in predicting fluid responsiveness in patients with circulatory shock receiving mechanical ventilation: a systematic review and meta-analysis.下腔静脉直径变异指数在机械通气循环休克患者液体反应性预测中的价值:系统评价和荟萃分析。
Crit Care. 2018 Aug 21;22(1):204. doi: 10.1186/s13054-018-2063-4.
3
生物电阻抗分析评估的术前液体状态与麻醉诱导期间低血压的相关性。
Anaesthesiol Intensive Ther. 2024;56(3):177-184. doi: 10.5114/ait.2024.142671.
4
Inferior vena cava ultrasound to predict hypotension after general anesthesia induction: a systematic review and meta-analysis of observational studies.下腔静脉超声预测全麻诱导后低血压:一项观察性研究的系统评价和荟萃分析。
Can J Anaesth. 2024 Aug;71(8):1078-1091. doi: 10.1007/s12630-024-02776-4. Epub 2024 Jul 3.
5
Preoperative Ultrasound for the Prediction of Postinduction Hypotension: A Systematic Review and Meta-Analysis.术前超声预测诱导后低血压:一项系统评价和荟萃分析。
J Pers Med. 2024 Apr 25;14(5):452. doi: 10.3390/jpm14050452.
6
Diagnostic accuracy of left ventricular outflow tract velocity time integral versus inferior vena cava collapsibility index in predicting post-induction hypotension during general anesthesia: an observational study.左心室流出道速度时间积分与下腔静脉塌陷指数对预测全身麻醉诱导后低血压的诊断准确性:一项观察性研究
Acute Crit Care. 2024 Feb;39(1):117-126. doi: 10.4266/acc.2023.00913. Epub 2024 Feb 23.
7
Inferior vena cava collapsibility index as a predictor of hypotension after induction of general anesthesia in hypertensive patients.下腔静脉塌陷指数作为预测高血压患者全麻诱导后低血压的指标。
BMC Anesthesiol. 2023 Dec 19;23(1):420. doi: 10.1186/s12871-023-02355-y.
8
A preoperative ultrasound-based protocol for optimisation of fluid therapy to prevent early intraoperative hypotension: a randomised controlled study.一项基于术前超声的优化液体治疗以预防术中早期低血压的方案:一项随机对照研究。
Perioper Med (Lond). 2023 Jun 27;12(1):30. doi: 10.1186/s13741-023-00320-4.
9
The use of preoperative inferior vena cava ultrasound to predict anaesthesia-induced hypotension: a systematic review.术前下腔静脉超声预测麻醉诱导性低血压的应用:系统评价。
Anaesthesiol Intensive Ther. 2023;55(1):18-31. doi: 10.5114/ait.2023.125310.
10
Arterial Elastance: A Predictor of Hypotension Due to Anesthesia Induction.动脉弹性:麻醉诱导所致低血压的预测指标。
J Clin Med. 2023 Apr 27;12(9):3155. doi: 10.3390/jcm12093155.
Respiratory changes of the inferior vena cava diameter predict fluid responsiveness in spontaneously breathing patients with cardiac arrhythmias.
下腔静脉直径的呼吸变化可预测心律失常的自主呼吸患者的液体反应性。
Ann Intensive Care. 2018 Aug 2;8(1):79. doi: 10.1186/s13613-018-0427-1.
4
Hypotension after induction of general anesthesia: occurrence, risk factors, and therapy. A prospective multicentre observational study.全麻诱导后低血压的发生:前瞻性多中心观察研究。
J Anesth. 2018 Oct;32(5):673-680. doi: 10.1007/s00540-018-2532-6. Epub 2018 Jul 19.
5
Association between intraoperative hypotension and 30-day mortality, major adverse cardiac events, and acute kidney injury after non-cardiac surgery: A meta-analysis of cohort studies.术中低血压与非心脏手术后 30 天死亡率、主要不良心脏事件和急性肾损伤的关系:队列研究的荟萃分析。
Int J Cardiol. 2018 May 1;258:68-73. doi: 10.1016/j.ijcard.2018.01.137. Epub 2018 Feb 2.
6
Prevention of arterial hypotension after spinal anaesthesia using vena cava ultrasound to guide fluid management.采用腔静脉超声引导液体管理预防脊髓麻醉后动脉低血压。
Br J Anaesth. 2018 Jan;120(1):101-108. doi: 10.1016/j.bja.2017.08.001. Epub 2017 Nov 23.
7
Perioperative ultrasound applied to diagnosis and decision making in anesthesia.麻醉中应用的围术期超声诊断和决策。
Minerva Anestesiol. 2018 Jan;84(1):94-107. doi: 10.23736/S0375-9393.17.12178-4. Epub 2017 Oct 4.
8
Diagnostic Accuracy of the Inferior Vena Cava Collapsibility to Predict Fluid Responsiveness in Spontaneously Breathing Patients With Sepsis and Acute Circulatory Failure.下腔静脉可塌陷性预测脓毒症和急性循环衰竭自主呼吸患者液体反应性的诊断准确性
Crit Care Med. 2017 Mar;45(3):e290-e297. doi: 10.1097/CCM.0000000000002090.
9
Comparison of Echocardiographic Indices Used to Predict Fluid Responsiveness in Ventilated Patients.比较超声心动图指标用于预测机械通气患者的液体反应性。
Am J Respir Crit Care Med. 2017 Apr 15;195(8):1022-1032. doi: 10.1164/rccm.201604-0844OC.
10
Inferior Vena Cava Ultrasonography before General Anesthesia Can Predict Hypotension after Induction.全身麻醉前下腔静脉超声检查可预测诱导后低血压。
Anesthesiology. 2016 Mar;124(3):580-9. doi: 10.1097/ALN.0000000000001002.